Search Dental Tribune

Artykuły

Filtr

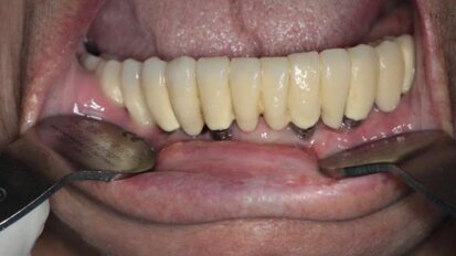
Łączniki indywidualne w odcinku bocznym

Implanty stomatologiczne od wielu lat sprawdzają się jako podparcie dla koron i mostów. Na podstawie aktualnych prac przeglądowych (Jung i wsp. ...

zapisz

Łączniki indywidualne w odcinku bocznym

Implanty stomatologiczne od wielu lat sprawdzają się jako podparcie dla koron i mostów. Na podstawie aktualnych prac przeglądowych (Jung i wsp. ...

zapisz

7. kwietnia – Światowy Dzień Zdrowia

Każdego roku, 7. kwietnia obchodzony jest Światowy Dzień Zdrowia. W tym roku stał się okazją do przypomnienia, jak ważne dla zdrowia i życia ...

zapisz

Zapobieganie głębokim chorobom przyzębia dzięki zastosowaniu lasera Er:YAG

Higiena przyzębia jest integralną częścią skutecznej terapii periodontologicznej (Axelsson & Lindhe, 1981). Jej celem jest ustabilizowanie ...

zapisz

Liderzy implantologii edukują Polaków

Stan uzębienia Polaków pozostawia wiele do życzenia. Jedynie 5,4% pacjentów w grupie wiekowej 35-44 lat może się pochwalić pełnym ...

zapisz

Czy recesja tkanki miękkiej wokół implantów wciąż jest nieunikniona? – część 2

W tej części artykułu autorzy skupili się na czynnikach chirurgicznych (np. na umiejscowieniu implantu w 3 wymiarach, zastosowaniu fibryny ...

zapisz
advertisement

Czy recesja tkanki miękkiej wokół implantów wciąż jest nieunikniona? – część 2

W tej części artykułu autorzy skupili się na czynnikach chirurgicznych (np. na umiejscowieniu implantu w 3 wymiarach, zastosowaniu fibryny ...

zapisz

Profesjonalne sposoby na nadwrażliwość zębów

Można regularnie myć zęby, nie mieć ubytków, a mimo wszystko odczuwać ból zębów wynikający z ich reakcji na ciepło, zimno, ...

zapisz

Bruksizm – przyczyny, objawy, leczenie

Schorzenie to najsilniej daje o sobie znać podczas snu – zgrzytasz zębami przez sen i regularnie je ścierasz. Nieleczony bruksizm jest groźny nie ...

zapisz

Funkcjonalna odbudowa estetyczna w odcinku bocznym – opis przypadku

Pacjentka (ogólnie zdrowa) została skierowana na zabieg wyrównania warunków okluzyjnych. W wyniku przeprowadzonego badania ...

zapisz

Dzieci w Europie nie umieją myć zębów

Wyniki paneuropejskiego badania zrealizowanego w Europie w ramach akcji Colgate’s Healthy Mouth Mission 2015 na próbie 7 500 rodziców ...

zapisz

2. Europejski Kongres 3D

Firma Sirona zaprasza do udziału w 2. Europejskim Kongresie 3D, który odbędzie się w połowie maja br. (14-16.05.2015 r.) w Tallinie, w Estonii.

zapisz
advertisement

Rekordowe targi KRAKDENT 2015

To była bez wątpienia najlepsza edycja Międzynarodowych Targów Stomatologicznych KRADENT® w historii. Jedno z najważniejszych wydarzeń w ...

zapisz

Leczenie implantologiczne znacznego zaniku części zębodołowej żuchwy

Autorzy prezentują przypadek rekonstrukcji bezzębia żuchwy z wykorzystaniem systemu implantologicznego Mozograu u 60-letniej pacjentki. Wprowadzone ...

zapisz

Leczenie implantologiczne znacznego zaniku części zębodołowej żuchwy

Autorzy prezentują przypadek rekonstrukcji bezzębia żuchwy z wykorzystaniem systemu implantologicznego Mozograu u 60-letniej pacjentki. Wprowadzone ...

zapisz

24 marca – Światowy Dzień Gruźlicy

Gruźlica płuc, zwana niegdyś „suchotami” lub „chorobą piersiową” przez wieki zabijała miliony ludzi na całym świecie. Dziś,...

zapisz
advertisement

Ceramco3Shape Meeting

Firma Denon Dental wraz z partnerami – firmami: 3Shape i Dentsply zaprasza do udziału w Ceramco3Shape Meeting, który odbędzie się 29-30 maja...

zapisz

20. marca – Światowy Dzień Zdrowia Jamy Ustnej

 Obchody Światowego Dzień Zdrowia Jamy Ustnej (WOHD) zapoczątkowane zostały w 2008 r. przez Światową Federację Stomatologiczną (FDI). Każdego ...

zapisz

Czas na KRAKDENT 2015!

Już w czwartek 19. marca rozpocznie się wyjątkowa edycja Międzynarodowych Targów Stomatologicznych KRAKDENT. Impreza po raz pierwszy odbędzie ...

zapisz

Miesiąca Zdrowia Jamy Ustnej

Miesiąc Zdrowia Jamy Ustnej to inicjatywa marki Colgate mająca na celu edukację społeczeństwa w zakresie higieny jamy ustnej oraz profilaktyki i ...

zapisz
advertisement

Ocena przetrwania wszczepów u pacjentów poddanych radioterapii

Rehabilitacja protetyczna pacjentów po operacjach nowotworów w obrębie twarzoczaszki jest skomplikowana. Leczenie chirurgiczne prowadzi do ...

zapisz

Interdyscyplinarna konferencja laryngologiczno-stomatologiczna

Warszawskie Centrum Medyczne MML zaprasza lekarzy i lekarzy dentystów do udziału w interdyscyplinarnej konferencji laryngologiczno-stomatologicznej ...

zapisz
advertisement

Jubileuszowy koncert FM Dental!

Legendarni muzycy, rock and rollowy klimat, wyśmienita kuchnia i doborowe towarzystwo. To wszystko i jeszcze więcej na imprezie "20 lat z Wami" ...

zapisz

Konferencja „Dental Team Project 2015” na targach KRAKDENT

Firma Holtrade zaprasza lekarzy dentystów i techników dentystycznych na konferencję „Dental Team 2015”, która odbędzie ...

zapisz

Sympozjum World Clinical Laser Institute podczas targów KRAKDENT 2015

World Clinical Laser Institute (WCLI) został założony w 2000 r. przez nieliczną grupę wiodących badaczy i lekarzy dentystów poszukujących ...

zapisz

Algorytmy postępowania dla wykonywania indywidualnych rozwiązań protetycznych – część 1

W artykule przedstawiono zalety stosowania łączników indywidulanych dla rozwiązań protetycznych na implantach oraz szczegółowo ...

zapisz
advertisement

Algorytmy postępowania dla wykonywania indywidualnych rozwiązań protetycznych – część 1

W artykule przedstawiono zalety stosowania łączników indywidulanych dla rozwiązań protetycznych na implantach oraz szczegółowo ...

zapisz

Leczenia stomatologiczne dzieci i młodzieży – wybrane aspekty medyczne i prawne

Okręgowa Izba Lekarska w Warszawie przy współpracy z Instytutem Blend-a-med Oral-B zorganizowała 28 lutego br. nieodpłatne szkolenie poświęcone...

zapisz

Nowości na KRAKDENT 2015!

Każdego roku Międzynarodowe Targi Stomatologiczne KRAKDENT® odwiedza kilkanaście tysięcy lekarzy dentystów. Oprócz chęci zdobycia ...

zapisz

DENTEXPO 2015!

W najbliższy weekend (17-18.04.2015 r.) w Pałacu Kultury i Nauki w Warszawie odbędą się Targi i Zjazd Szkoleniowy „Nowości Stomatologii ...

zapisz
advertisement
advertisement