Autorzy przedstawiają metodę zaopatrzenia implantoprotetycznego braków zębowych w strefie estetycznej przy znacznym niedoborze horyzontalnym kości z użyciem implantów małoinwazyjnych, jednoczęściowych, obciążonych natychmiastowo, połączonych metodą zgrzewania wewnątrzustnego bez wcześniejszych zabiegów przedimplantacyjnych.
Wszczepy igłowe zostały wprowadzone do implantologii stomatologicznej przez paryskiego dentystę Jacquesa Scialoma na początku lat 60. XX w.1,2 Początkowo wykonane z tantalu, a później z tytanu – po wprowadzeniu go do implantologii przez włoskiego dentystę Stefano Tramonte.3,4 Szybko znalazły zastosowanie w rozwiązywaniu trudnych przypadków niedoboru kości, praktycznie w każdym odcinku szczęki i żuchwy i w każdym wymiarze przestrzennym.
Pewnym ograniczeniem był brak skutecznej metody trwałego łączenia wszczepów w większe konstrukcje. Używano m.in. np. misternej ligatury zatopionej w kompozycie.5,6 Przełomu dokonał Pierluigi Mondani, prezentując publicznie w 1978 r. na kongresie implantologicznym w Ortisei (Włochy) nowe urządzenie medyczne: zgrzewarkę punktowo-oporową do tytanu.7
Stabilne połączenie wprowadzonych pod różnymi kątami i w różnych płaszczyznach wszczepów daje siłę większą niż ta, która wynika z sumy powierzchni przekrojów składowych elementów. Obciążenia są przenoszone osiowo na warstwę korową przeciwstawną kości, gdyż wierzchołek prawidłowo wprowadzonego wszczepu dociera zawsze do istoty zbitej i na niej się zatrzymuje. Ponieważ tzw. kora wejścia, czyli warstwa powierzchowna kości jest nawiercana frezem pilotażowym o średnicy nieco mniejszej niż wprowadzany wszczep, uzyskujemy implant bikortykalny o wysokiej stabilizacji pierwotnej, zgodnie z definicją Dino Garbaccio.8 Jest to implant nadający się do natychmiastowego obciążenia, także jako wszczep poekstrakcyjny, w formie bi- lub tripodu. Genialną prostotę i piękno takiej struktury podkreśla porównanie jej przez Luca Dal Carlo podczas wykładu na 10. Jubilleuszowym Świątecznym Wieczorze Implantologicznym w Warszawie do innej znanej paryskiej konstrukcji – wieży Eiffla.
Cel pracy
Przedstawienie fazy implantologicznej interdyscyplinarnego leczenia ortodontyczno-implantoprotetycznego hipodoncji siekaczy bocznych szczęki ze szczególnym uwzględnieniem doboru wszczepów do istniejącego podłoża kostnego bez konieczności jego modyfikacji chirurgicznej.
Materiał i metody
Zastosowano wszczepy igłowe Scialoma o średnicy 1,5 mm (dostępne są też o śr. 1,2 i 1,3 mm i dł. 27-35 mm), wykonane z tytanu gr. II (Ryc. 1), przeprowadzone przez kość gąbczastą przy pomocy adaptera mandrino umocowanego na kątnicy przy obrotach 50-100/min, zgodnie z protokołem chirurgicznym9 po uprzednim nawierceniu warstwy korowej i ustaleniu kierunku wprowadzania frezem średnicy 1,2 mm. Na tym etapie pomocne bywa śródzabiegowe obrazowanie radiologiczne (Ryc. 2). Ostatnim krokiem do uzyskania stabilizacji po osiągnięciu warstwy korowej jest mechaniczne zaklinowanie w niej wszczepu, co sygnalizowane jest charakterystycznym dźwięcznym odgłosem podczas badania perkusyjnego. Tak ustabilizowane implanty można doginać, skracać i zgrzewać, kształtując mezostrukturę odpowiadającą warunkom protetycznym (Ryc. 3 i 4).
Zgrzewanie jest procesem synkrystalizacji, czyli połączenia na poziomie molekularnym w homogenną strukturę krystaliczną, gdzie nawet w badaniu mikroskopem elektronowym nie stwierdza się widocznej granicy połączonych elementów. Proces zgrzewania zachodzi w temperaturze 1670° C, przepływ prądu o wysokim natężeniu i niskim napięciu trwa ok. 1,5 milisekundy i jest całkowicie bezpieczny dla pacjenta. Zgrzewanie przebiega jednakowo, nawet w warunkach zanurzenia łączonych elementów w ślinie, krwi czy roztworze soli fizjologicznej. Nie istnieje fizyczna możliwość dotarcia energii cieplnej do pogrążonej w kości części implantu i przegrzania okolicznych tkanek ze względu na 20-krotnie niższy współczynnik przewodności cieplnej tytanu w stosunku do miedzi – ciepło jest pochłaniane i rozpraszane przez miedziane groty kleszczy zgrzewarki (Ryc. 5).
Badania radiologiczne przeprowadzono aparatem Hyperion MRT z opcją odcinkowej tomografii liniowej, która pozwala na uzyskiwanie skanów poprzecznych (3DTS).
Opis przypadku
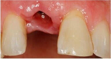
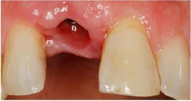
Do gabinetu zgłosiła się 23-letnia pacjentka z hipodoncją siekaczy bocznych szczęki po zakończonym leczeniu ortodontycznym aparatem stałym, skierowana do dalszego leczenia implantoprotetycznego. Badaniem klinicznym stwierdzono wystarczającą przestrzeń na koronę protetyczną, a widoczna na pantomogramie odległość między korzeniami sąsiednich zębów sugerowała możliwość bezpiecznego zastosowania wszczepów o śr. ok. 4-5 mm.
Badanie grubości tkanki kostnej wyrostka zębodołowego w znieczuleniu miejscowym i poprzeczne skany DTS dały obraz odmienny (Ryc. 6). Wobec wymiaru poprzecznego kości 2,6 mm zastosowano wszczepy igłowe o śr. 1,5 mm. Wprowadzono je bez otwierania płata, w znieczuleniu nasiękowym na szczycie wyrostka niewielką ilością 4% artykainy, zgodnie z przytoczoną metodologią (Ryc. 7). Ustabilizowane wszczepy połączono naddziąsłowo prętami tytanowymi o takiej samej średnicy za pomocą zgrzewarki wewnątrzustnej Mondaniego. Wolne przestrzenie uzupełniono kompozytem, powstałe pełne struktury oszlifowano, nadając im kształt filarów protetycznych (Ryc. 8) i pobrano wyciski do ostatecznych koron porcelanowych. Zabieg zakończono zacementowaniem przygotowanych w gabinecie prowizorycznych koron kompozytowych (Ryc. 9 i 10).
Dyskusja
Hipodoncja występuje w populacji polskiej z częstością 9,5-14,8%10 i dotyczy najczęściej drugich dolnych przedtrzonowców i bocznych zębów siecznych górnych. Może mieć podłoże genetyczne i podlegać dziedziczeniu, jak np. w przypadku mutacji genu TGFA skutkującej powstaniem hipodoncji siekaczy.11
Leczenie ortodontyczne pozwala uzyskać i/lub utrzymać przestrzeń niezbędną dla uzupełnienia brakujących zębów i poprzedza etap implantoprotetyczny. Implantacja jest w takich przypadkach rutynowym postępowaniem i – o ile nie ma przeciwskazań wynikających z np. nierównoległego przebiegu korzeni zębów sąsiednich czy braku przestrzeni – metodą z wyboru u pacjentów po zakończeniu wzrostu kostnego.12 Pozwala uniknąć szlifowania i obciążania zębów sąsiednich, koniecznego przy zastosowaniu uzupełnień protetycznych stałych (ruchome pomijamy w dyskusji, gdyż co do zasady nie są uzupełnieniem docelowym).
Obiecującym rozwiązaniem mogą być autotransplantacje, ale właśnie w hipodoncji częściej brakuje zawiązków możliwych do wykorzystania w tym celu, a zęby powstające in vitro z hodowli embrionalnych komórek macierzystych pozostają jeszcze w sferze badań na modelach zwierzęcych.13
W opisanym przypadku ograniczeniem dla implantacji mógł się okazać poziomy deficyt tkanki kostnej. Ze względu na wyraźne życzenie pacjentki, wybrano plan leczenia bez poprzedzających zabiegów osteoregeneracyjnych. Pacjentka została wyczerpująco poinformowana o współczesnych metodach postępowania przedimplatacyjnego i stanowczo odrzuciła możliwość przeszczepów kości, rozszczepiania wyrostka, sterowanej regeneracji kości. W tych warunkach użycie wszczepów żyletkowych wg Leonarda Linkowa,14 przydatnych w sytuacji, gdy szerokość kości gąbczastej nie przekracza 3 mm (tutaj 1,3 mm), mogłoby wiązać się z rozszczepieniem wyrostka – i także na taki rodzaj postępowania nie było zgody pacjentki.
Ponieważ zastosowano technikę bezpłatową (flapless), nie wystąpiły ból i obrzęk w przebiegu pooperacyjnym, nie było też potrzeby stosowania leków przeciwbólowych. Natychmiastowe obciążenie wszczepów pozwoliło już w dniu zabiegu przywrócić harmonię okluzji i korzystnie wpłynęło na samopoczucie i psychikę pacjentki.
Zastosowane rozwiązanie jest trwałe i przewidywalne. Igły Scialoma w obserwacji 10-letniej posiadają wg Luca Dal Carlo wskaźnik przetrwania (success rate) 95,8%.15 W 1999 r. Pasqualini opublikował badania histopatologiczne na materiale ludzkim potwierdzające osteointegrację wszczepów igłowych.16
Podsumowanie
Wszczep igłowy jest implantem bikortykalnym znanym od 54 lat. Jak dotąd, spełnia kolejne postulaty formułowane pod adresem implantu idealnego. Jest bikortykalny, małoinwazyjny, jednoczęściowy, o gładkiej powierzchni, może być poekstrakcyjny z obciążeniem natychmiastowym, daje satysfakcjonujące efekty estetyczne. Może być stosowany w warunkach niedoboru podłoża kostnego w wymiarze horyzontalnym, np. w hipodoncji jako alternatywa dla wszczepów wymagających zabiegów przedimplantacyjnych.
Autorzy:
Dariusz Grzęda, Tatiana Zawadzka
Gabinet Stomatologiczny „Protetyka Tatiana Zawadzka”
Ul. Wolności 62c, 08-300 Sokołów Podlaski
Kontakt:
E-mail: d-grzeda@wp.pl
Tomasz Grotowski
Szkoła Implantologii Małoinwazyjnej
Ul. Korony Północnej 13a, 71-771 Szczecin
Kontakt:
E-mail: info@implantgrot.com
Piśmiennictwo:
1. Scialom J. Regard neuf sur les implants. Une decouverte fortuite: Les implants aiguilles. Inf. Dent. 9-1962.
2. Scialom J. Les implants aiguilles a l'heure implantaire. Inf. Dent. 18-1962.
3. Tramonte SM. Un nuovo metodo di impianto endoosseo-VCongresso Nazionale SIOCMF, Napoli 1962.
4. Tramonte SM. A proposito di una modificazione sugli impianti allo plastici. Rass.Trim.Odont.44(2) 129-136, 1963.
5. Pruin FH. Implantationskurs in der Odonto-Stomatologie-Quintessenz Verlag-Berlin 1974.
6. Ackermann R. Implantologia Oggi-Edizioni Cadmos – gennaio 1974.
7. Pasqualini UM. Clinica Implantoprotesica. wyd. APSP – Trento 2008.
8. Garbaccio D. La vite autofilettante bi-corticale: principio biomeccanico, tecnica chirurgica e risultati. Dental Cadmos-n.6/1981.
9. Rossi F. Obciążenie natychmiastowe wszczepów zębowych w szczęce. Opis protokołu operacyjnego. Mag. Stom. 10, 2006.
10. Dyras M, Jankowska K, Czupryna S. Ocena częstotliwości występowania zaburzeń rozwojowych zębów u pacjentów leczonych w Katedrze Ortodoncji Instytutu Stomatologii UJ. Dent. Med. Probl. 2003; 40: 349-54.
11. Vieira AR, Meira R, Modesto A i wsp. MSX1, PAX9 and TGFA contribute to tooth agenesis in Humans. J.Dent. Res. 2004;83:723-7.
12. Majewski S. Protetyka stałych uzupełnień zębowych. Wydawnictwo Stomatologiczne SZS.W, Kraków 1998.
13. Duailibi SE, Duailibi MT, Zhang W. et al. Bioingineered dental tissues grown in the rat jaw. J. Dent. Res. 2008; 87:745-750.
14. Linkow L. Endosseus blade implant insertion guidelines Dent. Today, 1984;3.
15. Dal Carlo L. Welded titanium needle implants in treatment of bone atrophy, Dental Tribune 2013;11.
16. Pasqualini U et al.: Indagine istologica su ago emergente fratturato. Implantologia Orale 1999;2.
W artykule przedstawiono przypadek leczenia hipodoncji siekaczy bocznych w szczęce z zastosowaniem zespołowego podejścia do leczenia i wykorzystania ...
Hipodoncja to najczęstsza wada rozwojową uzębienia, charakteryzuje się wrodzonym brakiem zawiązka co najmniej jednego zęba. Hipodoncja może być ...
Hipodoncja to najczęstsza wada rozwojową uzębienia, charakteryzuje się wrodzonym brakiem zawiązka co najmniej jednego zęba. Hipodoncja może być ...
57-letni mężczyzna zgłosił się z powodu utraty przyśrodkowego zęba siecznego szczęki po prawej stronie (ząb 11) na skutek urazu. Pacjent oczekiwał...
57-letni mężczyzna zgłosił się z powodu utraty przyśrodkowego zęba siecznego szczęki po prawej stronie (ząb 11) na skutek urazu. Pacjent oczekiwał...
Stosowane obecnie w implantologii metody rehabilitacji braków zębów są kontynuacją pracy wielu wybitnych, w większości nieżyjących już...
Stosowane obecnie w implantologii metody rehabilitacji braków zębów są kontynuacją pracy wielu wybitnych, w większości nieżyjących już pionierów ...
Ciało obce pozostawione w tkankach pacjenta jest rzadkim powikłaniem jatrogennym, trudnym w leczeniu i diagnostyce. Diagnostyka przedzabiegowa z ...
BOSTON, USA: Około 120 uczestników z 27 krajów zebrało się w Bostonie w dniach 16–18 czerwca, aby wziąć udział w przełomowym momencie w historii ...
W przeciwieństwie do ubytków tkanek zęba, ubytki kostne nie mogą być identyfikowane na podstawie badania klinicznego. Do ich diagnostyki ...
Na żądanie
seminarium internetowe
Na żądanie
seminarium internetowe
Webinarium na żywo
wto. 26 maja 2026
6:00 (CET) Warsaw
Webinarium na żywo
wto. 26 maja 2026
8:00 (CET) Warsaw
Webinarium na żywo
śro. 27 maja 2026
2:00 (CET) Warsaw
Webinarium na żywo
czw. 28 maja 2026
6:00 (CET) Warsaw
Dr. Anthony Viazis DDS, MS. Inventor & Founder of Fastbraces®
Webinarium na żywo
pon. 1 czerwca 2026
7:00 (CET) Warsaw
To post a reply please login or register