Rosnąca popularność rehabilitacji braków zębowych z wykorzystaniem wszczepów stomatologicznych może przynosić coraz większą liczbę powikłań. Mechaniczne uszkodzenia elementów implantów stanowią rzadkie, ale trudne w leczeniu komplikacje, które mogą prowadzić do niepowodzenia i konieczności usunięcia wszczepu. W artykule przedstawiono przypadek, u którego doszło do złamania łącznika i utrzymującej go śruby podczas wprowadzania implantu.
Rosnąca popularność rehabilitacji braków zębowych z wykorzystaniem wszczepów stomatologicznych, poza niewątpliwymi korzyściami dla pacjentów w postaci większej wygody użytkowania uzupełnień protetycznych wspartych na wszczepach śródkostnych, powoduje również powstawanie różnego typu powikłań związanych z tą metodą leczenia. Niepowodzenia i komplikacje występujące w czasie leczenia implantologicznego są związane nie tylko z procesami biologicznymi, takimi jak brak osteointegracji lub stan zapalny tkanek miękkich wokół wszczepu (periimplantitis), ale mogą również wynikać z mechanicznych uszkodzeń elementów implantu, do których dochodzi w czasie implantacji, ale także na etapie odbudowy protetycznej.
Wśród mechanicznych powikłań leczenia implantologicznego należy wymienić złamania części śródkostnej wszczepu, złamania śrub mocujących platformę protetyczną, złamania łączników oraz uszkodzenia superstruktury, takie jak złamania uzupełnień stałych czy śrub je mocujących. Powikłania związane z mechanicznym uszkodzeniem elementów wszczepu są rzadkim zjawiskiem dotyczącym 0,2-1,5% pacjentów w trakcie leczenia implantologicznego.1,2 W jednym z przeglądów systematycznych oceniającym 5-letnie obserwacje pojedynczych koron wspartych na wszczepach, autorzy jako najczęstsze powikłania wskazują ruchomość łącznika i poluzowanie śruby (12,7%), pęknięcia i złamania ceramiki licowej (4,5%) oraz złamania śrub i łączników (0,35%). Najrzadziej spotykanym zdarzeniem są złamania części śródkostnej implantu odpowiadające za 0,14% niepowodzeń.3 Zdecydowana większość opisywanych w literaturze złamań występuje na etapie postępowania protetycznego w czasie użytkowania wykonanych uzupełnień. Pierwszą oznaką problemów związanych z połączeniem jest zazwyczaj luzowanie się śruby i ruchomość łącznika.4,5 Nie stwierdzono istotnej różnicy w występowaniu powikłań technicznych pomiędzy uzupełnieniami stałymi wspartymi na implantach wykonywanymi w szczęce i żuchwie.1,7 Wg niektórych badań, częściej dochodzi do luzowania się połączeń uzupełnień w bocznych odcinkach łuków zębowych, szczególnie w przypadku pojedynczych koron.6 Wymienione komplikacje, a szczególnie złamania występują częściej u pacjentów poddawanych leczeniu z powodu braków częściowych.7
Do czynników mogących mieć wpływ na złamanie zalicza się: rodzaj interfejsu implant-łącznik, materiał i budowę śruby łącznika, wstępne obciążenie (preload) połączenia, średnicę implantu oraz występowanie niezbalansowanych sił okluzyjnych, dźwigni czy parafunkcji układu stomatognatycznego. Wszczepy śródkostne o połączeniu wewnętrznym – „internal hex” lub typu Morse taper są generalnie uważane za bezpieczniejsze ze względu na lepszy profil rozkładu naprężeń, jak również szeroki kontakt powierzchni implantu i łącznika przeciwdziałający mikroruchomości połączenia.8-11 Wzmocnienie i stabilizacja połączenia śrubowego przychodzą kosztem cieńszych ścian bocznych implantu w części przyszyjkowej, co może prowadzić do zwiększenia naprężeń w tej okolicy i skutkować zwiększonym ryzykiem brzeżnej resorpcji kości lub złamania wszczepu.9
Niektóre badania pokazują jednak, że siła połączenia elementów wszczepu w systemach o budowie zewnętrznej jest co najmniej taka sama, jak w systemach o połączeniu wewnętrznym, a same wszczepy są mniej podatne na komplikacje związane ze złamaniem śruby łącznika.12-14
Budowa śruby powinna minimalizować utratę przyłożonego momentu obrotowego na pokonanie sił tarcia. Sugerowana jest płaska budowa łba śruby, co zapewnia bardziej wyważone przenoszenie sił i zmniejsza ryzyko odkształcenia elementów podczas dokręcania.15 Materiałem z wyboru stosowanym do wykonania śrub mocujących łącznik powinien być stop tytanu klasy 5 ze względu na zwiększone parametry wytrzymałościowe w stosunku do tytanu klasy 1 i złota.15
Wstępne dokręcenie śruby z odpowiednim momentem obrotowym zapobiega otwieraniu się połączenia. Siła przyłożona podczas dokręcania powoduje sprężyste wydłużenie śruby i powstanie naprężeń nazywanych obciążeniem wstępnym (ang. preload). Śruba, próbując powrócić do pierwotnego kształtu, zaciska się na zwojach gwintu, a siła tego połączenia jest proporcjonalna do obciążenia wstępnego. Zbyt mały moment skręcający przyłożony do śruby skutkuje poślizgiem na powierzchniach gwintu. Zwiększanie momentu obrotowego używanego podczas dokręcania śruby powoduje wzmocnienie połączenia tylko w niewielkim zakresie, po przekroczeniu którego dochodzi do odkształcenia gwintu.16,17
Niezwykle istotnym czynnikiem jest również średnica wykorzystywanego implantu. Wytrzymałość elementów implantu poddawanych siłom skręcającym i ścinającym jest w ogólnym przypadku odwrotnie proporcjonalna do kwadratu średnicy przekroju. Stosując wąskie platformy, należy o tym pamiętać zarówno podczas procedur chirurgicznych, nie przekraczając dopuszczalnego momentu obrotowego, jak również na etapie protetycznym, starannie projektując uzupełnienia poddawane dużym siłom centrycznym i ekscentrycznym.
Cel pracy
W niniejszej pracy przedstawiono przypadek pęknięcia tymczasowego łącznika protetycznego w czasie zabiegu wprowadzenia implantu z poziomu łącznika.
Opis przypadku
Pacjent, 37-letni mężczyzna, został skierowany na konsultację chirurgiczną przez lekarza dentystę w celu ustalenia możliwości uzupełnienia istniejących braków zębowych w żuchwie z wykorzystaniem wszczepów stomatologicznych. Na podstawie zebranego wywiadu medycznego stwierdzono: pacjent ogólnie zdrowy, nie przyjmuje żadnych leków, neguje uczulenie na środki miejscowo znieczulające.
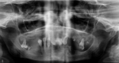
W badaniu przedmiotowym zewnątrzustnym nie stwierdzono zmian patologicznych. Wewnątrzustnie: braki zębów 26, 37, 35, 45, oraz brak zęba 14 uzupełniony koroną protetyczną wspartą na wszczepie. Szerokość części zębodołowej żuchwy w miejscu braku zęba 35 nie przekracza 5 mm, w miejscu braku zęba 37 – 6 mm. Na zdjęciu pantomograficznym zęby 16, 36 i 46 leczone endodontycznie. W okolicy wierzchołka korzenia zęba 46 ograniczone rozrzedzenie struktury kostnej mogące odpowiadać ziarniniakowi okołowierzchołkowemu. W miejscu planowanej implantacji, okolicy braku zębów 35, 37 prawidłowa struktura tkanki kostnej. Odległość od krawędzi części zębodołowej żuchwy do sklepienia kanału żuchwy w miejscu braku zęba 35 – 18,5 mm, 37 – 18 mm.
Na podstawie wyniku badania klinicznego i po analizie zdjęć radiologicznych zaproponowano pacjentowi kolejny etap leczenia implantoprotetycznego obejmującego wprowadzenie 2 implantów śródkostnych XiVE (Dentsply) w miejsce braku zębów 35 (implant Ø 3.0 dł. 13 mm) oraz 37 (implant Ø 3.4 dł. 11 mm).
W miejscu wprowadzenia implantów, w znieczuleniu przewodowym Septanest 4% 1:200 000 (Articaini hydrochloridum c. adrenalinum, Septodont) nacięto i odwarstwiono płat śluzówkowo okostnowy, uwidaczniając szczyt wyrostka. Przy użyciu klasycznej sekwencji wierteł opracowano łoże pod implanty. W miejscu braku zęba 37 wprowadzono maszynowo implant Ø 3.4 dł. 11 mm z siłą 45 Ncm. Odkręcono przy użyciu klucza łącznik, implant zamknięto śrubą zamykającą. Podczas wprowadzania implantu Ø 3.0 dł. 13 mm w miejscu braku zęba 35 w końcowej fazie wprowadzania implantu doszło do zerwania śruby mocującej oraz złamania łącznika TempBase mogącego również pełnić rolę tymczasowej platformy protetycznej. Do złamania doszło poniżej powierzchni nośnej implantu w czasie ręcznego wkręcania przy użyciu klucza dynamometrycznego. Po usunięciu koronowej części łącznika TempBase stwierdzono, że implant jest prawidłowo pogrążony w kości równo z krawędzią wyrostka, a zerwany fragment łącznika i śluby mocującej pozostaje zagłębiony w wewnętrznym gwincie wszczepu bez możliwości jego uchwycenia. Podjęto nieskuteczną próbę poluzowania złamanego fragmentu łącznika za pomocą końcówki ultradźwiękowej. Tkwiący wewnątrz implantu złamany fragment uniemożliwił dokręcenie śruby zamykającej. Pacjentowi przedstawiono możliwości dalszego leczenia obejmujące usunięcie całego implantu, lub – ze względu na dobre zakotwiczenie w kości – podjęcie próby usunięcia złamanej śruby w trybie odroczonym, na co pacjent wyraził zgodę. Ranę pozabiegową zeszyto, pozostawiając odsłoniętą powierzchnię wszczepu Ø3.0. Zalecono antybiotykoterapię: Augmentin 625 mg (1 tabl. co 12 godzin). Szwy usunięto po 7 dniach. Rana w trakcie prawidłowego gojenia. Powierzchnia nośna implantu niezabezpieczona śrubą zamykającą, niepokryta dziąsłem. Pacjent nie zgłaszał dolegliwości bólowych. Ustalono termin zabiegu usunięcia złamanych elementów łącznika.
W celu usunięcia odłamu zamówiono specjalny zestaw naprawczy dedykowany do systemu XiVE składający się z prowadnic dopasowanych do średnicy implantu, wierteł i gwintownika – XiVE RepairSet (Ryc. 1 i 2).
2 tygodnie od daty pierwszego zabiegu przeprowadzono próbę usunięcia złamanego fragmentu zgodnie z instrukcjami producenta (Ryc. 3):
_Wykorzystując prowadnicę F1, wprowadzono wiertło pilotowe (1000 obr./min) w celu stworzenia centralnego dołka na powierzchni odłamu, aby uniemożliwić ślizganie się kolejnych narzędzi.
_Wykorzystując prowadnicę F2, wykonano otwór w uszkodzonym fragmencie przeznaczonym do tego wiertłem (Twist drill, 2000 obr./min), (Ryc. 4).
_Z pomocą prowadnicy F3 umieszczono w wykonanym otworze gwintownik i ręczenie wykonywano naprzemiennie obroty o 1/4 zgodnie z ruchem wskazówek zegara (w celu zakleszczenia gwintu) oraz o 1/2 w przeciwnym (w celu wykręcenia fragmentu).
Wykorzystując zestaw naprawczy, z powodzeniem udało się odzyskać złamany fragment (Ryc. 5). Wnętrze implantu obficie przepłukano roztworem soli fizjologicznej i zamknięto śrubą do czasu ostatecznej osteointegracji. Zalecono wykonanie kontrolnego zdjęcia pantomograficznego (Ryc. 6). Przebieg pozabiegowy bez powikłań. Po 3 miesiącach pacjent zgłosił się w celu odsłonięcia i zaopatrzenia śrubami gojącymi wszczepionych implantów (Ryc. 7). Leczenie zostało zakończone wykonaniem i osadzeniem uzupełnień stałych w postaci koron metalowych licowanych porcelaną – przykręcanej w miejscu brakującego zęba 37 oraz cementowanej w miejscu 35 (Ryc. 8 i 9).
Dyskusja
Przedstawiony przypadek dobrze ilustruje jak bardzo frustrującym, zarówno dla pacjenta, jak i lekarza, choć rzadkim problemem są techniczne powikłania związane z leczeniem implantologicznym. Niekorzystne położenie linii złamania śruby i łącznika jest niebezpieczne, może się bowiem wiązać z koniecznością usunięcia implantu i niepowodzeniem całego leczenia. Postępowanie w podobnych przypadkach, na etapie leczenia protetycznego skupia się na podejściu zachowawczym w celu umożliwienia przywrócenia funkcji zintegrowanego wszczepu i uniknięcia konieczności modyfikacji lub ponownego wykonania uzupełnień. W opisywanych w literaturze przypadkach można znaleźć metody wykorzystujące:
_uchwycenie złamanego fragmentu za pomocą zmodyfikowanych kleszczyków naczyniowych lub kleszczyków do usuwania złamanych narzędzi endodontycznych,
_wykręcenie śruby z pomocą ultradźwięków,18-20
_wykonanie prowizorycznej prowadnicy dla wierteł z pomocą zmodyfikowanych transferów wyciskowych i wypiłowanie odłamu,21-23
_wykręcenie odłamu poprzez zwiększenie sił tarcia pomiędzy złamanym fragmentem dzięki użyciu diamentowej kulki na końcówce wolnoobrotowej24 lub fragmentu gumy koferdamu,25
_wykonanie podłużnego rowka dla śrubokrętu płaskiego na powierzchni odłamu,26
_opracowanie wewnętrznych gwintów i wykorzystanie wszczepu do wykonania metalowego wkładu koronowo korzeniowego,27,28
_wykorzystanie zestawu naprawczego.29
Na uwagę zasługuje metoda z wykorzystaniem końcówek ultradźwiękowych, obecnie powszechnie dostępnych w gabinetach stomatologicznych. Należy zaznaczyć, że każda metoda wykorzystująca wykonane ex-tempore prowizoryczne prowadnice lub wymagająca nawiercania śruby bez odpowiedniej stabilizacji położenia wiertła może prowadzić do uszkodzenia wewnętrznych gwintów implantu lub osłabienia jego struktury.
Niewątpliwie najbezpieczniejszą techniką jest wykorzystanie zestawu naprawczego, jak w opisanym przypadku. Trudności związane z takim postępowaniem wynikają z konieczności posiadania w gabinecie wspomnianych prowadnic i wierteł, które występują w różnych rozmiarach w zależności od średnicy wykorzystywanego implantu. Posiadanie szerokiego instrumentarium wykorzystywanego w leczeniu tak rzadkich powikłań nie jest uzasadnione ekonomicznie. Ważnym jest, aby firma zajmująca się dystrybucja danego systemu implantologicznego posiadała w swoim asortymencie zestawy naprawcze i mogła je udostępnić lekarzowi w krótkim czasie.
Biorąc pod uwagę korzyści i ryzyko związane z przedstawionymi rozwiązaniami, można zaproponować następujący schemat postępowania w przypadku złamania śruby łącznika w trakcie implantacji:
_Jeżeli do złamania doszło na początkowym etapie wprowadzania implantu, a zewnętrzne gwinty części śródkostnej pozostają obnażone i niepogrążone w kości należy usunąć cały implant poprzez wykręcenie z poziomu implantu i ewentualnie ponowić próbę wprowadzenia nowego wszczepu w istniejące łoże. Gdy nie można wykręcić wszczepu, należy go usunąć za pomocą trepanów wraz z otaczającą go kością.
_W przypadku, gdy implant jest prawidłowo umieszczony w kości na pełnej długości, można podjąć próbę poluzowania złamanego fragmentu za pomocą ultradźwięków. Gdy podejście takie jest nieskuteczne, a zestaw naprawczy jest niedostępny, ranę należy zabezpieczyć szwami z pozostawieniem odsłoniętej powierzchni nośnej i zabieg odroczyć o 2 tygodnie, aby tkanki miękkie uległy wstępnemu wygojeniu.
Odroczenie zabiegu znajduje swoje uzasadnienie w przebiegu procesu gojenia, w którym w początkowym etapie dochodzi do obniżenia stabilizacji wszczepu w kości. Takie podejście może ułatwić ewentualne usunięcie części śródkostnej w przypadku niepowodzenia postępowania naprawczego.
O czynnikach mogących mieć wpływ na ewentualne uszkodzenie elementów implantu należy pamiętać już na etapie planowania leczenia, szczególnie jeżeli wskazane jest zastosowanie wszczepów o małej średnicy, których wytrzymałość mechaniczna jest zmniejszona. W przypadku implantacji planowanej w podłożu o wysokiej przewadze istoty zbitej (klasy D1, D2 wg Mischa) spotykanym w żuchwie, na odpowiednie przygotowanie łoża dla implantu powinno składać się wstępne nagwintowanie warstwy korowej. W przypadku konieczności zastosowania większego momentu obrotowego niż zalecane 50 Ncm, podczas wprowadzania implantu z poziomu łącznika należy odkręcić tymczasowy łącznik i dokończyć zabieg, wprowadzając implant bezpośrednio poprzez wewnętrzną geometrię. Stosowanie się do zalecanych przez producentów procedur może ograniczyć występowanie takich powikłań do wad materiałowych powstałych na etapie produkcji.
Przedstawiony przypadek utwierdza również w przekonaniu, że stosowanie sprawdzonych systemów implantologicznych o bogatym wyposażeniu dodatkowym pozwala na uzyskanie dobrych rezultatów, kontrolę powikłań i jest wyznacznikiem dobrej praktyki implantologicznej.
embedImagecenter("Imagecenter_1_2577",2577, "large");
Autorzy:
Dr n. med. Wojciech Popowski – Zakład Chirurgii Stomatologicznej Warszawskiego Uniwersytetu Medycznego, Kierownik: prof. dr hab. Andrzej Wojtowicz.
Kontakt:
Warszawski Uniwersytet Medyczny
ul. Nowogrodzka 59, 02-006 Warszawa
e-mail: wojtekpop@op.pl
Łukasz Stojek – student, Warszawski Uniwersytet Medyczny
Kontakt:
e-mail: stojek.stl@gmail.com
Piśmiennictwo:
1. Goodacre CJ et al. Clinical complications of osseointegrated implants. J. Prosth. Dent. 1999; 81:537-552.
2. Lekholm U et al. Survival of the Brånemark Implant in Partially Edentulous Jaws: A 10-Year Prospective Multicenter Study. Int. J. Oral Maxillofac. Implants 1999; 14:639-645.
3. Jung RE et al. A systematic review of the 5-year survival and complication rates of implant-supported single crowns. Clin. Oral Impl. 2008; 19:119-130.
4. Gupta S et al. Technical complications of implant causes and management: A comprehensive review. Nat. J. Maxillofac. Surg. 2015; 6:3-8.
5. Sanchez-Perez A et al. Etiology, risk factors and management of implant fractures. Med. Oral Patol. Oral Cir. Bucal. 2010; 15:504-508.
6. Becker W et al. Replacement of maxillary and mandibular molars with single endosseous implant restorations: A retrospective study. J. Prosthet. Dent. 1995; 74:51‑55.
7. Eckert SE et al. Analysis of incidence and associated factors with fractured implants: A retrospective study. Int. J. Oral Maxillofac. Implants 2000; 15:662‑7.
8. Saidin S et al. Effects of different implant-abutment connections on micromotion and stress distribution: prediction of microgap formation. J. Dent. 2012; 40:467-74.
9. Maeda Y et al. In vitro differences of stress concentrations for internal and external hex implant‑abutment connections: A short communication. J. Oral Rehabil. 2006; 33:75‑8.
10. Khraisat A et al. Fatigue resistance of two implant/abutment joint designs. J Prosthet Dent 2002; 88:604‑10.
11. Steinebrunner L et al. Implant‑abutment interface design affects fatigue and fracture strength of implants. Clin Oral Implants Res 2008; 19:1276‑84.
12. Balfour A et al. Comparative study of antirotational single tooth abutments. J Prosthet Dent 1995; 73:36‑43.
13. Möllersten L et al. Comparison of strength and failure mode of seven implant systems: An in vitro test. J Prosthet Dent 1997; 78:582‑91.
14. Sung-Wook C et al. Complication incidence of two implant systems up to six years: a comparison between internal and external connection implants. J Periodontal Implant Sci 2015; 45:23-29.
15. Shetty M, et al. Implant abutment connection: Biomechanical Perspectives. NUJHS 2014; 4:47‑53.
16. McGlumphy EA et al. Implant screw mechanics. Dent Clin N Am. 1998; 42:71-89.
17. Winkler S et al. Implant screw mechanics and the settling effect: An overview. J. Oral Impl. 2003; 29:242-245.
18. Bhandari S et al. Ultrasonic Oscillations for Conservative Retrieval of a Rare Fracture of Implant Healing Abutment J Oral Implantol. 2013; 39:475-8.
19. Walia MS et al. Removal of fractured dental implant screw using a new technique: a case report. J Oral Implantol. 2012; 38:747-50.
20. Gooty JR et al. Noninvasive method for retrieval of broken dental implant abutment screw. Contemp Clin Dent. 2014 Apr-Jun; 5(2): 264-267.
21. Taira Y et al. A modified technique for removing a failed abutment screw from an implant with a custom guide tube. J Oral Implantol. 2012; 38:165-9.
22. Yoon JH et al. Safe Removal of a Broken Abutment Screw with Customized Drill Guide and Rotary Instrument: A Clinical Report. J Prosthodont. 2016; 25:170-3.
23. Carneiro Tde A et al. A conservative approach to retrieve a fractured abutment screw - Case report. J Prosthodont Res. 2016 Apr;60(2):138-42.
24. Pow EH et al. Prosthodontic complications in dental implant therapy. Hong Kong Dent J 2008; 5:79‑83.
25. Al Amri MD Management of a Fractured Multiunit Maxillary Implant-Supported Fixed Prosthesis with Stripped Abutment Screws Using a Hybrid Cement-Retained and Screw-Retained Design: A 5-Year Follow-Up Clinical Report. J Prosthodont. 2015.
26. Kurt M. A technique for removal of a fractured implant abutment screw. J Oral Implantol. 2013 Dec;39(6):723-5.
27. Canpolat C. Management of a fractured implant abutment screw: a clinical report. J Prosthodont. 2014; 23:402-5.
28. Gupta V. A new restorative technique for the perishing implant due to abutment screw fracture. J Oral Implantol. 2014 Dec;40(6):755-7.
29. Turkyilmaz I et al. Removal of a fractured locator abutment screw fragment., J Contemp Dent Pract. 2013; 14:968-72.
Sprzedaż gabinetu to ważny moment dla każdego właściciela kliniki, dlatego należy zrobić wszystko, aby uniknąć kosztownych pułapek w procesie ...
Leczenie rekonstrukcyjne braków uzębienia z wykorzystaniem tytanowych wszczepów ulegających osteointegracji staje się coraz powszechniejsze...
Leczenie rekonstrukcyjne braków uzębienia z wykorzystaniem tytanowych wszczepów ulegających osteointegracji staje się coraz powszechniejsze...
Brytyjskie Ministerstwo ds. Zdrowia podało pierwsze dawki szczepionki SARS-CoV-2 opracowanej przez Pfizer i BioNTech, a organy zdrowia publicznego na ...
Wg raportu opublikowanego przez Millennium Research Group z Toronto w Kanadzie, obecnie w Chinach powstaje coraz więcej nowych prywatnych gabinetów ...
GOTHENBURG, Szwecja: Mimo że odnotowano wysokie wskaźniki przeżycia implantów stomatologicznych, mogą wystąpić powikłania biologiczne lub techniczne...
Kilka dni temu poznaliśmy nowy skład Zarządu Głównego Polskiego Towarzystwa Stomatologicznego (PTS). O kierunkach rozwoju oraz realizacji zadań ...
Ponad 90% dzieci w Polsce ma próchnicę, a leczy ją niecałe 15%. Problemy z uzębieniem zaczynają się już na etapie zębów mlecznych. ...
Światowa Federacja Stomatologiczna przypomina członkom organizacji zrzeszonych w FDI o zbliżającym się Międzynarodowym Kongresie Francuskiego ...
Głównym powodem braku regularnych kontroli stanu zdrowia jamy ustnej może być niepokój wynikający z pierwszego doświadczenia związanego z wizytą w ...
Webinarium na żywo
śro. 17 grudnia 2025
12:00 (CET) Warsaw
Dr. Piet Haers Oral and Maxillofacial Surgeon
Webinarium na żywo
śro. 17 grudnia 2025
3:00 (CET) Warsaw
Prof. Hani Ounsi DDS PhD FICD, Dr. Amr Ghanem
Webinarium na żywo
śro. 17 grudnia 2025
10:00 (CET) Warsaw
Dr. Melissa Vettraino Bachstein DDS
Webinarium na żywo
czw. 18 grudnia 2025
5:00 (CET) Warsaw
Webinarium na żywo
pon. 22 grudnia 2025
7:00 (CET) Warsaw
Webinarium na żywo
śro. 14 stycznia 2026
6:00 (CET) Warsaw
Dr. Théo Laplane, Dr. Robert Gottlander DDS
Webinarium na żywo
pią. 16 stycznia 2026
6:00 (CET) Warsaw
To post a reply please login or register