Search Dental Tribune

Występowanie dwudzielnego kanału żuchwy – przegląd piśmiennictwa

Typ zębowy
Joanna Łuniewska, Magdalena Świątkowska, Kazimierz Szopiński i Andrzej Wojtowicz

Joanna Łuniewska, Magdalena Świątkowska, Kazimierz Szopiński i Andrzej Wojtowicz

śro. 24 lutego 2016

zapisz

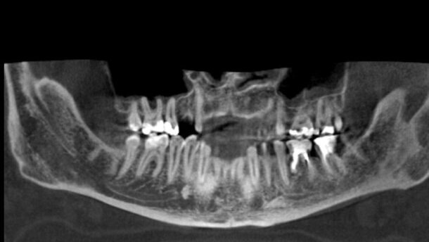
Dwudzielny kanał żuchwy jest anatomiczną odmianą budowy kanału żuchwy oznaczającą, że kanał żuchwy jest podzielony na dwie gałęzie. W zależności od techniki badania występuje on u 0,08%-65% ludzi, najlepiej widoczny jest w badaniu CBCT. Obecność dwudzielnych kanałów może powodować nieprzewidziane powikłania podczas ekstrakcji zębów lub osteotomii żuchwy, być przyczyną niepowodzenia w znieczulaniu dolnych zębów trzonowych i przedtrzonowych, warunkować leczenie i planowanie implantologiczne, powodować dolegliwości bólowe podczas użytkowania protez ruchomych.

Dwudzielny kanał żuchwy jest anatomiczną odmianą budowy kanału żuchwy.1 Podstawową hipotezę wyjaśniającą jego pochodzenie podali Chavez-Lomeli i wsp.2 Wg niej, podczas życia płodowego obustronnie powstają 3 odrębne nerwy zębodołowe dolne. Kanały tych nerwów znajdują się na językowej powierzchni gałęzi żuchwy. W 7. tygodniu życia płodowego w okolicy otworu bródkowego dochodzi do szybkiego wzrostu kości i osyfikacji, skutkujących przebudową kośćca żuchwy, w wyniku której dochodzi do połączenia 3 oddzielnych kanałów i powstania jednego kanału żuchwy (Ryc. 1). Dwudzielne lub trójdzielne odmiany kanału żuchwy są objawem niekompletnego połączenia występujących pierwotnie kanałów w przytoczonym procesie.

Materiały i metody
Dokonano przeglądu piśmiennictwa klinicznego i naukowego, dotyczącego występowania dwudzielnego kanału żuchwy. Przeprowadzono poszukiwanie w bazie MEDLINE (PubMed), obejmując nim okres od 1 stycznia 1977 r. do 31 sierpnia 2014 r. Głównymi frazami wykorzystywanymi w celu poszerzenia poszukiwań były: „bifid mandibular canal” (dwudzielny kanał żuchwy), „mandibular canal on CBCT” (kanał żuchwy w badaniu CBCT) oraz „retromolar canal” (kanał zatrzonowcowy). W ten sposób wyłoniono 280 artykułów, które poddano szczegółowej analizie. 224 prace wykluczono ze względu na brak powiazania z tematem. Dodatkowo przeszukano polskie piśmiennictwo. Niniejszy systematyczny przegląd oparto na 48 pracach istotnych z klinicznego punktu widzenia, które poddano analizie.

Analiza

Występowanie dwudzielnego kanału żuchwy
Występowanie dwudzielnych kanałów żuchwy wielokrotnie badano z wykorzystaniem różnych technik. Otrzymane wyniki istotnie różnią się w zależności od tego, czy występowanie kanału oceniano na zdjęciach pantomograficznych (OPT – orthopantomography), tomografii komputerowej (CT – Computed Tompography) czy tomografii komputerowej wiązką stożkową (CBCT – Cone Beam Computed Tompography), (Tab.1).

Na podstawie zdjęć pantomograficznych obecność kanału stwierdzano u 0,08%-8,3% pacjentów.1,3-7 W tomografii komputerowej wykryto dwudzielny kanał u 30,6%-41% pacjentów.8-10 Dwudzielny kanał żuchwy najczęściej obserwowano w badaniu CBCT – u 10,2%-65% badanych.11-17 Z powodu istotnej różnicy w skuteczności wymienionych metod zaleca się analizowanie występowania dodatkowego kanału żuchwy w oparciu o badania CBCT.12,17-19

Muinelo-Lorenzo i wsp. (9) stwierdzili, że zaledwie 37,8% dwudzielnych kanałów żuchwy wykrytych w badaniu CBCT jest widocznych na zdjęciach pantomograficznych. Natomiast Naithon i wsp.17 porównywali skuteczność i użyteczność wielorzędowej tomografii komputerowej (MSCT) względem tomografii wiązką stożkową (CBCT). Wyniki ich badań wskazują, że ponad 20% dodatkowych kanałów żuchwy zaobserwowanych w badaniu CBCT nie jest widocznych na badaniu MSCT. Zatem diagnostyka CBCT wydaję się najlepszą pośród dostępnych.

Klasyfikacja i budowa
Istnieje wiele klasyfikacji dodatkowych kanałów żuchwy (Tab. 2). Pierwszą z nich, która była później wielokrotnie stosowana stworzył Langlais (1). Została ona opracowana na podstawie analiz zdjęć pantomograficznych. Nortje (20) również opracował klasyfikację dwudzielnych kanałów żuchwy na podstawie ich najczęstszej lokalizacji. Oddzielną klasyfikację opartą na badaniach CBCT stworzyli Naithon i wsp.13 Określili oni budowę dodatkowych gałęzi kanału żuchwy, opierając się na cechach, które nie są widoczne w badaniu pantomograficznym, a można je ocenić analizując badanie CBCT.

Najczęściej występującymi typami kanałów są: kanał zatrzonowcowy lub kanał biegnący doprzednio.11-17 Kanał zatrzonowcowy stanowi 28,1%-71,3% wszystkich dodatkowych kanałów żuchwy.11-17 Patil i wsp.22 opracowali podział kanału zatrzonowcowego na 3 typy: A – przebiegający za 3. trzonowcem, B – przebiegający pomiędzy dołem zatrzonowcowym a częścią korzeniową trzonowca oraz C – biegnący od razu z otworu żuchwowego doprzednio. Najczęściej występującym typem jest kanał typu B, stanowiący 75% kanałów zatrzonowcowych. Kanał ten w większości przypadków opuszcza żuchwę po stronie językowej. Kanał biegnący doprzednio może ponownie łączyć się z kanałem żuchwy lub przebiegać oddzielnie, w efekcie tworząc dodatkowy otwór bródkowy. Otwór ten występuje u 7% populacji.23 U badanych posiadających dwudzielny kanał żuchwy frekwencja jest znacznie większa: odatkowy otwór bródkowy stwierdzano u 16,7- 73,7%.16,17

Dodatkowy kanał żuchwy najczęściej jest węższy od głównego kanału żuchwy – w przeprowadzonych badaniach jego średnica wynosiła 0,99-2,3 mm, przy średnicy głównego kanału żuchwy równej 2,6-4,3 mm. Długość dodatkowego kanału żuchwy oznaczona w badaniach wynosiła 10,1-16,9 mm.8,11-15 W większości badań nie wykazano zależności pomiędzy występowaniem dodatkowego kanału a płcią lub wiekiem.11,12,16 Fu i wsp.8 w swoich badaniach stwierdzili, że dodatkowy kanał żuchwy częściej występuje u mężczyzn niż kobiet (38,2% vs 24,7%). Wykazali oni również zależność pomiędzy długością kanału a płcią osoby badanej oraz typem kanału. U mężczyzn kanały dodatkowe były dłuższe.8 Zależność między długością kanału a jego typem wykazali także Naithon i wsp.17 stwierdzając, że kanały policzkowo-językowe są zdecydowanie najkrótsze (średnia długość: 1,6 mm), a zatrzonowcowe najdłuższe (średnia długość: 14,8 mm).

Świadomość obecności dodatkowych kanałów żuchwy jest bardzo istotna z wielu powodów. Mogą być one przyczyną niespodziewanych powikłań podczas ekstrakcji zębów lub osteotomii żuchwy, niepowodzenia w znieczulaniu, uniemożliwiać wszczepienie implantów w rejonie trzonowców, powodować dolegliwości bólowe podczas użytkowania protez ruchomych lub też stanowić drogę szerzenia się nowotworów i infekcji.10,19,24-27

Ekstrakcje 3. zębów trzonowych
Zabieg ekstrakcji może być powikłany okresowym lub długotrwałym porażeniem nerwu zębodołowego dolnego, utrudniającym codzienne funkcjonowanie pacjenta.28-31 Obecność dodatkowych kanałów, często bezpośrednio związanych z korzeniami 3. zębów trzonowych zwiększa ryzyko zaistnienia takich powikłań.27, 32

Przeprowadzono niewiele badań zawartości dodatkowych kanałów żuchwowych. Wszystkie wykazały, że w ich świetle znajdują się pęczki nerwowo-naczyniowe.24, 32, 33 Obecność kanałów dodatkowych w trójkącie zatrzonowcowym i zawartość w nich pęczków nerwowo-naczyniowych może mieć znaczenie przy planowaniu pobrania kości autogennej i w konsekwencji może skutkować utratą czucia błony śluzowej.

Znieczulenie przewodowe
Znieczulenie przewodowe nerwu zębodołowego dolnego jest najczęściej stosowaną techniką znieczulania zębów trzonowych i przedtrzonowych żuchwy. Podczas codziennej praktyki lekarskiej niejednokrotnie dochodzi do niepowodzeń podczas wykonywania tej anestezji. Kaufman i wsp.34 ocenili, że znieczulenie przewodowe jest skuteczne w 80-85%, tzn. w znacznie mniejszym stopniu niż podczas znieczulania szczęki. Keetly i Moles35 twierdzą, że anestezja taka kończy się powodzeniem w 91,9% przypadków. Istotne jest zrozumienie przyczyn niepowodzeń. Wymienia się wśród nich: niewłaściwą technikę wykonania, nietypową budowę anatomiczną żuchwy, obecność ostrej infekcji czy też trudność we wprowadzeniu igły we właściwy sposób.36 Wśród cech nietypowej budowy anatomicznej znajdują się dwudzielne kanały żuchwy.24,37,38 Kanały dwudzielne mogą mieć wpływ na skuteczność znieczulenia przewodowego poprzez obecność pęczka naczyniowo-nerwowego w ich świetle24, jednak nie zawsze ich obecność powoduje utrudnienia, ponieważ czasem dodatkowe gałęzie kanału żuchwy zawierają w swoim świetle jedynie naczynia.37

Kiedy w następstwie znieczulenia przewodowego pacjent odczuwa anestezję jedynie w okolicy wkłucia, ale nie w obszarze wargi po stronie iniekcji lub bródki, wtedy przyczyną niepowodzenia najprawdopodobniej jest nieprawidłowa technika podania anestetyku. Jednak jeśli po podaniu środka znieczulającego dochodzi do znieczulenia wargi i bródki, ale zęby wciąż pozostają nieznieczulone, należy rozważyć obecność nietypowej budowy anatomicznej żuchwy, w tym obecność dwudzielnych kanałów.36 W takiej sytuacji wskazane jest zastosowanie innej techniki znieczulenia, ponieważ powtarzanie tych samych czynności nie przyniesie oczekiwanego rezultatu i może być przyczyną zwiększonego bólu pozabiegowego lub szczękościsku.39

Alternatywne techniki znieczulenia zębów trzonowych i przedtrzonowych żuchwy, które można zastosować to np. znieczulenie infiltracyjne od strony policzkowej i językowej, technika Gow-Gates lub technika Vazirani-Akinosi’ego.36,40 Zastosowanie znieczulenia techniką Gow-Gates powinno być skuteczną metodą znieczulenia nerwu zębodołowego dolnego w tym przypadku.41 Podczas wykonywania znieczulenia techniką Vazirani-Akinosi’ego pacjent ma zamknięte usta, a lekarz podaje znieczulenie do przestrzeni skrzydłowo-żuchwowej. W przypadku braku skuteczności wspomnianych technik można zastosować znieczulenie śródwięzadłowe, dokostne lub bezpośrednio domiazgowe.42

Implantologia
Nerw zębodołowy dolny jest jedną z najważniejszych struktur anatomicznych, którą lekarze dentyści muszą uwzględnić podczas wybierania najlepszej lokalizacji dla implantu w żuchwie. Niektórzy uważają, że niezamierzone uszkodzenie tego nerwu jest prawdopodobnym zdarzeniem nawet podczas zachowania wszelkich środków ostrożności.42 Inni autorzy twierdzą, że powikłania, jakie niesie za sobą uszkodzenie nerwu zębodołowego dolnego przetrwale utrudniają funkcjonowanie pacjenta i przyczyn ich wystąpienia doszukują się w błędzie jatrogennym lub niewiedzy lekarza, co w sposób zrozumiały jest przyczyną roszczeń i spraw sądowych.44 W ostatnich latach coraz większą uwagę przykłada się do odpowiedniej diagnostyki i postępowania, których celem jest uniknięcie tego typu komplikacji pozabiegowych.45-47 Dodatkowe gałęzie nerwu zębodołowego dolnego nie mogą pozostać niezauważone przez lekarzy, ponieważ zwiększa to ryzyko jego uszkodzenia.10,19,24

Shan i wsp.10 wykazali, że dodatkowe kanały żuchwy w 32,4% przypadków znajdują się w miejscu, które jest potencjalną lokalizacją implantów. W związku z tym, podczas planowania zabiegu implantologicznego konieczna jest dokładna diagnostyka z zastosowaniem obrazowania trójwymiarowego oraz dokładne poszukiwanie nietypowych struktur anatomicznych.25 Obecność anomalii anatomicznych w postaci dodatkowych kanałów nie może, zdaniem autorów, usprawiedliwiać porażeń tych nerwów wskutek ich uszkodzenia w leczeniu implantologicznym. Stwierdzenie anomalii anatomicznych pod postacią kanałów dodatkowych w żuchwie może być względnym przeciwwskazaniem do leczenia implantologicznego, o ile brak jest wystarczającej ilości tkanki kostnej od brzegu zębodołowej części żuchwy do tego kanału. Działaniem z wyboru jest zastosowanie odpowiednio krótszych i cieńszych implantów lub zastosowanie metody wertykalnej regeneracji tkanki kostnej.

Protetyka
Ucisk płyty protezy na ujścia nerwów – otwory bródkowe, dodatkowe otwory bródkowe, otwory zatrzonowcowe może powodować u pacjenta znaczne dolegliwości bólowe.48 Taka sytuacja wymaga indywidualnej modyfikacji codziennych procedur wykonywania płyt protez w celu zniesienia dolegliwości pacjenta. Dodatkowe otwory bródkowe mają średnią powierzchnię 1,7 mm2 oraz występują średnio 6,3 mm od głównych otworów bródkowych.23 Otwory zatrzonowcowe występują u 25% pacjentów.24 Ich obecność uniemożliwia oparcie płyty protezy na całym obszarze trójkąta zatrzonowcowego. W takich przypadkach należy stosować wybiórczo-odciążające metody wyciskowe, zapewniające odciążenie lub redukcję płyty protezy. Wskazane może być również użycie materiałów miękkich do podścielenia. Długotrwałe uciskanie ujść nerwów może prowadzić nie tylko do dolegliwości bólowych, lecz również do ich porażeń.24

Podsumowanie
Dwudzielne kanały żuchwy są strukturą anatomiczną obecną u znacznie większej części pacjentów niż sądzono na podstawie analiz zdjęć pantomograficznych. W związku z obecnością tych dodatkowych kanałów, lekarze dentyści powinni wprowadzać modyfikacje w codziennym postępowaniu. U osób z dwudzielnymi kanałami żuchwy zalecane są dodatkowe, obok przewodowej, metody znieczulenia, a przy wykonywaniu protez stosowanie wycisków metodami wybiórczo-odciążającymi. Należy również każdorazowo przed ekstrakcją zatrzymanych zębów trzonowych oraz szczególnie przed wszczepieniem implantów stosować precyzyjną diagnostykę CBCT.

embedImagecenter("Imagecenter_1_2168",2168, "large");

Autorzy:

Joanna Łuniewska, Magdalena Świątkowska, Kazimierz Szopiński
Zakład Radiologii Stomatologicznej i Szczękowo-Twarzowej Warszawskiego Uniwersytetu Medycznego
Kierownik: prof. dr hab. Kazimierz Szopiński

Andrzej Wojtowicz
Zakład Chirurgii Stomatologicznej Warszawskiego Uniwersytetu Medycznego
Kierownik: prof. dr hab. Andrzej Wojtowicz

Kontakt:
Joanna Łuniewska
Wydział Lekarsko-Dentystyczny
Zakład Radiologii Stomatologicznej i Szczękowo-Twarzowej
Warszawski Uniwersytet Medyczny
ul. Nowogrodzka 59, 02-006 Warszawa

Tel.: 508 104 847 508 104 847
E-mail: joannaluniewska@gmail.com

 

 

Piśmiennictwo:
1. Langlais RP, Broadus R, Glass BJ. Bifid mandibular canals in panoramic radiographs. J Am Dent Assoc 1985; 110: 923-926.
2. Chávez-Lomeli ME, Mansilla Lory J, Pompa JA, Kjaer I. The human mandibular canal arises from three separate canals innervating different tooth groups. J Dent Res. 1996; 75: 1540-1544.
3. Durst JH, Snow JM: Multiple mandibular canals; oddities or fairly common anomalies. Oral Surg Oral Med Oral Pathol 1980, 49: 272-273.
4. Grover PS, Lorton L.: Bifid mandibular nerve as a possible cause of inadequate anesthesia in the mandible;. J Oral Maxillofac Surg 1983, 41: 177-179.
5. Nortje CJ, Farman AG, Grotepass FW: Variations in the normal anatomy of the inferior dental (mandibular) canal: a retrospective study of panoramic radiographs from 3612 routine dental patients. Br J Oral Surg 1977, 15: 55-63.
6. Sanchis JM, Pennarrocha M, Soler F: Bifid mandibular canal. J Oral Maxillofac Surg 2003, 61: 422-442.
7. Bogdán S, Pataky L, Barabás J, Németh Z, Huszár T, Szabó G: Atypical courses of the mandibular canal: comparative examination of dry mandibles and x-rays. J Craniofac Surg 2006, 17: 487-491.
8. Fu E, Peng M, Chiang CY, Tu HP, Lin YS, Shen EC.: Bifid mandibular canals and the factors associated with their presence: a medical computed tomography evaluation in a Taiwanese population. Clin Oral Implants Res. 2014; 25: e64-7.
9. Muinelo-Lorenzo J., Suárez-Quintanilla JA., Fernández-Alonso A., Marsillas- Rascado S; Descriptive study of the bifid mandibular canals and retromolar foramina: cone beam CT vs panoramic radiography. Dentomaxillofac Radiol. 2014; 43: 20140090.
10. Shen EC, Fu E, Fu MM, Peng M.; Configuration and corticalization of the mandibular bifid canal in a Taiwanese adult population: a computed tomography study. Int J Oral Maxillofac Implants. 2014; 29: 893-7.
11. Rashsuren O, Choi JW, Han WJ, Kim EK.: Assessment of bifid and trifid mandibular canals using cone-beam computed tomography. Imaging Sci Dent. 2014; 44: 229-36.
12. Kang JH, Lee KS, Oh MG, Choi HY, Lee SR: The incidence and configuration of the bifid mandibular canal in Koreans by using cone-beam computed tomography. Imaging Sci Dent. 2014; 44: 53-60.
13. Naitoh M, Hiraiwa Y, Aimiya H, Ariji E.: Observation of bifid mandibular canal using cone-beam computerized tomography Int J Oral Maxillofac Implants. 2009; 24: 155-159.
14. Orhan K, Aksoy S, Bilecenoglu B, Sakul BU, Paksoy CS: Evaluation of bifid mandibular canals with cone-beam computed tomography in a Turkish adult population a retrospective study. Surg Radiol Anat. 2011; 33: 501-507.
15. Kuribayashi A, Watanabe H, Imaizumi A, Tantanapornkul W.: Bifid mandibular canals cone beam computed tomography evaluation. Dentomaxillofac Radiol. 2010; 39: 235-239.
16. de Oliveira-Santos C, Souza PH, de Azambuja Berti-Couto S, Stinkens L, Moyaert K, Rubira-Bullen IR. Assessment of variations of the mandibular canal through cone beam computed tomography. Clin Oral Investig. 2012; 16: 387-393.
17. Naitoh M, Nakahara K, Suenaga Y, Gotoh K, Kondo S, Ariji E. Comparison between cone-beam and multislice computed tomography depicting mandibular neurovascular canal structures. Oral Surg Oral Med Oral Pathol Oral Radiol Endod. 2010; 109: e25-31.
18. Fukami K, Shiozaki K, Mishima A, Kuribayashi A: Bifid mandibular canal confirmation of limited cone beam CT findings by gross anatomical and histological investigations. Dentomaxillofac Radiol. 2012; 41: 460-465.
19. Angelopoulos C, Thomas S, Hechler S, Parissis N, Hlavacek M.: Comparison between digital panoramic radiography and cone-beam computed tomography for the identification of the mandibular canal as part of presurgical dental implant assessment. J Oral Maxillofac Surg. 2008; 66: 2130-2135.
20. Nortje CJ, Farman AG, Grotepass FW.: Variations in the normal anatomy of the inferior dental (mandibular) canal: a retrospective study of panoramic radiographs from 3612 routine dental patients. Br J Oral Surg 1977; 15: 55-63.
21. Carter RB, Keen EN.: The intramandibular course of the inferior alveolar nerve. J Anat 1971; 108: 433–440.
22. Patil S, Matsuda Y, Nakajima K, Araki K, Okano T.: Retromolar canals as observed on cone-beam computed tomography: their incidence, course, and characteristics; Oral Surg Oral Med Oral Pathol Oral Radiol. 2013; 115: 692-699.
23. Naitoh M, Hiraiwa Y, Aimiya H, Gotoh K, Ariji E.: Accessory mental foramen assessment using cone-beam computed tomography. Oral Surg Oral Med Oral Pathol Oral Radiol Endod. 2009; 107: 289-294.
24. Bilecenoglu B, Tuncer N.; Clinical and anatomical study of retromolar foramen and canal., J Oral Maxillofac Surg. 2006; 64: 1493-1497.
25. Nikzad S, Azari A, Sabouri S. Double mandibular foramina and canal: report a case with interactive CT-based planning software, Iran J Radiol 2008; 5: 83-86.
26. Auluck A, Pai KM, Mupparapu M.: Multiple mandibular nerve canals: radiographic observations and clinical relevance. Report of 6 cases. Quintessence Int. 2007; 38: 781-7.
27. Kasabah S, Modellel Y.: Classification of bifid mandibular canals in the Syrian population using panoramic radiographs., East Mediterr Health J. 2014; 19: S178-83.
28. Sisk AL, Hammer WB, Shelton DW, Joy ED Jr.: Complications following removal of impacted third molars: the role of the experience of the surgeon. J Oral Maxillofac Surg 1986; 44: 855-859.
29. Blondeau F, Daniel NG.: Extraction of impacted mandibular third molars: postoperative complications and their risk factors. J Can Dent Assoc. 2007; 73: 325a-325e.
30. Jerjes W, Upile T, Shah P, Nhembe F.: Risk factors associated with injury to the inferior alveolar and lingual nerves following third molar surgery-revisited. Oral Surg Oral Med Oral Pathol Oral Radiol Endod. 2010; 109: 335-345.
31. Bataineh AB.: Sensory nerve impairment following mandibular third molar surgery. J Oral Maxillofac Surg 2001; 59: 1012-1017.
32. Lee JS, Yoon SJ, Kang BC.: Mandibular canal branches supplying the mandibular third molar observed on cone beam computed tomographic images: reports of four cases., Korean J Oral and Maxillofac Radiol 2009; 39: 209-212.
33. Kodera H, Hashimoto I.: A case of mandibular retromolar canal: elements of nerves and arteries in this canal. Kaibogaku Zasshi. 1995; 70:23-30.
34. Kaufman E, Weinstein P, Milgrom P.: Difficulties in achieving local anaesthesia. J Am Dent Assoc 1984; 108: 205-208.
35. Keetley A, Moles DR.: A clinical audit into the success rate ofninferior alveolar nerve block anaesthesia in general dental practice. Prim Dent Care 2001; 8: 139-142.
36. Lew K, Townsen G.: Failure to obtain adequate anaesthesia associated with a bifid mandibular canal: a case report., Aust Dent J. 2006; 51: 86-90.
37. Wadhwani P, Mathur RM, Kohli M, Sahu R.: Mandibular canal variant: a case report., J Oral Pathol Med. 2008; 37: 122-124.
38. Grover PS, Lorton L.: Bifid mandibular nerve as a possible cause of inadequate anesthesia in the mandible., J Oral Maxillofac Surg. 1983; 41: 177-179.
39. Malamed SF.: Handbook of Local Anaesthesia. 5th edn. St Louis: Mosby, 2004: 227-253.
40. Frank Sz, Jakimiak A, Szadowski M, Milczarek E, Szulc M, Talik K, Wojtowicz A: Znieczulenia przewodowe nerwu zębodołowego dolnego. Implants. 2014; 4: 18-20.
41. DeSantis JL, Liebow C.: Four common mandibular nerve anomalies that lead to local anaesthesia failures. J Am Dent Assoc 1996; 127: 1081-1086.
42. Meechan JG.: Supplementary routes to local anaesthesia. Int Endod J 2002; 35: 885-896.
43. Hegedus F, Diecidue RJ.: Trigeminal nerve injuries after mandibular implant placement; practical knowledge for clinicians. Int J Oral Maxillofac Implants 2006; 21: 111-116.
44. Worthington P.: Injury to the inferior alveolar nerve during implant placement: a formula for protection of the patient and clinician. Int J Oral Maxillofac Implants 2004; 19: 731-734.
45. Kraut RA, Chahal O.: Management of patients with trigeminal nerve injuries after mandibular implant placement. J Am Dent Assoc 2002; 133: 1351-1354.
46. Rouas P, Nancy J, Bar D.: Identification of double mandibular canals: literature review and three case reports with CT scans and cone beam CT. Dentomaxillofac Radiol 2007; 36: 34-38.
47. Bartling R, Freeman K, Kraut RA.: The incidence of altered sensation of the mental nerve after mandibular implant placement. J Oral Maxillofac Surg 1999; 57: 1408-1412.
48. Prosba-Mackiewicz M., Mackiewicz J., Grzybiak M.: Zastosowanie badan morfometrycznych do oceny ważnych klinicznie parametrów morfologicznych żuchwy; Czas. Stomat., 2005; 58: 116-123.

You'll need Skype CreditFree via Skype
To post a reply please login or register
advertisement
advertisement