Search Dental Tribune

Artykuły

Filtr

Prestiżowa nagroda Wilhelm-Herbst-Award 2014 dla Denon Dental

Podczas tegorocznego międzynarodowego spotkania przedstawicieli firmy BEGO (BISS – BEGO International Sales Symposiums) polska firma Denon Dental ...

zapisz

Leczenie ortodontyczne i implantoprotetyczne u pacjentów z dysplazją ektodermalną

Dysplazja ektodermalna (dysplasia ectodermalis, ectodermal dysplasia, ED, defectus ectodermalis) jest wrodzonym zespołem zaburzeń rozwojowych tkanek ...

zapisz

Inauguracja Akademii Digital Smile Design (DSD)

„Obudźcie emocje, a dokładniej… obudźcie ciekawość pacjenta!” – tak właśnie rozpoczęła się inauguracja Akademii DSD czyli...

zapisz

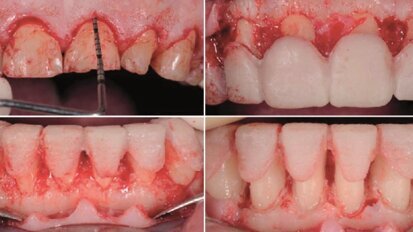
Czy recesja tkanki miękkiej wokół implantów wciąż jest nieunikniona?

Kiedy istnieją wskazania do leczenia implantami stomatologicznymi, konieczne jest postawienie odpowiedniej diagnozy w celu określenia parametrów ...

zapisz

Polityka senioralna nie tylko w Dniach Babci i Dziadka

Uśmiech, pozytywne myślenie, aktywność fizyczna, ale przede wszystkim profilaktyka! To podstawowe warunki zdrowego i godnego starzenia się. ...

zapisz

Kłopoty z zębami… na nartach

Zimowy wypoczynek może dać się we znaki zębom. Jeśli planujesz ferie w górach, uważaj na zespół dolegliwości bólowych o nazwie ...

zapisz
advertisement

Esencja piękna w Warszawie!

Wybitni prelegenci z Francji, Izraela i Polski, międzynarodowej sławy implantolodzy i periodontolodzy, liczni profesorowie, warsztaty z najnowszych ...

zapisz

Choroby dziąseł a cukrzyca

Zaledwie 1,7% Polaków ma całkowicie zdrowe dziąsła. Występowaniu chorób przyzębia sprzyjają czynniki ryzyka takie, jak: niewłaściwa ...

zapisz

Porównanie metod znieczulenia przewodowego nerwu zębodołowego dolnego – badania własne

W niniejszej pracy porównano skuteczność zniesienia doznań bólowych oraz czas uzyskania efektu analgezji u 19 pacjentów poddanych ...

zapisz

Praktycy dla praktyków – konferencja Akademii Chirurgii Jamy Ustnej

Jeszcze do końca tygodnia można zgłosić swój udział w konferencji Akademii Chirurgii Jamy Ustnej (Oral Surgery Academy), która odbędzie ...

zapisz

Biostymulacja laserem diodowym 635 nm w leczeniu nadwrażliwości

Nadwrażliwość zęba (ang. tooth hypersensitivity), a dokładniej nadwrażliwość zębiny (ang. dentine hypersensitivity) opisywana jest jako ostry ...

zapisz

Nici chirurgiczne – typy i zastosowanie w chirurgii jamy ustnej

Przy szerokiej dostępności różnych nici chirurgicznych trudno zdecydować, która będzie w danym przypadku najlepsza. Nici różnią ...

zapisz
advertisement

Leczenie implantoprotetyczne pojedynczych braków zębowych – opis przypadków

Ze względu na efektywność leczenia implantologia i implantoprotetyka stały się najnowocześniejszymi metodami leczenia braków zębowych, ...

zapisz

Korony teleskopowe nowej ery – część 2

Niniejszy artykuł opisuje przebieg i sposób przeprowadzenia pierwszych na świecie badań zastosowania koron teleskopowych zaprojektowanych i ...

zapisz

Palenie papierosów sprzyja utracie implantów

Nałogowi palacze narażeni są na możliwość wystąpienia szeregu dolegliwości związanych ze zdrowiem, w tym także zdrowiem jamy ustnej. Papierosy są...

zapisz

Implanty z łódzkiej pracowni z certyfikatem wolnej sprzedaży

Implanty umożliwiające odtworzenie fragmentów oczodołu lub czaszki, które powstają w Pracowni Indywidualnych Implantów Medycznych w...

zapisz
advertisement

Złożone leczenie implantoprotetyczne bezzębia

Zastosowanie preparatów pochodzenia syntetycznego, odzwierzęcego oraz ludzkich posiada poważne ograniczenia w dużych ubytkach kostnych z powodu ...

zapisz

Augmentacja z wykorzystaniem indywidualnie frezowanego przeszczepu kości

Implantologia jest obecnie ważną terapeutycznie strategią pozwalającą zastąpić brakujące uzębienie w celu osiągnięcia stabilnego estetycznie i ...

zapisz

6 sposobów na próchnicę

Próchnica zyskała miano najczęściej występującej choroby przewlekłej świata. Cierpi na nią aż 80% ludzi na całym świecie. Do jej rozwoju ...

zapisz

Zastosowanie lasera Er:YAG w procedurach udrażniania kanałów korzeniowych

Od ponad roku używam laser LightWalker z dużym powodzeniem i satysfakcją swoją jako lekarza i zadowoleniem pacjentów, gdyż procedury leczenia ...

zapisz
advertisement

Zastosowanie lasera Er:YAG w procedurach udrażniania kanałów korzeniowych

Od ponad roku używam laser LightWalker z dużym powodzeniem i satysfakcją swoją jako lekarza i zadowoleniem pacjentów, gdyż procedury leczenia ...

zapisz

Nowy standard w implantologii – Curriculum dla higienistek i asystentek implantologicznych

Polskie Stowarzyszenie Implantologiczne informuje, że rozpoczęły się zajęcia pierwszej edycji Curriculum dla Higienistek Implantologicznych. ...

zapisz
advertisement

Nowa inicjatywa – nowe możliwości!

„Implant Masters Poland” to stowarzyszenie zrzeszające absolwentów studiów podyplomowych, którzy uzyskali tytuł Master of...

zapisz

Indywidualizowane łączniki protetyczne konstruowane techniką CAD/CAM

Tradycyjne podejście do kwestii kształtowania tkanki miękkiej w odbudowie opartej na implantach polega na wstępnym ukształtowaniu okołoimplantowej ...

zapisz

„Najnowsze Trendy w Stomatologii” Kołobrzeg 2015

Na początku lutego 2015 r. (6-8.02.2015 r.) Hotelu Aquarius SPA w Kołobrzegu odbędzie się konferencja naukowo-szkoleniowa z cyklu „Najnowsze ...

zapisz

Szkolenia implantologiczne w Kolumbii

Szkoleń z zakresu implantologii na rynku jest wiele. Oprócz zajęć teoretycznych, można wybrać ćwiczenia na różnych preparatach. ...

zapisz
advertisement

Szalona Krasula Polska 2015!

X Ogólnopolskie Spotkanie Miłośników Biomateriałów „Szalona Krasula Polska” odbędzie się 9-11 stycznia 2015 r. w ...

zapisz

Kompromisowe leczenie implantoprotetyczne w strefie estetycznej

U 50-letniej pacjentki stwierdzono brak uzębienia w odcinku przednim szczeki w strefie estetycznej przy istniejącej wadzie zgryzu kl. II wg Angle’a....

zapisz

Kompromisowe leczenie implantoprotetyczne w strefie estetycznej

U 50-letniej pacjentki stwierdzono brak uzębienia w odcinku przednim szczeki w strefie estetycznej przy istniejącej wadzie zgryzu kl. II wg Angle’a....

zapisz

Kawa, herbata i chmiel – dla zdrowych zębów!

Wiele składników codziennego pożywienia nie sprzyja zdrowiu zębów. Istnieją jednak takie, które mogą pomóc w walce z ...

zapisz
advertisement
advertisement