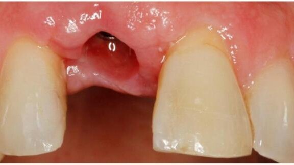
57-letni mężczyzna zgłosił się z powodu utraty przyśrodkowego zęba siecznego szczęki po prawej stronie (ząb 11) na skutek urazu. Pacjent oczekiwał estetycznego, stałego uzupełnienia brakującego zęba, które nie spowodowałoby uszkodzenia zębów sąsiadujących.
Badanie radiologiczne pacjenta wykazało dostateczną ilość kości, umożliwiającą leczenie implantologiczne. Jednak w badaniu klinicznym stwierdzono resorpcję w wymiarze przedsionkowo-podniebiennym, wymagającą augmentacji tkanek twardych. Zatwierdzony przez pacjenta plan leczenia obejmował wszczepienie implantu OSSEOTITE® Tapered PREVAIL® z jednoczesnym zastosowaniem materiału kościozastępczego Endobon® Xenograft Granules i resorbowalnej kolagenowej błony zaporowej OsseoGuard®, a następnie osadzeniem adhezyjnym częściowego stałego uzupełnienia protetycznego, zacementowanego na sąsiednich zębach. Po zakończeniu dojrzewania tkanek twardych i miękkich oraz uzyskaniu osteointegracji, zaplanowano drugi etap postępowania chirurgicznego w celu odsłonięcia implantu, następnie pobranie wycisku cyfrowego łącznika gojącego BellaTek® Encode® w celu wykonania indywidualnego łącznika i korony w systemie CAD/CAM.
embedImagecenter("Imagecenter_1_821",821, "large");
Autor jest związany finansowo z firmą BIOMET 3i LLC na podstawie umów o prowadzenie wykładów, konsultacji i innych usług.
Nie wszystkie produkty są dostępne na wszystkich rynkach. Informacji na temat dostępności udziela miejscowy przedstawiciel handlowy firmy BIOMET 3i.
Autor:
Prof. Pär-Olov Östman uzyskał tytuł lekarza dentysty na University of Umeå w Szwecji. Tytuł doktora nauk medycznych uzyskał w katedrze biomateriałów Institute for Surgical Sciences w Sahlgrenska Academy (Göteborg University, Göteborg, Szwecja). Obecnie pełni funkcję prof. wizytującego w Department of Periodontology and Oral Implantology, Dental School University Hospital Faculty of Medicine and Health Sciences University w Ghent w Belgii, a także jest kierownikiem prywatnej kliniki Team Holmgatan w Falun w Szwecji.
57-letni mężczyzna zgłosił się z powodu utraty przyśrodkowego zęba siecznego szczęki po prawej stronie (ząb 11) na skutek urazu. Pacjent oczekiwał...
O cyfrowej ortodoncji i nowoczesnych technologiach zmieniających światową i polską stomatologię rozmawiamy z nowym Prezydentem-elektem Europejskiego ...
Autorzy przedstawiają metodę zaopatrzenia implantoprotetycznego braków zębowych w strefie estetycznej przy znacznym niedoborze horyzontalnym ...
Jeszcze do niedawna moi pacjenci uznaliby, że pełne leczenie z wykonaniem ceramicznej korony lub mostu podczas jednej wizyty to fikcja. Technologia ...
W ostatnich latach spotykamy się z bardzo dynamicznym rozwojem materiałów i technologii do wytwarzania stałych uzupełnień ceramicznych przy ...
W ostatnich latach spotykamy się z bardzo dynamicznym rozwojem materiałów i technologii do wytwarzania stałych uzupełnień ceramicznych przy ...
W codziennej praktyce stosowanie cyfrowej analizy leczenia staje się coraz popularniejsze nie tylko na poziomie pojedynczych badań, lecz również w...
Zaniki kości powstałe po ekstrakcji zębów niejednokrotnie uniemożliwiają zastosowanie implantów w danej lokalizacji bez uprzedniej ...
GIZA, Egipt: Badanie przeprowadzone przez naukowców z Uniwersytetu w Kairze miało na celu identyfikację cech psychologicznych u dzieci za pomocą ...
Stosowane obecnie w implantologii metody rehabilitacji braków zębów są kontynuacją pracy wielu wybitnych, w większości nieżyjących już...
Webinarium na żywo
czw. 30 kwietnia 2026
1:00 (CET) Warsaw
Dr. Renato Leonardo D.M.D.
Webinarium na żywo
czw. 30 kwietnia 2026
7:00 (CET) Warsaw
Webinarium na żywo
nie. 3 maja 2026
6:00 (CET) Warsaw
Dr. Rickard Brånemark MSc, MD, PhD, Dr. Robert Gottlander DDS
Webinarium na żywo
pon. 4 maja 2026
2:00 (CET) Warsaw
Webinarium na żywo
wto. 5 maja 2026
4:00 (CET) Warsaw
Webinarium na żywo
wto. 5 maja 2026
6:00 (CET) Warsaw
Webinarium na żywo
wto. 5 maja 2026
7:00 (CET) Warsaw
Dr. Maximilian Dobbertin M.Sc
To post a reply please login or register