Celem artykułu jest porównywanie modyfikowania brodawek dziąsłowych i związenej z tym osiągniętej estetyki w następstwie leczenia implantoprotetycznego w strefie estetycznej. W obu przypadkach wykorzystano odmienne metody leczenia implantologicznego, wszczepiając po 4 implanty natychmiastowe versus odroczone w strefie estetycznej bezzębnej szczęki, w pierwszym przypadku instalowano odbudowę protetyczną wykorzystując cyrkonowe łączniki standardowe (prefabrykowane) w drugim łączniki indywidualne (BellaTek Encode).
We współczesnej implantologii kwestia estetyki ma coraz większe znaczenie. Ze zrozumiałych powodów oczekiwania i życzenia pacjentów są znaczne i niejednokrotnie trudne do spełnienie, szczególnie w aspekcie przywrócenia quasi-brodawek międzyzębowych oraz zminimalizowania trójkątów między poszczególnymi elementami mostu lub między koronami. Istnieje wiele możliwości chirurgicznych i niechirurgicznych przywracania pofałdowania błony śluzowej imitujących brodawki międzyzębowe.
Zarówno badania naukowe, jak i codzienne doświadczenia dowodzą, że po ekstrakcji nie udaje się zachować kości zębodołu oraz tkanek miękkich w pierwotnej formie. Mimo stosowania zabiegów określanych jako ochrona zębodołu przed resorpcją (socket preservation) i zachowanie wyrostka (ridge preservation) oraz w wyniku implantacji natychmiastowej, możemy zwiększyć objętość zachowanej tkanki, jednak trudno osiągnąć efekt taki, jak przed ekstrakcją. Wiąże się to z unaczynieniem blaszki kostnej przedsionkowej (buccal bone) pochodzącym w części od ozębnej. Usunięcie takiego zęba powoduje niedokrwienie, a w następstwie resorpcję kości. Z tym procesem powiązane są zmiany w zakresie tkanek miękkich dotyczące ich ilości i rozmieszczenia.
Natychmiastowa implantacja z jednej strony pozwala na ochronę tkanki kostnej przed resorpcją, z drugiej – pozwala na mobilizację dziąsła w taki sposób, aby możliwe było modyfikowanie quasi-brodawek. Wiadomo, iż ekstrakcja zębów, utrata podparcia kostnego, utrata punktów/płaszczyzn stycznych między zębami, a w konsekwencji stopniowa utrata brodawek są szczególnie widoczne, gdy pacjent traci wszystkie zęby sieczne. Zarówno mikrochirurgiczne modyfikowanie dziąsła, jak i wykorzystanie metody mechanicznego przemieszczania błony śluzowej łącznikami i koronami są procesami trwającymi wiele miesięcy.
Przy mnogich ekstrakcjach ten proces jest trudniejszy do osiągnięcia. Dużym problemem jest wtedy odtworzenie quasi-brodawek międzyzębowych. Jeżeli możemy zastosować most adhezyjny z odpowiednio wyprofilowanymi przęsłami jako uzupełnienie tymczasowe braków zębowych po wszczepieniu implantów, mamy dużą szansę na wstępne utrzymanie części pofałdowania dziąsła. Gorzej, gdy warunki umożliwiają jedynie zastosowanie protezy osiadającej, bowiem jej ucisk na podłoże praktycznie uniemożliwia zachowanie brodawek i powoduje skutek odwrotny.
Istnieje kilka metod odbudowy protetycznej z wykorzystaniem łączników protetycznych. Najczęściej wykorzystuje się łączniki standardowe, prefabrykowane, tytanowe lub cyrkonowe oraz indywidualne. Łączniki indywidualne mogą być wykonywane na podstawie skanowania wewnątrzustnego lub skanowania modeli, po czym są fabrykowane z wykorzystaniem m.in. wysokiego ciśnienia celem uzyskania najkorzystniejszych właściwości mechanicznych z jednoczesnym dopasowaniem do dziąsła, z możliwością modyfikowania jego wypukłości quasi-brodawek międzydziąsłowych.
Celem prezentowanej pracy jest porównanie 2 przypadków leczenia implantoprotetycznego bezzębia przedniego odcinka szczęki (4 zęby sieczne). W pierwszym przypadku zastosowano odroczoną instalację implantów przy zanikłej błonie śluzowej i braku brodawek międzyzębowych, u drugiego pacjenta wykonano natychmiastową instalację implantów w zębodoły poekstrakcyjne wraz z augmentacją tkanki kostnej i mobilizacją błony śluzowej zgodnie z zasadą bez napięcia tkanek.
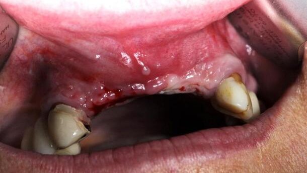
embedImagecenter("Imagecenter_1_888",888, "large");
Przypadek 1
40-letnia pacjentka zgłosiła się w celu leczenia implantoprotetycznego brakujących 4 górnych siekaczy. Zęby utraciła przedwcześnie, co skutkowało zanikiem brodawek międzyzębowych między siekaczami bocznymi i przyśrodkowymi oraz inwolucją brodawki przysiecznej i ścieczeniem błony śluzowej w odcinku bezzębnym wraz z obniżeniem wyrostka zębodołowego. Warunki kostne pozwoliły na instalację 4 implantów o wymiarach 3.25 x 11.5 Biomet 3i NanoTite Tapered Certain. Na czas gojenia pacjentkę zaopatrzono w częściową protezę górną podścieloną na miękko materiałem Ufi Gel P. Rozległość braku zębowego uniemożliwiała wykonanie tymczasowej odbudowy stałej przy pomocy mostu adhezyjnego. Po 6 miesiącach implanty odsłonięto i zmierzono stopień integracji urządzeniem Ostell. Pomiary wyniosły odpowiednio:
implant 22: 77
implant 21: 70
implant 11: 74
implant 12: 71
Wartości te świadczą o właściwej stabilizacji wtórnej. Po 2 tygodniach pobrano wyciski z poziomu implantów za pomocą transferów wyciskowych na łyżce otwartej. Nie były wówczas dostępne łączniki cyrkonowe Biomet 3i na implanty o platformie 3.25 mm, wobec tego zastosowano standardowe łączniki tytanowe typu GingiHue, wykonano 4 cementowane korony cyrkonowe licowane porcelaną. Licowanie koron było modyfikowane po 2 tygodniach i cementowane (Fuji plus) po miesiącu.
Przypadek 2
U 50-letniej pacjentki wykonano ekstrakcję zębów 12, 11, 23, będących filarami dla mostu porcelanowego z powodu 2 stopnia ruchomości zębów wg skali. Natychmiastowo zainstalowano 4 implanty Biomet 3i Osseotite Tapered Certain o wymiarach 4 x 11.5 (pozycja 12), 4 x 10 (pozycja 11), 4 x 11,5 (pozycja 21/22) i 4 x 10 (pozycja 23). Wykonano jednoczesną augmentację kości, stosując Bio Oss/Bio guide. Ranę szczelnie zszyto.
Przez okres wgajania wszczepów pacjentka użytkowała akrylową protezę częściową podścieloną w rejonie zabiegowym na miękko materiałem Ufi Gel P. Po 6 miesiącach implanty odsłonięto i zamontowano 4 śruby gojące typu Encode. Pomiary stopnia integracji urządzeniem Ostell świadczyły o dobrej stabilizacji wtórnej, prezentowały się następująco:
implant 12: 82
implant 11: 81
implant 21/22 :82
iImplant 23: 77
Po 2 tygodniach z poziomu śrub Encode pobrano wyciski, następnie modele gipsowe wykonane w laboratorium wysłano do Biomet 3i Dental Iberica celem wykonania cyrkonowych łączników indywidualnych w systemie BellaTek Encode. Po przysłaniu łączników do Polski wykonano korony porcelanowe na podbudowie cyrkonowej. Ze względu na tendencję do abrazji połączenia cyrkonowego łącznika z tytanową platformą implantu zdecydowano o zblokowaniu korony parami. Ze względów estetycznych zamiast brakujących 5 zębów wykonano 4 korony.
Omówienie wyników i dyskusja
Ekstrakcja 4 siekaczy szczęki powoduje znaczny zanik tkanki kostnej, nasilający się z czasem z powodu braku funkcji, prowadząc do łukowatego kształtu zanikłego brzegu wyrostka. Nasila to niemal całkowity zanik brodawek międzyzębowych oraz ścieńczenie błony śluzowej w bezzębnym odcinku.
Natychmiastowa poekstrakcyjna instalacja implantów w strefach zębododołowych z jednej strony przeciwdziała resorpcji tkanki kostnej, z drugiej, podtrzymując brodawki międzyzębowe, ogranicza ich zanik. Wydaje się, iż o ile wskaźnik przetrwania implantów (implant survival rate) w natychmiastowej poekstrakcyjnej instalacji ma nieznacznie niższą wartość w stosunku do odroczonej instalacji implantów, to wskaźnik sukcesu leczenia implantologicznego (implant sucess rate), a więc estetyki wydaje się korzystniejszy, gdy implanty są instalowane natychmiastowo, kiedy nie doszło do znacznego zaniku tkanki kostnej oraz zanikających brodawek zębowych. Dziąsło i brodawki po zabiegu chirurgicznym można dodatkowo modyfikować odpowiednio profilowanymi uzupełnieniami czasowymi w odcinku nad zainstalowanymi implantami.
Analizując estetykę odbudowy i tzw. estetykę różową dziąseł-brodawek w omawianym przypadku odroczonego leczenia implantoprotetycznego, należy stwierdzić, iż poekstrakcyjna resorpcja blaszki przedsionkowej tkanki kostnej (bucccal bone) spowodowała spłaszczenie łuku i pionowe podniesienie linii dziąsłowej, co skutkowało wąskimi i wysokimi zębami w odbudowie ostatecznej, zaburzającymi proporcje wymiarów zębów.
Taki układ zębów wynikał również z faktu, iż zbyt wąskie korony i bardziej szczelinowe przestrzenie między nimi ograniczają wpełzanie (wrastanie) quasi-brodawek i w efekcie gorszy efekt estetyczny. Szersze i bardziej trójkątne niż szczelinowate kształty przestrzeni międzykoronowych poprawiają wygląd brodawek. Porównując pracę wykonaną w systemie BellaTek Encode z pracą wykonaną na standardowych łącznikach można zauważyć, że łączniki indywidualne dokładniej odwzorowują część dodziąsłową, dając lepszy profil wyłaniania i lepiej formują dziąsło między łącznikami. Skutkuje to lepszą estetyką tkanek miękkich, bardziej upodobniającą przebieg girlandy dziąsłowej do tej występującej w uzębieniu naturalnym. Jednak biorąc pod uwagę mnogie braki międzyzębowe w strefie estetycznej, z jakimi mieliśmy do czynienia wraz z towarzyszącą resorpcją wyrostka zarówno w wymiarze pionowym, jak i poziomym, różnice w estetyce wykonanych prac są niewielkie.
Mimo zastosowania najnowszych dostępnych technologii (zarówno chirurgicznych, jak i protetycznych) obraz dziąsła/brodawek między koronami/uzupełnieniami protetycznymi odbiega od obrazu dziąsła/brodawek międzyzębowych, szczególnie w leczeniu odroczonym. Powinno się tę kwestię szczegółowo wyjaśnić pacjentowi przed podjęciem leczenia, z powodu często nadmiernych oczekiwań, aby przy ich nieosiągnięciu nie obarczał winą lekarza. Trzeba wyjaśnić, że zęby utracił przedwcześnie z powodu, mającego olbrzymi wpływ na stan tkanki kostnej i dziąseł, a szczególnie zanikających brodawek dziąsłowych po ekstrakcjach. Często przyczyną przedwczesnej utraty zębów jest trwająca przez wiele lat choroba przyzębia skutkująca resorpcją kości i postępującym za nią zanikiem tkanek miękkich.
Wnioski:
W występujących o wiele częściej przypadkach braków pojedynczych w strefie estetycznej, możliwości terapeutyczne w aspekcie tzw. estetyki różowej, dziąsłowej są o wiele większe i pozwalają zwykle osiągnąć korzystne efekty terapeutyczne nawet w przypadkach uśmiechu dziąsłowego (gummy smile). Zastosowanie indywidualnych łączników pozwala na uzyskanie lepszych efektów „dziąsłowych”, przy mniejszej liczbie wizyt pacjenta i podobnych nakładach kosztowych.
Piśmiennictwo dostępne u wydawcy.
Celem artykułu jest porównywanie modyfikowania brodawek dziąsłowych i związenej z tym osiągniętej estetyki w następstwie leczenia ...
U 50-letniej pacjentki stwierdzono brak uzębienia w odcinku przednim szczeki w strefie estetycznej przy istniejącej wadzie zgryzu kl. II wg Angle’a....
U 50-letniej pacjentki stwierdzono brak uzębienia w odcinku przednim szczeki w strefie estetycznej przy istniejącej wadzie zgryzu kl. II wg Angle’a....
Najcenniejsza wartość naszej pracy to życzliwość ludzi. W niniejszym artykule przedstawiono przypadek, który bez wątpienia należy do takich, ...
Stałe uzupełnienia pełnoceramiczne zostały zaakceptowane przez lekarzy i pacjentów jako pełnoprawna opcja terapeutyczna w leczeniu ...
29 i 30 listopada br. na specjalne zaproszenie warszawskiego Centrum Szkoleniowego Dental Skills Institute przyleci do Polski światowej sławy specjalista ...
W dn. 29-30 listopada na specjalne zaproszenie warszawskiego Centrum Szkoleniowego Dental Skills Institute przyleci do Polski światowej sławy specjalista,...
Likwidacja kamienia nazębnego i mikroflory bakteryjnej stanowi wypróbowaną metodę leczenia przewlekłej paradontozy. Dotąd wdrożono kilka ...
Wprowadzenie implantów w odcinku estetycznym nadal stanowi wyzwanie terapeutyczne. Optymalne wyniki leczenia możemy osiągnąć nie tylko poprzez ...
Wprowadzenie implantów w odcinku estetycznym nadal stanowi wyzwanie terapeutyczne. Optymalne wyniki leczenia możemy osiągnąć nie tylko poprzez ...
Webinarium na żywo
czw. 30 kwietnia 2026
1:00 (CET) Warsaw
Dr. Renato Leonardo D.M.D.
Webinarium na żywo
czw. 30 kwietnia 2026
7:00 (CET) Warsaw
Webinarium na żywo
nie. 3 maja 2026
6:00 (CET) Warsaw
Dr. Rickard Brånemark MSc, MD, PhD, Dr. Robert Gottlander DDS
Webinarium na żywo
pon. 4 maja 2026
2:00 (CET) Warsaw
Webinarium na żywo
wto. 5 maja 2026
4:00 (CET) Warsaw
Webinarium na żywo
wto. 5 maja 2026
6:00 (CET) Warsaw
Webinarium na żywo
wto. 5 maja 2026
7:00 (CET) Warsaw
Dr. Maximilian Dobbertin M.Sc
To post a reply please login or register