W przeszłości, nawet tej niezbyt odległej, pacjenci z głębokimi białymi zmianami na zębach musieli poddawać się zabiegom inwazyjnym w celu ich zamaskowania lub usunięcia. Każda odbudowa ma ograniczoną trwałość i zwykle po pewnym czasie wymaga wymiany. Dzięki nowoczesnym rozwiązaniom w dziedzinie materiałów, narzędzi i technologii, stosowanych w stomatologii można w sposób minimalnie inwazyjny wymieniać odbudowy i wypełnienia używane przez lata.
Poza łagodną fluorozą, przyczyną białych plam może być także demineralizacja, która znajduję się pod pozornie nietkniętą cienką warstwą szkliwa. Kwasy próchnicotwórcze rozpuszczają minerały szkliwa, co wpływa na współczynnik załamania światła i przyczynia się do powstawania nieestetycznych białych plam.
Często przyczyną jest długotrwałe leczenie ortodontyczne, jeśli pacjent nie utrzymuje prawidłowej higieny wokół zamków aparatu. Stan ten może być rozczarowujący dla pacjenta, który poświęcił wiele czasu na leczenie ortodontyczne i odkrywa, że efekt końcowy psują nieestetyczne białe plamy na wszystkich zębach.
W przypadku łagodnej fluorozy problem plam można często rozwiązać poprzez samo wybielanie zębów. Niestety, wskutek wprowadzonych niedawno regulacji prawnych, nie ma już możliwości wybielania zębów u pacjentów poniżej 18 r.ż. Zęby o „nienormalnym” wyglądzie mogą być dla dziecka źródłem problemów psychologicznych, takie dzieci często stają się bowiem obiektem szykan wśród rówieśników. Ważna jest możliwość zaoferowania dzieciom alternatywnego rozwiązania przed ukończeniem 18 r.ż. Opisana w niniejszym artykule technika jest doskonałą metodą leczenia tego typu zmian.
Firma DMG wprowadziła na rynek materiał Icon do minimalnie inwazyjnego leczenia, opracowany specjalnie do powstrzymywania postępów próchnicy początkowej i eliminowania tego typu białych plam. Można go stosować do leczenia zmian występujących zarówno w przestrzeniach międzyzębowych, jak i na powierzchniach przedsionkowych zębów. Icon DMG umożliwia usuwanie białych plam poprzez modyfikację właściwości optycznych zęba. Niedostateczna mineralizacja, spowodowana przez fluorozę lub wczesną próchnicę zmienia współczynnik załamania światła zdrowego szkliwa. Współczynnik załamania światła żywicy Icon jest zbliżony do zdrowego szkliwa. Z tego względu, po infiltracji tym materiałem, zmiany odzyskują stopień przezierności bardziej zbliżony do zdrowego szkliwa.
W przedstawionym przypadku opisany został sposób zastosowania materiału Icon w połączeniu z abrazją powietrzną i wypełnieniami kompozytowymi, wykonywanymi metodą bezpośrednią w przypadku głębokich białych zmian, w którym wcześniejsze leczenie z użyciem wypełnień kompozytowych zakończyło się niepowodzeniem.
Prezentacja przypadku
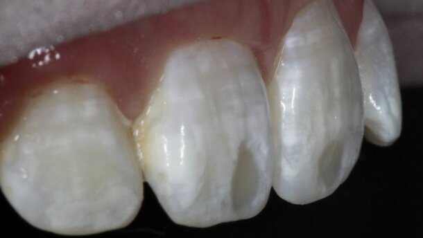
27-letnia pacjentka zgłosiła się do lekarza dentysty z powodu białych plam na górnych przednich zębach (Ryc. 1 i 2). Kilka lat wcześniej inny dentysta podjął próbę eliminacji najbardziej intensywnych zmian przez ich usunięcie wiertłem i wykonanie wypełnień kompozytowych. Wskutek użycia kompozytu o nieprawidłowym stopniu jasności, u pacjentki pojawiły się 2 ciemne plamy na siekaczach przyśrodkowych. Pacjentka próbowała wcześniej stosować domowe wybielanie zębów w celu wyrównania koloru pozostałych plam, jednak bez powodzenia. Całkowity zasięg białych plam i wypełnień kompozytowych można zobaczyć na rycinie 3 – zdjęciu wykonanym z kołowym filtrem polaryzacyjnym, który eliminuje odbijanie promieni świetlnych od powierzchni (www.emulation.gr).
Uwzględniano następujące możliwości leczenia:
_wybielanie zębów – pacjentka wypróbowała już tę metodę i nie była zadowolona z efektu,
_usunięcie starych wypełnień, infiltracja żywicą i wykonanie nowych wypełnień kompozytowych metodą bezpośrednią,
_estetyczne licówki z materiału kompozytowego (w celu uzyskania zadowalającego profilu wyłaniania konieczna byłaby preparacja zębów),
_licówki porcelanowe (w celu uzyskania zadowalającego profilu wyłaniania konieczna byłaby preparacja zębów).
Po rozmowie z pacjentką podjęto decyzję o rozpoczęciu leczenia od najmniej inwazyjnego, czyli infiltracji żywicą. W późniejszym czasie będzie możliwa decyzja o wykonaniu licówek (kompozytowych lub ceramicznych).
Sposób postępowania
Krok 1:
W celu uzyskania efektywnej penetracji żywicy Icon w głąb zęba, należy przed leczeniem usunąć stare wypełnienia. Efekt ten uzyskano, wykonując abrazję powietrzną z użyciem tlenku glinu o średnicy 50 mikronów, aby uniknąć usuwania nadmiernej ilości szkliwa, co byłoby prawdopodobne, gdyby stosowano wiertła. Głębokość uzyskanych ubytków można zobaczyć na rycinie 4.
Krok 2:
Stosowanie preparatu Icon wymaga użycia silnego kwasu i dlatego ważne jest odizolowanie tkanek miękkich od opracowywanego obszaru. Przeprowadzono izolację zębów od pierwszego zęba trzonowego do pierwszego zęba trzonowego szczęki za pomocą grubego koferdamu bezlateksowego (Unodent). Autor woli w tym celu stosować miękkie klamry firmy Kerr, ponieważ często pozwala to wyeliminować konieczność znieczulenia. Po retrakcji dziąseł wokół górnego prawego kła uwidocznione zostały złogi poddziąsłowego kamienia nazębnego, które usunięto przed leczeniem.
Krok 3:
Obszary objęte leczeniem, pokryto na 2 min wytrawiaczem Icon-Etch (Ryc. 5), który zawiera 15% kwas chlorowodorowy w postaci żelu. Po jego spłukaniu uzyskano typowy dla wytrawiania kwasem zmrożony wygląd (Ryc. 6). Proces wytrawiania i spłukiwania przeprowadza się dwukrotnie.
Krok 4:
Następnie po spłukaniu i osuszeniu zmian przeprowadzono ich całkowitą dehydratację przy pomocy załączonego roztworu etanolu Icon-Dry. Wartość współczynnika załamania światła preparatu Icon-Dry jest znacznie bliższa wartości dla zdrowego szkliwa niż dla powietrza i dlatego bezpośrednio po jego nałożeniu, kiedy jest jeszcze wilgotny, pozwala uzyskać „podgląd” efektu w obrębie białych plam w celu oceny, czy uzyskano dostateczną głębokość wytrawiania, pozwalającą na całkowite zamaskowanie białych plam.
Po 2 cyklach wytrawiania i płukania oraz aplikacji preparatu Icon-Dry białe plamy nadal były widoczne. Powtarzano proces wytrawiania, płukania i aplikacji preparatu Icon-Dry tak długo, aż białe plamy przestały być widoczne. Na rycinie 7 przedstawiono podgląd efektu po 3 kolejnych cyklach wytrawiania i płukania.
Krok 5:
Po uzyskaniu zadowalającego efektu podglądu, osuszono zęby w celu uzyskania „zmrożonego” wyglądu typowego dla wytrawiania, a następnie naniesiono na nie hydrofobową żywicę Icon, stosując końcówkę Vestibular-Tip (Ryc. 8). Żywicę pozostawiono do infiltracji na 3 min. Następnie usunięto nadmiary żywicy z powierzchni wargowych za pomocą wałeczka z ligniny i przeprowadzono wstępną polimeryzację, po czym przeprowadzono nić dentystyczną przez punkty styczne, aby nie doszło do sklejenia zębów ze sobą. Następnie polimeryzowano każdy ząb światłem przez 40 s. Proces aplikacji żywicy powtórzono. Należy pamiętać, że po aplikacji żywicy Icon nie jest możliwa dalsza redukcja białych plam.
Krok 6:
Efekt uzyskany po spolimeryzowaniu można zobaczyć na rycinie 9. Uzyskano znaczną redukcję białych plam, chociaż nadal pozostały ubytki szkliwa związane z wcześniejszymi wypełnieniami (Ryc. 10). Ubytki te wypełniono materiałem kompozytowym. Nie było potrzeby dodatkowego przygotowywania szkliwa, ponieważ żywica Icon pozwala na adhezję dzięki własnej warstwie inhibicji tlenowej. Wybrano materiał kompozytowy z mikrowypełniaczem B1 Renamel (Cosmedent), który naniesiono płaskim artystycznym pędzelkiem w celu uzyskania gładkiego przejścia do naturalnej tkanki zęba. Przed zdjęciem koferdamu przeprowadzono ostateczną polimeryzację wypełnień kompozytowych i żywicy Icon po ich pokryciu gliceryną w celu usunięcia efektu powierzchownej warstwy inhibicji tlenowej.
Krok 7:
Po spolimeryzowaniu materiału Icon powierzchnia zęba jest lekko chropowata i dlatego po zdjęciu koferdamu wypolerowano wszystkie zęby, na których stosowano Icon (podobnie jak wykonane metodą bezpośrednią wypełnienia kompozytowe) silikonowymi stożkami i szczoteczkami impregnowanymi proszkiem diamentowym.
Wyniki
Pacjentka zgłosiła się na wizytę kontrolną po 2 tygodniach. Na rycinach 11-14 widoczny jest doskonały efekt, w tym zmniejszenie białych plam na zębach, na zdjęciach z kołowym filtrem polaryzacyjnym, co wskazuje na pełen zakres redukcji białych plam (Ryc. 11).
Dzięki wprowadzeniu preparatu Icon lekarze dentyści uzyskali skuteczne rozwiązanie problemu białych plam, znacznie bardziej naturalne od wcześniej stosowanych agresywnych metod leczenia. Zabieg jest minimalnie inwazyjny, bezbolesny i może być przeprowadzony podczas jednej wizyty, dzięki czemu pacjenci preferują taką metodę postępowania i chętniej poddają się terapii.
embedImagecenter("Imagecenter_1_1816",1816, "large");
Icon, along with the rest of the DMG range, is distributed in the UK and Ireland by DMG Dental Products (UK) Ltd. For further information contact your local dealer or DMG Dental Products (UK) Ltd on 0044 1656 789401, fax: 0044 1656 360100, e-mail: info@dmg-dental.co.uk or visit www.dmg-dental.com.
Autor:
Richard Field ukończył Uniwersytet w Glasgow w 2011 r., jest samodzielnym pracownikiem naukowym w klinice Advance Dental Clinic w Chelmsford. Należy do British Academy of Cosmetic Dentistry i szczególnie interesuje się minimalnie inwazyjną stomatologią kosmetyczną, zwłaszcza krótkotrwałym leczeniem ortodontycznym i odbudową kompozytową zębów przednich. Z autorem można się skontaktować, pisząc na adres e-mail: Richardfield@me.com.
Mucocele to rodzaj obrzęku śluzówki spowodowanego przerwaniem przewodu gruczołu ślinowego i nagromadzeniem mucyny w otaczających tkankach ...
Celem niniejszej pracy jest przedstawienie na podstawie jednego przykładu możliwości leczenia implantologicznego bezzębia w szczęce i żuchwie z ...
Mucocele to rodzaj obrzęku śluzówki spowodowanego przerwaniem przewodu gruczołu ślinowego i nagromadzeniem mucyny w otaczających tkankach ...
Najczęściej występującym nowotworem warg jest rak płaskonabłonkowy kolczystokomórkowy, który może stanowić ok. 2,5% wszystkich ...
W artykule przedstawiono przypadek pacjentki, która przez wiele lat nie mogła rozpocząć leczenia z obawy przed licznymi zabiegami. Decydującym ...
W artykule przedstawiono przypadek pacjentki, która przez wiele lat nie mogła rozpocząć leczenia z obawy przed licznymi zabiegami. Decydującym ...
W niniejszej pracy przedstawiono przypadek 62-letniej pacjentki, u której zdiagnozowano przewlekłe wtórne zapalenie trzonu żuchwy. W ...
Od kilku lat możemy obserwować bardzo dynamiczny rozwój implantologii. Wraz z postępem technologicznym i nieustającymi badaniami otrzymujemy ...
Autorzy przedstawiają przypadek wyrośla kostnego szczęki zlokalizowanego w obrębie wyrostka zębodołowego. Zmiana znacznych rozmiarów została ...
Autorzy prezentują 2 przypadki wystąpienia torbieli korzeniowych u 27-letniego mężczyzny i 26-letniej kobiety. Powolny i rozprężający wzrost zmian ...
Webinarium na żywo
śro. 8 kwietnia 2026
7:00 (CET) Warsaw
Webinarium na żywo
czw. 9 kwietnia 2026
7:00 (CET) Warsaw
Webinarium na żywo
czw. 9 kwietnia 2026
8:00 (CET) Warsaw
Prof. Moritz Kebschull, Cat Edney
Webinarium na żywo
pią. 10 kwietnia 2026
4:00 (CET) Warsaw
Webinarium na żywo
pią. 10 kwietnia 2026
5:00 (CET) Warsaw
Dr. med. dent. Henrik-Christian Carl Hollay
Webinarium na żywo
pią. 10 kwietnia 2026
6:00 (CET) Warsaw
Prof. Dr. Ali Murat Kökat
Webinarium na żywo
pią. 10 kwietnia 2026
6:00 (CET) Warsaw
To post a reply please login or register