Artykuł prezentuje przebieg leczenia protetycznego, polegającego na rehabilitacji okluzji z wykorzystaniem licówek ceramicznych. Proces leczenia rozpoczyna się od dokumentacji fotograficznej, która pozwala na stworzenie planu. Obejmuje on wykonanie licówek w obrębie zębów szczęki i żuchwy, z pokryciem powierzchni okluzyjnych oraz wargowych zębów. Potencjalny efekt leczenia został zaprezentowany pacjentce w formie wax-up i mock-up. Przeprowadzono preparację filarów oraz cementowanie licówek w obrębie szczęki na kolejnej wizycie.
Jednym z czynników warunkujących prawidłowe funkcjonowanie układu stomatognatycznego jest odpowiednie ukształtowanie powierzchni okluzyjnych. W miarę upływu życia, u człowieka dochodzi do powolnej ich degradacji. Proces ten może ulec znaczącemu przyśpieszeniu w przypadkach zaburzenia zgodności relacji centralnej i zwarcia nawykowego. Po pewnym czasie zazwyczaj dochodzi również do niekorzystnych zmian aktywności mięśni żucia oraz patologicznych zmian w stawach skroniowo-żuchwowych.1 W takiej sytuacji leczeniem jest protetyczna rehabilitacja powierzchni okluzyjnych w celu odtworzenia prawidłowych warunków zwarciowych pacjenta.2
Planując przebieg leczenia, należy zdawać sobie sprawę z możliwości uwzględnienia również estetycznych oczekiwań pacjentów, których spełnienie jest często jednym z powodów leczenia.3 Z punktu widzenia estetyki odbudowy protetycznej, do wyboru mamy materiały kompozytowe lub ceramikę. Ceramika posiada wiele zalet w porównaniu z kompozytami, spośród których za najważniejsze należy uznać długookresową stabilność fizykochemiczną materiału, idealną biokompatybilność,4 odporność na abrazję, doskonałe odtwarzanie optycznych właściwości tkanek twardych zębów5 oraz możliwość uzyskania silnej adhezji do szkliwa i zębiny za pośrednictwem cementu kompozytowego.6
W przypadku planowania i prowadzenia leczenia, którego celem jest odtworzenie prawidłowego układu zwarciowego oraz poprawa estetyki uzębienia pacjenta, za najlepszy wybór kliniczny należy uznać licówki ceramiczne jako umożliwiające zrealizowanie celów leczenia przy jednoczesnej oszczędności tkanek zębów w trakcie preparacji.7
Sytuacja wyjściowa
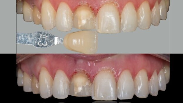
Po pierwszym spotkaniu z pacjentką uzyskaliśmy potrzebne informacje oraz fotografie, które pozwoliły dokonać analizy estetyczno- funkcjonalnej. Głównym powodem, dla którego pacjentka rozważała chęć spotkania się z nami było poprawienie estetyki zęba 11, który był w przeszłości wielokrotnie odbudowywany kompozytem ze względu na uraz i przebarwienia będące jego konsekwencją.
Już po wstępnej analizie dostrzegliśmy i naświetliliśmy inne niepokojące symptomy. Utrata funkcji kłów poprzez ich starcie, jak i zaburzona okluzja w odcinkach bocznych poprzez niewłaściwie wykonane odbudowy kompozytowe spowodowały utratę długości zębów przednich. Stwierdziliśmy również recesje dziąseł na kłach i bocznych siekaczach, co uwidaczniało się zaburzonym przebiegiem linii kieszonek dziąsłowych, głównie w odcinku przednim.
Kolejnym problemem był brak zgodności linii pośrodkowej zębów z linią symetrii anatomicznej twarzy. O ile korekta prostopadłości tej linii do linii źrenicznej wydawała się prosta, o tyle przesunięcie jej o 1,5 mm do uzyskania zgodności z anatomią nie było możliwe.
Pacjentka nie rozważała leczenia ortodontycznego, a po analizie zdjęć i symulacji woskowej odrzuciliśmy to rozwiązanie ze względu na zbyt duże ryzyko niepowodzenia estetycznego. Linia pośrodkowa górnych siekaczy została więc wyprostowana, ale kompromisowe przesunięcie było czysto kosmetyczne. Leczenie periodontologiczne z podobnych względów zostało ograniczone do minimum i wykonano jedynie podniesienie linii dziąsłowej nad siekaczami centralnymi (Ryc. 1-4).
Rejestracja
Podstawą do analizy estetycznej, okluzyjnej i czynnościowej jest zawsze rejestracja relacji szczękowo-czaszkowej za pomocą łuku twarzowego. Użyty tutaj łuk Artex firmy Amann&Girrbach cechuje się orientacją anatomiczną, co daje doskonały komfort pracy technikowi i lekarzowi. Oprawione modele są zawsze zgodne z płaszczyzną anatomiczną pacjenta i dzięki temu technik, patrząc na artykulator jako referencję do linii źrenicznej i stawów, posiada niemal pewność, że pracuje zgodnie z anatomią pacjenta. Przy rejestracji należy zwrócić uwagę na położenie łuku w płaszczyźnie równoległej do linii źrenicznej, o ile uznajemy ją za poprawną estetycznie w danym przypadku.
Drugim niezmiernie ważnym parametrem rejestracyjnym jest CR (RC), czyli położenie żuchwy zarejestrowane w stosunku do szczęki nieokluzyjnie, lecz stawowo. Podnosi to komfort użytkowania uzupełnienia przez pacjenta i zasadniczo waży nad bezpieczeństwem jego funkcjonowania.
U pacjentów prezentujących klasyczny model okluzyjny jako pomoc do tej rejestracji stosujemy zawsze deprogramator „sliding guide” A&G. W wielu przypadkach poprzestajemy na tej rejestracji – po wcześniejszym, krótko- lub długoczasowym przetestowaniu okluzji na symulacji lub pracy tymczasowej. W przypadkach, kiedy nie możemy użyć tego instrumentu przechodzimy do deprogramacji długoczasowej połączonej zazwyczaj z tymczasową odbudową jako następnym krokiem. W omawianym przypadku nie stwierdziliśmy jednak takiej konieczności i po przetestowaniu symulacji w jamie ustnej przystąpiliśmy do wykonania pracy (Ryc. 5-8).
Analiza, przygotowanie laboratoryjne i wizualizacja (wax-up)
Po oprawieniu pracy w artykulator usunięto twarde rejestraty z pasywnego materiału Luxa-Bite, który minimalizuje ryzyko błędu montażowego. Sztyft przedni artykulatora został opuszczony, a modele zetknęły się na przedwczesnym kontakcie, który wypada na guzku przedsionkowym bliższym zęba 38. Wysokość ustalona na tym kontakcie posłużyła za punkt wyjścia do analizy płaszczyzn i została przyjęta za właściwą do wykonania symulacji. Podniesienie od pozycji okluzyjnej wynosiło ok. 1,5 mm i jednocześnie eliminowało poślizg doprzednio-boczny o drodze ok. 1 mm.
Analiza dynamiczna pokazała nieprawidłowe kontakty funkcjonalne. Przy ruchu laterotruzyjnym lewym stwierdzono niepożądany kontakt po stronie prawej na guzkach 14 i 45, przy ruchu latrotruzyjnym prawym również niewłaściwy kontakt po stronie lewej na guzkach 27 i 37. Zostało to skorygowane w laboratoryjnym planie pracy. Dla potrzeb estetycznych została również przeprowadzona podstawowa analiza estetyczna w zakresie proporcji zębów, przebiegu linii dziąsłowej oraz niedoboru tkanek miękkich. Dostarcza ona całemu zespołowi cenne informacje analityczne i pozwala na lepszą komunikację, również z pacjentem. Jest znakomitym wstępem do prawidłowego wykonania nawoskowania i wizualizacji (Ryc. 9-14).
Wizualizacja (mock-up)
Za pomocą klucza silikonowego, w odpowiedni sposób przygotowanego w laboratorium, założono na zęby pacjentki symulację z materiału Luxatemp o kolorze A1. Ten etap pracy był szczególnie ważny dla pacjentki, gdyż pozwolił ocenić projekt pod względem estetycznym. Jest to również właściwy moment do weryfikacji i wprowadzenia ewentualnych zmian. Pacjentka zaaprobowała projekt niemal w całości, prosząc jedynie o minimalne wyrównanie linii brzegów siecznych zębów przednich. Przetestowaliśmy tu również okluzję i funkcję (Ryc. 15-19).
Preparacja i wyciski
Preparacja zębów wymaga zawsze uwzględnienia planu leczenia oraz spodziewanego stanu filarów zębowych. Stan uzębienia pacjentki przed leczeniem był łatwy do oceny, co pozwoliło zaplanować poszerzenie zakresu preparacji w obrębie zębów z wypełnieniami kompozytowymi. Ogólny plan leczenia w postaci wax-up i mock-up w ustach pacjentki pokazał możliwość wykonania szlifowania w sposób oszczędzający tkanki, niemniej jednak zakładający preparację stopnia przy każdym filarze w sposób ułatwiający uzyskanie prawidłowego profilu przejścia licówki w ząb w okolicy przydziąsłowej.
Zabieg rozpoczęto od udokumentowania na zdjęciach koloru zębów przed rozpoczęciem preparacji. W trakcie wizyty zęby ulegają wysuszeniu i zmieniają nieco kolor, co może utrudnić jego późniejsze postrzeganie. Kolejnym ważnym etapem było przeprowadzenie rejestracji zwarcia przed rozpoczęciem preparacji. Dokonano tego za pomocą materiału LUXABITE (DMG), który wybrano ze względu na twardość i brak elastyczności powstałych rejestratów zwarciowych.
Aby w pełni wykorzystać mock-up jako pomoc przy szlifowaniu, wykonano go na zębach pacjentki z materiału LUXABITE (DMG), który ma niebieski kolor i znakomicie kontrastuje z tkankami zębów. Do wstępnego szlifowania wykorzystano wiertła dystansowe, które pozwoliły na wyznaczenie głębokości preparacji, zaplanowanej na 0,2 mm w obrębie szkliwa. Wyjątkiem był ząb 11, który wymagał głębszego szlifowania ze względu na przebarwienie filaru i odbudowy kompozytowe.
Po zaznaczeniu zasięgu preparacji w szkliwie mock-up został usunięty. Do opracowania stopnia przy każdym filarze wykorzystano wiertła o drobnym nasypie (czerwonym, a następnie żółtym) oraz dłuta szkliwne do ostatecznego „wygładzenia” preparacji. Szkliwo na filarach zostało wyrównane przy pomocy kamieni Arkansas oraz gruboziarnistych gumek z dodatkiem proszku diamentowego. W ten sposób uzyskano dużą gładkość filarów, co ma fundamentalne znaczenie przy pracy z licówkami ceramicznymi.
Po wstępnym szlifowaniu przeprowadzono korektę przebiegu linii dziąsłowej od strony wargowej przy zębach 11, 21, co wynikało z analizy estetycznej i kompromisowej decyzji dotyczącej wyrównania przebiegu linii dziąseł pry zębach przednich. Zmierzona głębokość kieszonek dziąsłowych wyniosła 2 mm, a analiza zdjęć rtg umożliwiła określenie odległości planowanego (!) przebiegu linii dziąsła od brzegu kostnego na 2,5 mm, co pozwoliło na zachowanie prawidłowej szerokości biologicznej tkanek. Przy zębach 11, 21 wycięto fragment dziąsła o szerokości 1 mm przy pomocy lasera diodowego EXPERTLASE (KaVo). Wycięcia dokonano przy pomocy włókna światłowodowego o średnicy 300 µm, co zapewniło wysoką precyzję zabiegu. Laser pracował z mocą 3 W w trybie pulsacyjnym, przy czym każdy impuls trwał 50 ms, a przerwa między impulsami 25 ms. Taki tryb pracy lasera warunkuje szybkie gojenie tkanek bez ryzyka dodatkowej recesji dziąsła. Decyzja o zabiegu na tkankach miękkich w trakcie wizyty związanej ze szlifowaniem zębów i pobieraniem wycisków może wydawać się kontrowersyjna, ale dzięki wykorzystaniu lasera diodowego EXPERTLASE ryzyko nieprawidłowego przebiegu linii dziąsła po zabiegu lub też powikłań w trakcie gojenia zostało zminimalizowane. Etap preparacji filarów został zakończony wygładzeniem ich przy pomocy gumki z nasypem diamentowym założonej na kątnicę zwalniającą.
Po zakończeniu preparacji dokonano jej kontroli przy pomocy pobranego wcześniej rejestratu zwarciowego. Był on wykonany z materiału kompozytowego, co pozwoliło na uzupełnienie tam, gdzie preparacji objęła powierzchnie kontaktujące z zębami dolnymi.
Po preparacji nie należy zapominać o ponownej dokumentacji kolorystyki filarów za pomocą zdjęć z przyłożonym kolornikiem VITA CLASSIC. W przypadku licówek kolor filaru może mieć wpływ na ostateczny wygląd pracy protetycznej w znacznym stopniu. Dokumentacja taka jest szczególnie istotna, jeśli sąsiednie zęby różnią się od siebie kolorem (lub zakresem preparacji). Takie dane muszą być uwzględnione przy wykonywaniu licówek.
Zabieg retrakcji dziąseł warunkuje dobre odwzorowanie tkanek na wycisku. Przeprowadzany w sposób klasyczny, z wykorzystaniem nitek retrakcyjnych, często okazuje się najbardziej żmudnym i uciążliwym dla pacjenta etapem całej wizyty. Zastosowanie podwójnych nitek retrakcyjnych może też skończyć się stanem zapalnym dziąsła brzeżnego, co źle wpływa na dokładność cementowania licówek na kolejnej wizycie. Z tych względów u pacjentki przeprowadzono retrakcje przy pomocy lasera diodowego. Końcówka z włókna szklanego została wprowadzona do kieszonki dziąsłowej przy każdym filarze na głębokość ok. 1 mm a następnie przesunięto nią wzdłuż stopnia preparacji w kontakcie z dziąsłem. Odpowiednie parametry pracy lasera powodują, iż jego promień ma działanie wysuszające i obkurczające dziąsło, co powoduje odsunięcie tkanek miękkich od filara zębowego i poprawia dostęp masy wyciskowej do kieszonki dziąsłowej. Zabieg retrakcji laserowej trwa zdecydowanie krócej niż zabieg przeprowadzony metodą tradycyjna, nie jest również obciążający dla tkanek miękkich. Wobec tych zalet zastosowanie go u pacjentki było oczywistością.
Wycisk wykonano za pomocą silikonowych mas wyciskowych Honigum Mono i Honigum Light (DMG). W pierwszym etapie, na łyżce wyciskowej przygotowano swoisty „stoper” z masy silikonowej o konsystencji putty jako podparcie na podniebieniu. Taki element stabilizuje łyżkę przy wyciskach masami o obniżonej gęstości oraz zapobiega zaciągnięciom masy wyciskowej na podniebiennych ścianach koron zębów. Po przygotowaniu łyżki wykonano wycisk, a następnie powtórzono go drugi raz, aby pracownia protetyczna mogła dysponować dwoma oddzielnymi modelami roboczymi.
Ostatnim etapem wizyty było wykonanie odbudowy tymczasowej na bazie mock-up w ustach pacjentki. Przy wykonywaniu tymczasowych licówek należy zwrócić baczną uwagę na dostosowanie krawędzi dodziąsłowych. Powinny one być gładkie, nie mogą również wchodzić w kontakt z dziąsłem. Baczną uwagę trzeba zwrócić zwłaszcza na okolicę brodawek międzyzębowych. Niedokładnie wykonany mock-up może spowodować stan zapalny dziąseł i ich krwawienie w czasie cementowania licówek, co może utrudnić przebieg tego procesu. Praca tymczasowa została zacementowania na cement TempBond Clear (Kerr), który jest przezroczysty i zmniejsza podrażnienie dziąseł uwalniając triklosan (Ryc. 20-33).
Praca laboratoryjna
Ze względu na przebarwienie oraz dużą ilość kompozytu, preparacja zęba 11 miała większy zakres niż pozostałych, a nakładanie ceramiki przebiegało wg odpowiednio zmodyfikowanego schematu. Pozostałe zęby były spreparowane w technice minimalnie inwazyjnej, a ząb 25 został zaopatrzony bezpreparacyjnym elementem okluzyjnym częściowym. Od kilku już lat wykorzystujemy w swoich pracach wyłącznie modele anatomiczne (ang. alveoral models), ponieważ dają one możliwość oceny przebiegu i kształtu tkanek miękkich, a także pomagają w ocenie profilu wyłaniania.
Przygotowane wcześniej zęby gipsowe są dublowane w silikonie z ogniotrwałej masy osłaniającej. Daje to również komfort pracy z pojedynczymi zębami na całym przebiegu preparacji. Użyta ceramika to materiał pochodzenia naturalnego „Art Oral Ceramic KM – Klaus Muterthies” firmy Reox. Zdjęcia pokazują niektóre fazy wykonania laboratoryjnego z zastosowaniem zróżnicowanego warstwowania. Dzięki bardzo szerokiej chromatyce i całej gamie mas translucentnych mieliśmy możliwość zbudowania ciepłego, naturalnego koloru. Ponieważ ceramika ta cechuje się idealną homogennością, dopracowanie powierzchni i jej ręczne polerowanie to czysta przyjemność, która nie sprawia problemu.
Przed usunięciem podporowej masy osłaniającej wykonano kontrolę funkcyjną polegającą na sprawdzeniu właściwych prowadzeń siecznych i laterotruzyjnych w stosunku do modelu dolnego zaopatrzonego w wax-up. Pracujemy z zamiarem odbudowy obu łuków zębowych, zatem kontrola do obecnego stanu zębów dolnych nie ma sensu.
Po wypiaskowaniu masy z wnętrza elementów, zostały one osadzone na modelu mistrzowskim w celu poddania kontroli ostatecznego pasywnego dopasowania oraz punktów stycznych. Spełnione zostały założenia estetyczne z początku naszej pracy, m.in. właściwe proporcje siekaczy, rozpiętość łuku oraz przebieg linii uśmiechu (Ryc. 34-48).
Cementowanie
Przygotowane w pracowni protetycznej licówki trafiły z powrotem do gabinetu. Cały proces laboratoryjny trwał 10 dni, w tym czasie doszło do wygojenia tkanki dziąsłowej po zabiegu laserowym i ustabilizowania się nowego, prawidłowego przebiegu linii dziąsła nad siekaczami centralnymi. Prawidłowo wykonana praca tymczasowa nie spowodowała żadnych podrażnień ze strony dziąsła brzeżnego, co pozwoliło na przeprowadzenie cementowania licówek.
Cementowanie adhezyjne licówek ceramicznych jest zabiegiem wymagającym ścisłego przestrzegania starannie opracowanej procedury, składającej się z wielu następujących po sobie czynności. Osiągnięcie maksymalnej siły adhezji jest możliwe tylko wówczas, jeśli każdy element procedury dla każdej licówki został przeprowadzony w taki sam, powtarzalny sposób.
Zabieg cementowania wymaga również dokładnego zaplanowania, w zależności od stanu filarów i stopnia ich preparacji. Im mniejsza preparacja filaru, tym trudniejsze może być stabilne osadzenie na nim licówki. Możliwy jest wtedy niewielki zakres ruchomości licówki (zwłaszcza w przypadku tzw. non-prep, czyli licówek osadzanych na zębach bez ich wcześniejszej preparacji), a jej stabilizacja następuje tylko poprzez kontakt punktów stycznych z innymi licówkami. Wówczas konieczne jest cementowanie kilku licówek naraz, aby były one prawidłowo osadzone. Dla porównania: najbardziej stabilnym położeniem na filarze charakteryzują się korony lub „półkorony”, w których przypadku przesunięcia są praktycznie niemożliwe. Po analizie modeli u pacjentki zaplanowano cementowanie w 3 etapach: jednoczesne przyklejenie licówek na zębach 13-23, a następnie na zębach 14-16, po czym w 3. etapie na zębach 24-26. Taka metodyka cementowania minimalizuje ryzyko nieprawidłowego ułożenia licówek na filarach, zapewniając też pewną oszczędność czasu i ograniczając dyskomfort pacjenta w czasie zabiegu. Przy zabiegu wykorzystano cement Vitique (DMG) wraz z całym zestawem preparatów adhezyjnych.
Zabieg rozpoczęto od znieczulenia pacjentki oraz usunięcia pracy tymczasowej. Następnie przymierzono każdą licówkę oddzielnie na filarze oraz wszystkie razem, aby sprawdzić położenie i „jakość” punktów stycznych. Ostateczne przymierzenie wszystkich licówek odbyło się z wykorzystaniem pasty try-in w kolorze B1. Dzięki temu uzyskano pewną stabilność ułożenia licówek na zębach, co pozwoliło zaprezentować potencjalny efekt cementowania pacjentce oraz przetestowano zakres zmiany kolorystyki licówek po wykorzystaniu cementu o odcieniu B1 (a więc stosunkowo jasnym).
Po uzyskaniu akceptacji pacjentki licówki zostały poddane procesom przygotowania do cementowania, tzn. kolejno:
_płukaniu w celu usunięcia pasty try-in,
_wytrawieniu kwasem fluorowodorowym 9%,
_trawieniu kwasem fosforowym 37%, aby usunąć resztki poprzedniego kwasu,
_aplikacji silanu z zestawu do cementowania i osuszeniu go gorącym powietrzem.
Silan nie zmienia fizycznie kształtu powierzchni licówki ani nie polimeryzuje pod wpływem światła, może być więc pozostawiony na licówce dowolną ilość czasu.
Kolejnym etapem było nałożenie koferdamu w odcinku przednim, aby osłonić filary przed dostępem wilgoci i rozpoczęcie właściwego procesu cementowania licówek na zębach 13-23. Następnie przeprowadzono kolejne czynności związane z cementowaniem: wytrawienie szkliwa przez 30 s kwasem fosforowym, aplikację systemu łączącego TECO (DMG) na filary, aplikację systemu łączącego na kolejne licówki, aplikację cementu na licówki i ułożenie licówek na zębach. Szczególnie dużo czasu poświęcono usuwaniu nadmiarów cementu wypływających spod licówki po jej ułożeniu na zębie. Wykonano to przy pomocy pędzelków, nitki dentystycznej, gazika oraz zgłębnika. Po wstępnym, 3-sekundowym naświetleniu, które ma zapewnić stabilizację licówki, cały proces usuwania nadmiarów cementu powtórzono. Dopiero potem naświetlono wszystkie 6 licówek. Całą procedurę powtórzono przy zębach przedtrzonowych i trzonowych w 2 kolejnych etapach. Jako izolację od wilgoci w jamie ustnej wykorzystano pojedyncze nakładki MiniDam (DMG), będące zredukowanym do minimum koferdamem nakładanym na pojedynczy ząb.
Po zakończonym zabiegu pozostało skontrolowanie sytuacji zwarciowej, która powstała w wyniku zacementowania licówek w obrębie szczęki oraz wykonanie mock-up’u w obrębie żuchwy. Całkowity plan leczenia obejmuje bowiem przebudowę zwarcia poprzez licówki w szczęce i żuchwie, a kształt powierzchni zwarciowych licówek w szczęce dostosowany jest do przyszłego kształtu tych powierzchni licówek w żuchwie, a nie ich aktualnego wyglądu. Wg podobnej zasady przeprowadzono testowanie prowadzenia siecznego przy ruchu protruzyjnym oraz prowadzeń „kłowych” przy ruchach laterotruzyjnych (Ryc. 49-63).
Podsumowanie
Leczenie protetyczne w obrębie zębów szczęki jest tylko pierwszym etapem kompleksowej rehabilitacji okluzyjnej pacjentki. Rozpatrując aspekt estetyczny, etap tej jest kluczowy dla postrzegania przez pacjentów ostatecznego efektu leczenia, jednak pod względem korekty okluzji kluczowe jest odpowiednie zaprojektowanie powierzchni zwarciowych w obrębie zębów żuchwy. Dopiero po ukończeniu tego etapu będzie można ocenić ostateczny wynik leczenia.
Istotnym elementem jest przygotowanie na zębach pacjentki długoczasowego mock-up na zębach żuchwy na czas pomiędzy 1. i 2. etapem lecenia. Dzięki temu adaptuje się ona do nowej wysokości zwarcia, a my mamy możliwość przetestowania skuteczności planu leczenia i wprowadzenia do niego ewentualnych korekt. Brak uwag ze strony pacjentki co do czynnościowego aspektu nowego układu okluzyjnego pozwala na szybkie przejście do kolejnego etapu leczenia w postaci wykonania licówek ceramicznych w obrębie zębów żuchwy (Ryc. 64-73).
embedImagecenter("Imagecenter_1_2419",2419, "large");
_Autorzy:
Dr n. med. Maciej Mikołajczyk
Studio Estetyki Dentystycznej „Naturalis”
Ul. Sienkiewicza 33 lok. 12, 90-114 Łódź
Tel.: 785 778 855
Bartosz Troczyński
Laboratorium Protetyczne „Natrodent”
Ul. Wierzbowa 46/48, 90-133 Łódź
Tel.: (42) 292 06 66
www.natrodent-laboratorium.pl
Piśmiennictwo:
1. Ikebe K, Matsuda K, Morii K, Furuya-Yoshinaka M, Nokubi T, Renner RP. Association of masticatory performance with age, posterior occlusal contacts, occlusal force, and salivary flow in older adults. Int J Prosthodont. 2006 Sep-Oct;19(5):475-81.
2. Sierpińska T, Kuc J, Gołębiewska M. Morphological and Functional Parameters in Patients with Tooth Wear before and after Treatment. Open Dent J. 2013 May 17;7:55-61.
3. Goyal MK, Goyal S, Hegde V, Balkrishana D, Narayana AI. Recreating an esthetically and functionally acceptable dentition: a multidisciplinary approach. Int J Periodontics Restorative Dent. 2013 Jul-Aug;33(4):527-32.
4. Forster A, Ungvári K, Györgyey Á, Kukovecz Á, Turzó K, Nagy K. Human epithelial tissue culture study on restorative materials. J Dent. 2014 Jan;42(1):7-14.
5. Shono NN, Al Nahedh HN. Contrast ratio and masking ability of three ceramic veneering materials. Oper Dent. 2012 Jul-Aug;37(4):406-16.
6. Tirlet G, Crescenzo H, Crescenzo D, Bazos P. Ceramic adhesive restorations and biomimetic dentistry: tissue preservation and adhesion. Int J Esthet Dent. 2014 Autumn;9(3):354-69.
7. Sasse M, Krummel A, Klosa K, Kern M. Influence of restoration thickness and dental bonding surface on the fracture resistance of full-coverage occlusal veneers made from lithium disilicate ceramic. Dent Mater. 2015 Aug;31(8):907-15.
Nowotwory jamy ustnej stanowią poważny odsetek wszystkich zachorowań na raka. Nowa terapia genowa może dać nadzieję na zwiększenie powodzenia ...
Celem niniejszego artykułu jest opis leczenia bezzębia całkowitego z użyciem mostów stałych opartych na implantach. Zaprezentowano opis ...
Celem niniejszego artykułu jest opis leczenia bezzębia całkowitego z użyciem mostów stałych opartych na implantach. Zaprezentowano opis ...
Stałe uzupełnienia pełnoceramiczne zostały zaakceptowane przez lekarzy i pacjentów jako pełnoprawna opcja terapeutyczna w leczeniu ...
U 50-letniej pacjentki stwierdzono brak uzębienia w odcinku przednim szczeki w strefie estetycznej przy istniejącej wadzie zgryzu kl. II wg Angle’a....
U 50-letniej pacjentki stwierdzono brak uzębienia w odcinku przednim szczeki w strefie estetycznej przy istniejącej wadzie zgryzu kl. II wg Angle’a....
W czasie tegorocznego kongresu „Europerio”, który odbył się w Wiedniu, firma Heraeus przeprowadziła sympozja dotyczące najnowszych ...
Autor prezentuje opis przypadku leczenia kompleksowego z planowaniem w centralnej relacji. Wykonano zabieg przeszczepienia pełnego bloku kostnego i ...
Autor prezentuje opis przypadku leczenia kompleksowego z planowaniem w centralnej relacji. Wykonano zabieg przeszczepienia pełnego bloku kostnego i ...
W prezentowanym przypadku opisano leczenie implantoprotetyczne 49-letniego, niepalącego mężczyzny. Życzeniem pacjenta było wykonanie pełnej ...
Webinarium na żywo
wto. 19 maja 2026
5:00 (CET) Warsaw
Webinarium na żywo
wto. 19 maja 2026
7:00 (CET) Warsaw
Prof. Dr. med. dent. Ivo Krejci
Webinarium na żywo
śro. 20 maja 2026
1:00 (CET) Warsaw
Dr. Graham Carmichael BDSc (Hons), DClinDent (Pros), FRACDS, Dr. Robert Gottlander DDS
Webinarium na żywo
śro. 20 maja 2026
3:00 (CET) Warsaw
Webinarium na żywo
śro. 20 maja 2026
5:00 (CET) Warsaw
Webinarium na żywo
śro. 20 maja 2026
7:00 (CET) Warsaw
Prof. Dr. med. dent. Tim Joda PhD, MSc, eMBA
Webinarium na żywo
czw. 21 maja 2026
6:00 (CET) Warsaw
Dr. Leonardo Muniz DDS, MSC
To post a reply please login or register