Firma DEXIS, lider branży obrazowania cyfrowego, wprowadza innowacyjne produkty i angażuje się w opracowywanie rozwiązań, które pozwalają dentystom i ich zespołom pracować pewnie i precyzyjnie. (Zdjęcia: DEXIS)
Obecnie nowoczesne gabinety stomatologiczne mogą zapewnić jeszcze bardziej złożone procedury terapeutyczne we własnym zakresie, otwiera to przed lekarzami nowe możliwości rozwoju i przychodów, a pacjentom oszczędza niedogodności związanych z wielokrotnym umawianiem się na wizyty. Aby jednak pomyślnie rozwinąć gabinet i rozszerzyć wachlarz oferowanych usług stomatologicznych, właściciele klinik muszą dysponować odpowiednią technologią, narzędziami i zespołem.
Firma DEXIS należy do liderów branży obrazowania cyfrowego, wprowadza innowacyjne produkty i angażuje się w opracowywanie rozwiązań, które pozwalają dentystom i ich zespołom pracować pewnie i precyzyjnie. Dzięki nowościom takim jak: aparat ORTHOPANTOMOGRAPH OP 3D EX, aktualizacje oprogramowania DEXIS IS ScanFlow i tworzenie szablonów chirurgicznych w DTX Studio Clinic — DEXIS zapewnia lekarzom wysokiej jakosci produkty, które pozwolą rozwijać ich działalność i poszerzać zakres opieki nad pacjentem.
Jeśli Twoja strategia rozwoju gabinetu obejmuje poszerzanie oferty, te trzy nowe rozwiązania DEXIS są doskonałym pomysłem na początek.
ORTHOPANTOMOGRAPH OP 3D EX – nowa generacja DEXIS CBCT.
Zbudowana w oparciu o sprawdzoną technologię OP 3D, multimodalna platforma obrazowania OP 3D EX jest dla lekarzy dentystów doskonałym punktem wyjścia do rozszerzenia możliwości leczenia. W aparacie OP 3D EX znajdziesz wiele funkcji znanych już z modelu w OP 3D LX, w tym krótki czas skanowania, szeroki zakres pól obrazowania, spójne obrazy o wysokiej przejrzystości, a także dostęp do funkcji opartych na sztucznej inteligencji wbudowanych w oprogramowanie DTX Studio Clinic. Wszystkie one wpływają na zwiększenie komfortu pacjenta.
Ponieważ OP 3D EX w pełni integruje się z DTX Studio Clinic, będziesz mieć dostęp do różnych filtrów, w tym do wzmocnienia kontrastu implantu (ICE), redukcji szumów przy zachowaniu wyraźnych krawędzi (EPNR) i ulepszonej redukcji artefaktów metalowych (MAR). Podobnie jak OP 3D LX, również OP 3D EX został wyposażony w zaprojektowaną na nowo konstrukcję podparcia głowy, zapewniającą wygodne pozycjonowanie pacjenta i stabilizację.
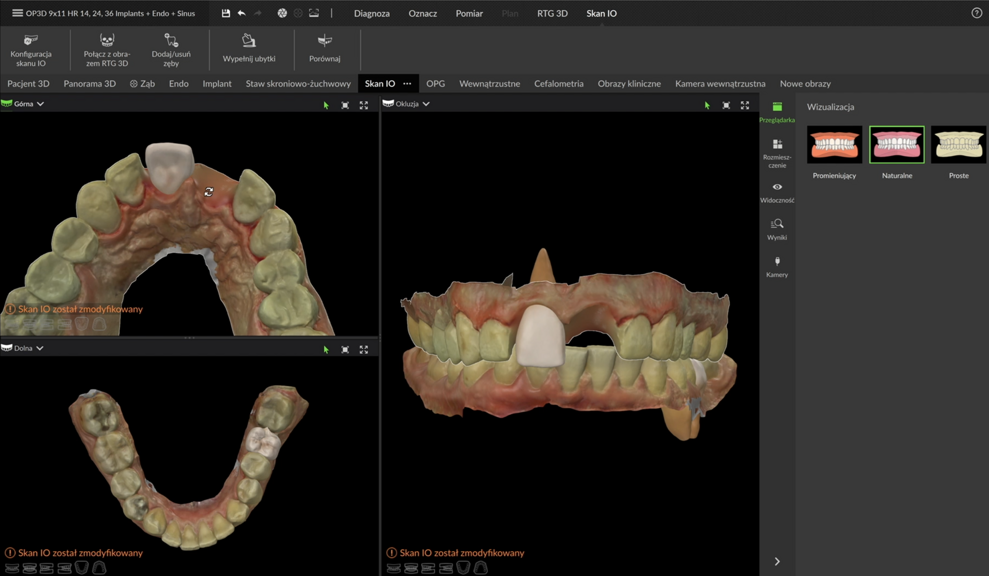
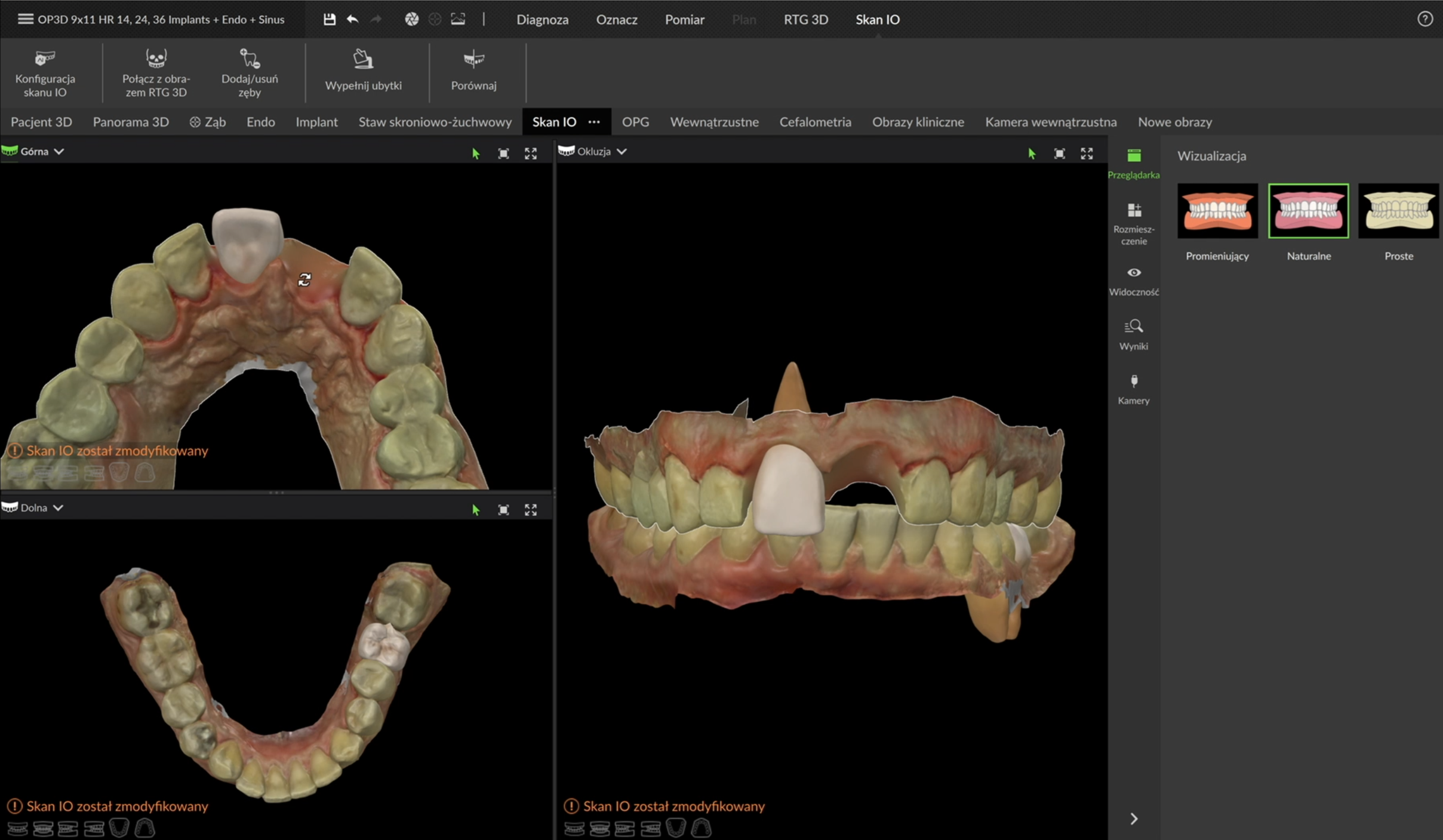
Używany w połączeniu z OP 3D EX, skaner wewnątrzustny odgrywa równie ważną rolę w gabinetach pragnących poszerzyć swoje usługi. Skanery wewnątrzustne DEXIS są wyposażone w oprogramowanie DEXIS IS ScanFlow, które upraszcza i usprawnia wykorzystanie skanów do komunikacji z pacjentem. W najnowszej wersji IS ScanFlow wprowadzono funkcję Oral Compare, która pomaga lekarzom i pacjentom wizualizować zmiany w uzębieniu zachodzące na przestrzeni czasu.
Gabinety, które chcą poszerzyć swoją ofertę, oprócz większej pewności diagnostycznej i zaufania pacjentów, muszą mieć także pewność co do wykonywanych zabiegów i przewidywalności wyników.
Najnowsza wersja oprogramowania DTX Studio Clinic gwarantuje ją dzięki dodaniu intuicyjnej funkcji tworzenia szablonów chirurgicznych. DTX Studio Clinic umożliwia ich projektowanie bezpośrednio w oprogramowaniu w czasie krótszym niż trzy minuty. Ta łatwa w obsłudze funkcja umożliwia wygenerowanie, za pomocą zaledwie kilku kliknięć, wysokiej rozdzielczości szablonu, który można wydrukować w technologii 3D we własnym zakresie.
DTX Studio Clinic.
Dzięki DTX Studio Clinic i wbudowanej funkcji MagicAssist, która oparta jest na sztucznej inteligencji, możesz teraz wirtualnie usunąć ząb (lub wiele zębów) w przypadkach, w których zalecana jest ekstrakcja, i wygenerować fotorealistyczny wirtualny ząb 3D, aby wyjaśnić pacjentowi możliwe rozwiązanie terapeutyczne i zaangażować go w tworzenie planu leczenia. Tę samą wirtualną konfigurację zęba można następnie wykorzystać do planowania implantów z uwzględnieniem przyszłego leczenia protetycznego, w tym planowania i wizualizacji łączników.
Gabinety, które oferują pacjentom szerszy zakres usług i opieki stomatologicznej, w tym bardziej złożone procedury terapeutyczne, zyskują na swoim wizerunku, tworzą długotrwałe relacje z pacjentami i przyciągają nowych klientów.
Firma DEXIS jest gotowa wspierać Twój gabinet w ciągłym rozwoju, oferując rozwiązania, które dadzą Ci nie tylko poczucie trafności diagnostyki, skuteczności procedur i przewidywalnych wyników, ale także utwierdzą Twoich pacjenów w przekonaniu, że Twój gabinet i zespół są godne zaufania.
Dowiedz się więcej o najnowszych premierach DEXIS na dexis.com/pl-pl.
Sztuka tworzenia uśmiechu to takie samo wyzwanie dla dentysty, jak genialny obraz, czy rzeźba dla artysty, nic więc dziwnego, że na miejsce tegorocznego...
Proaktywne podejście do stomatologii zachowawczej odgrywa kluczową rolę w uzyskaniu poprawy wyników leczenia i zadowolenia pacjentów. Zapobiegawcze ...
O strategiach finansowych, celach działania i biznesowych wizjach w klinice stomatologicznej rozmawiamy z Tomaszem Nałęczem, ekspertem ds. finansów ...
Edukacja
Webinarium na żywo pią. 16 stycznia 2026 6:00 (CET) Warsaw
Dr John Viviano, lekarz dentysta i dyplomowany specjalista Amerykańskiej Rady Stomatologicznej Medycyny Snu (ang. American Board of Dental Sleep Medicine ...
To post a reply please login or register