Leczenie implantoprotetyczne niejednokrotnie bywa ograniczone z powodu obecności defektów kostnych różnego pochodzenia. W niniejszej pracy przedstawiono nowy protokół przedprotetycznego postępowania terapeutycznego w przypadku zaawansowanych defektów kości szczęk z wykorzystaniem autologicznych, hodowanych in vitro preosteoblastów oraz zilustrowano metody wczesnego planowania implantologicznego.
Wysoka popularność i szeroka dostępność implantów zębowych wpływa na wzrost świadomości pacjentów w zakresie metod leczenia protetycznego. Pacjenci coraz częściej nie decydują się na leczenie obejmujące szlifowanie zdrowych zębów otaczających braki międzyzębowe, lecz oczekują zastąpienia utraconego uzębienia implantami stomatologicznymi. Nie zawsze jest to jednak wykonalne z powodu ilościowo-jakościowych niedoborów tkanki kostnej. Zanik starczy, zmiany patologiczne, wady wrodzone, urazy i schorzenia ogólnoustrojowe przyczyniają się do powstawania różnych defektów kostnych, często znacznie ograniczających możliwości leczenia implantologicznego. Z tych powodów metody regeneracji tkanki kostnej stały się elementarnym przedmiotem badań współczesnej implantologii, a rekonstrukcja wyrostka zębodołowego z wykorzystaniem sterowanej regeneracji tkanek, przeszczepów kości, czy też inżynierii tkankowej stanowi integralny element kompleksowego przygotowania przedprotetycznego.
Przedprotetyczne postępowanie chirurgiczne i wczesne planowanie implantologiczne
W Zakładzie Chirurgii Stomatologicznej Warszawskiego Uniwersytetu Medycznego (WUM) wprowadzono autorski algorytm postępowania terapeutycznego w przypadku zaawansowanych defektów kości szczęk przed zaplanowanym leczeniem implantoprotetycznym. Nowy protokół obejmuje wykorzystanie autologicznych, hodowanych in vitro preosteoblastów umieszczanych następnie na nośniku allogenicznym (procedura stosowana jest wśród pacjentów ogólnie zdrowych, poddanych szeregom badań klinicznych: ogólne badanie lekarskie, EKG; radiologicznych: rtg klatki piersiowej oraz laboratoryjnych: morfologia z rozmazem, OB, CRP, przeciwciała anty HIV1/HIV2, anty HBc, anty HBc klasy IgM, test kiłowy WR, odczyny kiłowe).
W pierwszym etapie postępowania klinicznie oceniany jest stan jamy ustnej pod kątem potrzeb implantoprotetycznych i konieczności leczenia przedprotetycznego defektów kostnych. Następnie wykonywana jest projekcja CBCT (Gendex) i wizualizacja 3D (In Vivo Dental Anatomage) celem określenia rozmiarów defektu kostnego, doboru przeszczepu kostnego i zaplanowania leczenia chirurgicznego (Ryc. 1a-d).
W kolejnym etapie procedury pacjenci leczeni z powodu defektów kostnych kierowani są do pobrania szpiku, które odbywa się w Banku Komórek Macierzystych WUM na drodze trepanobiopsji aspiracyjnej z talerza kości biodrowej. Pobrany szpik zostaje przekazany w celu izolacji komórek macierzystych, indukcji ich wzrostu i ukierunkowania na linię komórek osteogennych – preosteoblastów (nr pozwolenia IMPOMED: AEZ/365/S-110/439/2012). Podczas przeprowadzanej w specjalnych warunkach hodowli in vitro komórek macierzystych, trwającej 4 tygodnie dochodzi do zwiększenia ich liczby, co prowadzi do uzyskania30-60 x 106 preosteoblastów (Ryc. 2)
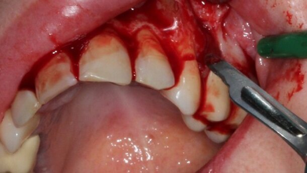
Bezpośrednio przed zabiegiem chirurgicznym preosteoblasty zostają umieszczane na nośniku allogenicznym ex tempore w strzykawce z ujemnym ciśnieniem, pozwalającym na zassanie komórek w głąb przeszczepu kostnego (Ryc. 3). Bloki kostne allogeniczne przygotowywane są w standardowy sposób (w Centralnym Banku Tkanek) oraz dobierane do kształtu i wielkości defektu kostnego, a także dodatkowo dopasowywane kształtem podczas zabiegu przy wykorzystaniu pił rotacyjnych i piezoelektrycznych (Ryc. 4). Tak złożony autoallogenny przeszczep sytuowany jest w miejscu defektu kostnego i stabilizowany za pomocą mikrośrub i/lub płytek tytanowych (Medartis), (Ryc. 5a-d). Nowy protokół oparty jest na założeniu, iż dzięki połączeniu przeszczepu allogenicznego mającego osteokondukcyjne i nieznacznie osteoindukcyjne właściwości z autogenną populacją preosteoblastów uzyska się przeszczep o unikalnych właściwościach pobudza¬jących regenerację kości.
Pacjenci objęci opisanym algorytmem leczenia rutynowo otrzymują osłonę antybiotykową i kontrolowani są w 1., 3. i 7. dobie po zabiegu. W większości przypadków stwierdza się bardzo dobre gojenie ran, widocznie przyspieszone w stosunku do podobnych zabiegów bez wykorzystania wszczepianych komórek czy czynników stymulujących gojenie się ran i regenerację tkanek. Usunięcie szwów następuje zazwyczaj po 7-10 dniach.
W dalszym etapie wykonywane są badania za pomocą tomografii komputerowej wiązki stożkowej CBCT. Obrazy radiologiczne wykazują przebudowę przeszczepów, ich inkorporację w łoże kostne oraz pojawienie się wczesnych ognisk minrealizacji na bazie istniejącego rusztowania. Należy sądzić, iż allogeniczne beleczki kostne stają się atrakcyjnym podłożem dla przeszczepionych, hodowanych in vitro preosteoblastów ze znacznym potencjałem osteogennym w istniejących niszach kostnych. Istotna wydaje się liczba przeszczepionych preosteoblastów, które prawdopodobnie zachowują się podobnie jak osteogenne komórki wyściołkowe (liningcells), dające początek osteogenezie (Ryc. 6).
Badanie CBCT pozwala nie tylko na ocenę status praesens, lecz przy wykorzystaniu współczesnych metod wizualizacji 3D (In Vivio Dental Anatomage) umożliwia wczesne zaplanowanie leczenia implantologicznego (Ryc. 7a-c).
embedImagecenter("Imagecenter_1_811",811, "large");
Wnioski
Algorytm przedprotetycznego leczenia defektów kości szczęk z wykorzystaniem przeszczepów allogenicznych zasiedlonych autologicznymi preosteoblastami hodowanymi in vitro wskutek natychmiastowej inicjacji osteogenezy odgrywa kluczową rolę w prawidłowej regeneracji zaawansowanych przypadków ubytków kostnych. Badanie CBCT umożliwia ocenę inkorporacji i przebudowy przeszczepu na każdym etapie leczenia oraz dokładne zaplanowanie leczenia implantologicznego, które ma fundamentalne znaczenie w kompleksowej protetycznej rehabilitacji pacjenta.
Źródła finansowania: 1S113/3F48R/2012, Projekt NCBiR, WUM 3F48S.
Autorzy:
Andrzej Wojtowicz, Jan Nikodem Perek, Monika Jodko
Zakład Chirurgii Stomatologicznej
Warszawski Uniwersytet Medyczny
ul. Nowogrodzka 59
02-006 Warszawa
Elżbieta Urbanowska
Katedra i Klinika Hematologii, Onkologii i Chorób Wewnętrznych, Bank Komórek Macierzystych
Warszawski Uniwersytet Medyczny
ul. Banacha 1
02-097 Warszawa.
Ewa Olender, Artur Kamiński
Zakład Transplantologii i Centralny Bank Tkanek
Warszawski Uniwersytet Medyczny
ul. Chałubińskiego 5
02-004 Warszawa
Leczenie implantoprotetyczne niejednokrotnie bywa ograniczone z powodu obecności defektów kostnych różnego pochodzenia. W niniejszej pracy ...
Prawidłowe trójwymiarowe pozycjonowanie implantu jest jednym z kluczowych czynników determinujących przewidywalne leczenie implantoprotetyczne. ...
Cyfryzacja może zbliżyć do siebie techników dentystycznych i stomatologów. Sposoby najlepszego wykorzystania tych nowych możliwości w zespole ...
KARACHI, Pakistan: Sztuczna inteligencja (AI) zmienia stomatologię, oferując m.in. narzędzia do wykrywania próchnicy, które robią to z ...
Celem niniejszego artykułu jest przedstawienie spektrum możliwości wykorzystania skanera wewnątrzustnego w stomatologii odtwórczej. W artykule ...
Celem niniejszego artykułu jest przedstawienie spektrum możliwości wykorzystania skanera wewnątrzustnego w stomatologii odtwórczej. W artykule ...
Implantologia jest obecnie ważną terapeutycznie strategią pozwalającą zastąpić brakujące uzębienie w celu osiągnięcia stabilnego estetycznie i ...
Technology Review informuje o dokonaniu naukowców z University of Illinois w USA, którzy stworzyli szwy chirurgiczne z czujnikami ...
Hipodoncja to zaburzenie dotyczące braku zawiązków zębów mlecznych lub stałych. Najczęściej dotyczy siekaczy bocznych górnych i ...
Hipodoncja to zaburzenie dotyczące braku zawiązków zębów mlecznych lub stałych. Najczęściej dotyczy siekaczy bocznych górnych i ...
Webinarium na żywo
wto. 5 maja 2026
4:00 (CET) Warsaw
Webinarium na żywo
wto. 5 maja 2026
6:00 (CET) Warsaw
Webinarium na żywo
wto. 5 maja 2026
7:00 (CET) Warsaw
Dr. Maximilian Dobbertin M.Sc
Webinarium na żywo
wto. 5 maja 2026
9:00 (CET) Warsaw
Webinarium na żywo
śro. 6 maja 2026
7:00 (CET) Warsaw
Webinarium na żywo
czw. 7 maja 2026
2:00 (CET) Warsaw
Ms. Ellen Karlin, Dr. Sara Karlin
Webinarium na żywo
czw. 7 maja 2026
5:00 (CET) Warsaw
To post a reply please login or register