Search Dental Tribune

Artykuły

Filtr

Planmeca wprowadza nową erę – stomatologia jednego dnia

System CAD/CAM Planmeca Chairside oferuje dentystom całkowicie zintegrowany, cyfrowy przebieg pracy w 3 prostych krokach – super szybkie ...

zapisz

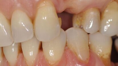
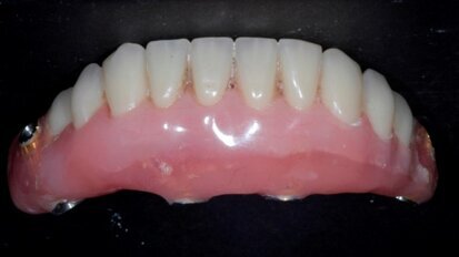
Leczenie implantoprotetyczne atroficznej żuchwy

Zaprezentowany przypadek pokazuje sposób wykonania stałego uzupełnienia protetycznego w sytuacji znacznego zaniku tkanki kostnej żuchwy. Użycie ...

zapisz

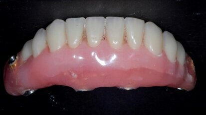
Leczenie implantoprotetyczne atroficznej żuchwy

Zaprezentowany przypadek pokazuje sposób wykonania stałego uzupełnienia protetycznego w sytuacji znacznego zaniku tkanki kostnej żuchwy. Użycie ...

zapisz

Job offer!

Dental Medical Representative ● Philips Consumer Lifestyle ● Poznań-Szczecin.  

zapisz

Podpyplomowy Program Periodontologiczno-Implantologiczny prof. Hurzelera

Autorski podyplomowy program Periodonologiczno-Implantologiczny prof. Markusa Huerzelera, na co dzień prowadzony w prywatnym Centrum w Monachium, od ponad ...

zapisz

„Więcej niż technologia”!

18 października br. w hotelu Holiday Inn w podwarszawskim Józefowie odbędzie się kongres poświęcony nowoczesnym technologiom w stomatologii, ...

zapisz
advertisement

Szkolenia Art Oral – edycja jesienna

W grudniu 2013 r., z inicjatywy dr. med. dent. Zbigniewa Piankowskiego i Adriana Jebara, na rodzimym rynku szkoleń dla lekarzy dentystów na nowo ...

zapisz

Ochrona radiologiczna – szkolenia dla lekarzy dentystów

Ośrodek Doskonalenia Zawodowego i Lekarzy Dentystów Naczelnej Izby Lekarskiej oraz Komisja Stomatologiczna NIL zapraszają lekarzy dentystów ...

zapisz

Zastosowanie laserów w ubytkach kostnych w obrębie przyzębia

W ciągu ostatnich 10 lat dobrze udokumentowano wykorzystanie laserów w leczeniu periodontologicznym. Lasery mogą być wykorzystywane podczas ...

zapisz

Zastosowanie laserów w ubytkach kostnych w obrębie przyzębia

W ciągu ostatnich 10 lat dobrze udokumentowano wykorzystanie laserów w leczeniu periodontologicznym. Lasery mogą być wykorzystywane podczas ...

zapisz

Eksperci o jakości usług stomatologicznych

Stomatologia, jak mało która dziedzina ochrony zdrowia w Polsce, w 1989 r. została poddana szybkiej zmianie. dentyści nie strajkowali, ...

zapisz

Co niszczy szkliwo?

Choć jest mocne jak granit, może je zniszczyć zła dieta, stres i niewłaściwa higiena. Szkliwo zębów – najtwardsza tkanka w ludzkim ciele...

zapisz
advertisement

Klucz do terapeutycznego i ekonomicznego sukcesu

W ostatnich latach miał miejsce gwałtowny rozwój stomatologii laserowej. Obecnie zastosowanie urządzeń laserowych znacząco zwiększa ...

zapisz

Klucz do terapeutycznego i ekonomicznego sukcesu

W ostatnich latach miał miejsce gwałtowny rozwój stomatologii laserowej. Obecnie zastosowanie urządzeń laserowych znacząco zwiększa ...

zapisz

Przyjdź – dotknij – wypróbuj! Strefa Testów CEDE 2014

Po ubiegłorocznym sukcesie Strefie Testów organizatorzy Środkowoeuropejskiej Wystawy Produktów Stomatologicznych CEDE ponownie zapraszają ...

zapisz

3D dla każdego! Premiera tomografu 3D CS 8100

Podczas tegorocznych targów CEDE 2014 w Poznaniu lekarze dentyści będą mieli okazję poznać możliwości najnowszego tomografu Carestream Dental ...

zapisz
advertisement

CEDE 2014

Środkowoeuropejska Wystawa Produktów Stomatologicznych CEDE 2014 odbędzie się w dn. 11-13 września br. na terenie Międzynarodowych Targów...

zapisz

Krytyka lekarza w internecie – nie bez konsekwencji

Zagwarantowana konstytucyjnie wolność słowa pozwala każdemu na publiczne wyrażanie swojego zdania oraz poglądów. Opinie, także te negatywne, ...

zapisz

Lausanne Dental Implant Clinic poszukuje specjalistów

Jeden z największych i najnowocześniejszych w Europie prywatnych ośrodków stomatologii ogólnej i implantologii – Lausanne Dental ...

zapisz

Skanowanie z poziomu implantu – część 1

W artykule przedstawiono postępowanie kliniczne z użyciem skanera 3Shape Trios w rejestracji pola protetycznego z poziomu implantu, a także przybliżono ...

zapisz
advertisement

Cochrane Collaboration o technologii oscylacyjno-rotacyjnej szczoteczek elektrycznych

Niezależna organizacja non-profit Cochrane Collaboration po raz 3. z rzędu stwierdziła, że wyłącznie technologia oscylacyjno-rotacyjna powoduje ...

zapisz

Pomiar siły rozłączającej elementy retencyjne kotwiczące uzupełnienia protetyczne wsparte o implanty

Celem pracy było określenie siły potrzebnej do rozłączenia precyzyjnych elementów retencyjnych służących do mocowania protezy typu ...

zapisz
advertisement

Pomiar siły rozłączającej elementy retencyjne kotwiczące uzupełnienia protetyczne wsparte o implanty

Celem pracy było określenie siły potrzebnej do rozłączenia precyzyjnych elementów retencyjnych służących do mocowania protezy typu ...

zapisz

Barodontalgia może zepsuć wakacyjny wyjazd

Barodontalgia zawdzięcza swoją nazwę barowi, czyli jednostce miary ciśnienia. W latach 40. XX w. nazywana była aerodontalgią. W czasie II wojny ...

zapisz

Trwa akcja bezpłatnych przeglądów dentystycznych

Trwa ogólnopolska akcja bezpłatnych przeglądów dentystycznych Instytutu Blend-a-med Oral-B. Podjęta inicjatywa ma na celu promocję zdrowia...

zapisz

Estetyczna i funkcjonalna rehabilitacja

Celem niniejszego artykułu jest opis leczenia bezzębia całkowitego z użyciem mostów stałych opartych na implantach. Zaprezentowano opis ...

zapisz
advertisement

Estetyczna i funkcjonalna rehabilitacja

Celem niniejszego artykułu jest opis leczenia bezzębia całkowitego z użyciem mostów stałych opartych na implantach. Zaprezentowano opis ...

zapisz

Nowe biomateriały 4bone MIS

Garmed i MIS Poland wprowadzają na polski rynek nową linię bezpiecznych biomateriałów pochodzenia zwierzęcego, które rozszerzają zakres ...

zapisz

Pierwsza w Polsce porównywarka cen usług stomatologicznych

Ustawa o działalności leczniczej nakłada na lekarzy dentystów obowiązek uwidocznienia cennika wykonywanych świadczeń na „tablicy ...

zapisz

Cyfrowe projektowanie uśmiechu i zintegrowane planowanie leczenia estetycznego – część I

Digital Smile Desig (DSD) to praktyczne cyfrowe narządzie wspomagające stomatologiczne leczenie estetyczne. Przystępny protokół umożliwia ...

zapisz
advertisement