Search Dental Tribune

Artykuły

Filtr

Cyfrowe narzędzia w zarządzaniu nowoczesnym gabinetem i laboratorium

Piękne nowomodne słówko „digitalizacja” to po polsku po prostu „ucyfrowienie” i oznacza nic innego, jak gwałtowne wejście...

zapisz

Stan zębów a zdrowie zatok

Problemy z zębami mogą być przyczyną zapalenia zatok, ale niewyleczona choroba zatok może też powodować powikłania stomatologiczne, np. utratę ...

zapisz

Porównanie efektów laseroterapii ręcznej, ultradźwiękowej i Er:YAG w leczeniu chorób przyzębia

Likwidacja kamienia nazębnego i mikroflory bakteryjnej stanowi wypróbowaną metodę leczenia przewlekłej paradontozy. Dotąd wdrożono kilka ...

zapisz

Śniadanie podstawą osiągnięć w nauce i pracy

„Od regularnego spożywania śniadania w znacznym stopniu zależy nasze zdrowie, ale również to, jak radzimy sobie w nauce i pracy” ...

zapisz

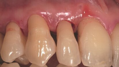
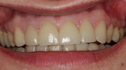
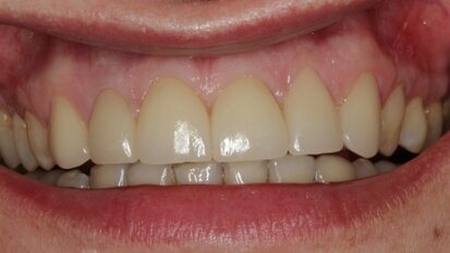
Implantacja natychmiastowa i kształtowanie estetyki różowo-białej – opis przypadku

Odcinek przedni szczęki jest szczególnie istotny nie tylko ze względów funkcjonalnych, ale również estetycznych. Utrata zęba w tym ...

zapisz

Implantacja natychmiastowa i kształtowanie estetyki różowo-białej – opis przypadku

Odcinek przedni szczęki jest szczególnie istotny nie tylko ze względów funkcjonalnych, ale również estetycznych. Utrata zęba w tym ...

zapisz
advertisement

Analiza miejscowych zmian rozrostowych u osób leczonych implantologicznie

Przeprowadzono przegląd literatury w celu określenia przebiegu klinicznego oraz metod leczenia zlokalizowanych zmian rozrostowych wokół ...

zapisz

Dorośli Polacy przekonują się do ortodoncji

Proste zęby rzadziej chorują, a ich posiadacze wolniej się starzeją. Z kolei nawet niewielkie wady zgryzu pogłębiające się przez lata są ...

zapisz

Innowacyjna technologia laserowa w stomatologii regeneracyjnej

Rok 2015 został nazwany rokiem światła, co wiąże się z uznaniem kluczowej roli światła w wielu dziedzinach naszego istnienia, szczególnie w ...

zapisz

5 mitów na temat leczenia implantologicznego

Pozwalają wypełnić lukę w uzębieniu i przywrócić zdrowy, a przede wszystkim piękny uśmiech – implanty dentystyczne to sposób na ...

zapisz

Kompleksowa rehabilitacja zwarcia z wykorzystaniem skanera wewnątrzustnego

Celem niniejszego artykułu jest przedstawienie spektrum możliwości wykorzystania skanera wewnątrzustnego w stomatologii odtwórczej. W artykule ...

zapisz

Kompleksowa rehabilitacja zwarcia z wykorzystaniem skanera wewnątrzustnego

Celem niniejszego artykułu jest przedstawienie spektrum możliwości wykorzystania skanera wewnątrzustnego w stomatologii odtwórczej. W artykule ...

zapisz
advertisement

Tomografia stożkowa – innowacyjny system obrazowania

Poczatki obrazowania radiologicznego za pomocą tomografii CBCT sięgają lat 90. XX w. W Polsce obrazowanie za pomocą tego typy tomografii funkcjonuje od ...

zapisz

Tomografia stożkowa – innowacyjny system obrazowania

Poczatki obrazowania radiologicznego za pomocą tomografii CBCT sięgają lat 90. XX w. W Polsce obrazowanie za pomocą tego typy tomografii funkcjonuje od ...

zapisz

Kłopotliwy aparat ortodontyczny

Odklejenie pierścieni, zamków, a także ból czy podrażnienia – wszystkiego nie da się przewidzieć. Choć zakładając aparat, ...

zapisz

Fotografia i planowanie uśmiechu – kurs dla lekarzy dentystów

Sympozjum i Kurs Master poświęcone fotografii w stomatologii i planowaniu uśmiechu odbędą się 12-13 czerwca br. w Krakowie. Kurs poprowadzi dr Javier ...

zapisz
advertisement

Finał I Ogólnopolskiej Olimpiady Studentów Higieny Stomatologicznej

18-19 kwietna br. w Toruniu odbył się finał I Ogólnopolskiej „Olimpiady wiedzy z higieny stomatologicznej i promocji zdrowia jamy ...

zapisz

III Meeting Ortognatyczny BSSO

W drugiej połowie września (19-20.09.2015 r.) w Warszawie odbędzie się III Forum BSSO. Ideą spotkania jest kontynuacja dialogu i stworzenie forum ...

zapisz

9. Kongres PSI/ICOI/DGOI

9. Międzynarodowy Kongres PSI/ICOI/DGOI, który odbędzie się w połowie czerwca (12-13.06.2015 r.) w Poznaniu to okazja, aby przedstawić i poznać...

zapisz

Algorytmy postępowania dla wykonywania indywidualnych rozwiązań protetycznych – cz. II: Suprastruktury przykręcane

W artykule przedstawiono zalety stosowania suprastruktur protetycznych przykręcanych, wykonywanych w technice CAD/CAM w stosunku do innych rozwiązań dla ...

zapisz
advertisement

Algorytmy postępowania dla wykonywania indywidualnych rozwiązań protetycznych – cz. II: Suprastruktury przykręcane

W artykule przedstawiono zalety stosowania suprastruktur protetycznych przykręcanych, wykonywanych w technice CAD/CAM w stosunku do innych rozwiązań dla ...

zapisz

Powikłania jatrogenne w chirurgii stomatologicznej – przegląd piśmiennictwa i opis przypadków

Autorzy przedstawiają 2 rzadkie przypadki powikłań jatrogennych powstałych podczas wykonywania standardowych zabiegów chirurgii jamy ustnej oraz ...

zapisz
advertisement

Powikłania jatrogenne w chirurgii stomatologicznej – przegląd piśmiennictwa i opis przypadków

Autorzy przedstawiają 2 rzadkie przypadki powikłań jatrogennych powstałych podczas wykonywania standardowych zabiegów chirurgii jamy ustnej oraz ...

zapisz

„Od osseointegracji do periointegracji” – XI Kongres OSIS

XI Kongres OSIS Sesja Chirurgii Szczękowo-Twarzowej PTCHJU odbędzie się na początku maja br. (8-9.05.2015 r.) w Jachrance niedaleko Warszawy. ...

zapisz

Podniesienie dna zatoki szczękowej z dostępu od strony podniebiennej jako metoda alternatywna

W ciągu 31 miesięcy autor wykonał 39 zabiegów podniesienia dna zatoki szczękowej od strony podniebienia twardego. Ponieważ opisywana metoda nie ...

zapisz

Podniesienie dna zatoki szczękowej z dostępu od strony podniebiennej jako metoda alternatywna

W ciągu 31 miesięcy autor wykonał 39 zabiegów podniesienia dna zatoki szczękowej od strony podniebienia twardego. Ponieważ opisywana metoda nie ...

zapisz
advertisement

Konferencja CAD/CAM

Firma „Amadar” zaprasza użytkowników systemu CEREC oraz wszystkich lekarzy dentystów zainteresowanych cyfrową protetyką na ...

zapisz

Laser diodowy – nowoczesne narzędzie w chirurgii tkanek miękkich jamy ustnej

Medycyna powszechnie korzysta z laserów już od lat 70. ubiegłego wieku. Zapewniane przez lasery unikalne warunki zabiegu i gojenia takie, jak: ...

zapisz

Laser diodowy – nowoczesne narzędzie w chirurgii tkanek miękkich jamy ustnej

Medycyna powszechnie korzysta z laserów już od lat 70. ubiegłego wieku. Zapewniane przez lasery unikalne warunki zabiegu i gojenia takie, jak: ...

zapisz

Światowy Kongres FDI 2016 odbędzie się w Polsce!

We wrześniu 2016 r. Poznań będzie miejscem dorocznego Światowego Kongresu Stomatologów FDI (Annual World Dental Congress) oraz Światowego ...

zapisz
advertisement