Search Dental Tribune

Artykuły

Filtr

Leasing lepszy niż zakupy za gotówkę i na kredyt

Spośród wielu sposobów finansowania zakupu samochodów firmowych, największym powodzeniem wśród mikro-, małych i średnich ...

zapisz

4. Kongres Implantoprotetyczny BEGO Semados

W październiku br. w hotelu Sheraton w Warszawie odbyła się jedna z najciekawszych tegorocznych imprez implantologicznych – 4. edycja Kongresu ...

zapisz

80 lat Dental Depot Wasio!

Firma Dental Depot Wasio, wyłączy przedstawiciel systemu implantologicznego Biomet3i obchodzi w tym roku 80-lecie istnienia. Swoje urodziny firma ...

zapisz

Camlog Academy – forum dla praktyków

Pod koniec listopada (24.11.2012 r.) z inicjatywy FM Dental odbędzie się pierwsza edycja forum implantologicznego dla praktyków „Camlog ...

zapisz

Dentamed 2012

Targi Dentamed® to trzecia pod względem wielkości stomatologiczna impreza targowa w Polsce. W tym roku odbędzie się w dn. 9-10. listopada we ...

zapisz

„Endodoncja – Periodontologia – Protetyka – Implantologia”

W dniach 17-18. listopada br. w Warszawie odbędzie się już IX Kurs Warszawski pt.: „Endodoncja – Periodontologia – Protetyka ...

zapisz
advertisement

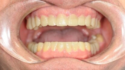
Implantoprotetyczne odtworzenie brakującego zęba 21 – opis przypadku

W niniejszej pracy opisano etapy wykonania rekonstrukcji implantoprotetycznej brakującego siekacza przyśrodkowego lewego u 23-letniego pacjenta z ...

zapisz

Implantoprotetyczne odtworzenie brakującego zęba 21 – opis przypadku

W niniejszej pracy opisano etapy wykonania rekonstrukcji implantoprotetycznej brakującego siekacza przyśrodkowego lewego u 23-letniego pacjenta z ...

zapisz

CWU – krok milowy dla polskiej ochrony zdrowia

Centralny Wykaz Ubezpieczonych (CWU), który ma funkcjonować od stycznia 2013 r. umożliwi lekarzom szybką weryfikację faktu ubezpieczenia pacjenta...

zapisz

Zdrowie zębów i jamy ustnej wpływa na jakość oddychania

Jakość oddychania ma wpływ na wszystkie dziedziny życia. Prawidłowe oddychanie i ilość tlenu, jaką dostarczamy do organizmu wpływa na sprawność ...

zapisz

Dentamed 2012

Targi Dentamed® to trzecia pod względem wielkości stomatologiczna impreza targowa w Polsce. W tym roku odbędzie się w dn. 9-10. listopada we ...

zapisz

Zaopatrzenie implantologiczne i natychmiastowa odbudowa tymczasowa bezzębnych wyrostków – prezentacja przypadku

Ekstrakcja z natychmiastową implantacją, odbudową i obciążeniem stała się atrakcyjnym rozwiązaniem, spełniającym niektóre z wyzwań ...

zapisz
advertisement

Zaopatrzenie implantologiczne i natychmiastowa odbudowa tymczasowa bezzębnych wyrostków – prezentacja przypadku

Ekstrakcja z natychmiastową implantacją, odbudową i obciążeniem stała się atrakcyjnym rozwiązaniem, spełniającym niektóre z wyzwań ...

zapisz

8. sympozjum CEIA – spotkanie z nowoczesną implantologią

W najbliższy weekend (26 i 27 października) w Teatrze im. J. Słowackiego w Krakowie odbędzie się Sympozjum Central European Implant Academy (CEIA) ...

zapisz

Mężczyźni w Polsce żyją znacznie krócej niż kobiety

Obecnie Polacy dożywają przeciętnie wieku, jaki mężczyźni ze „starej” UE osiągali 21 lat temu. Niedawny raport o zdrowiu mężczyzn w ...

zapisz

MZ chce zmian w kwestii dobrowolnych ubezpieczeń zdrowotnych

Na leczenie poza publiczną służbą zdrowia Polacy wydają obecnie ok. 30 mld zł rocznie – to prawie połowa kwoty, którą dysponuje ...

zapisz
advertisement

MZ chce zmian w kwestii dobrowolnych ubezpieczeń zdrowotnych

Na leczenie poza publiczną służbą zdrowia Polacy wydają obecnie ok. 30 mld zł rocznie – to prawie połowa kwoty, którą dysponuje ...

zapisz

Brytyjski ranking najpiękniejszych uśmiechów

Wiele wskazuje na to, że zapanowała moda na drobne niedoskonałości w uśmiechu. Brytyjczycy wybrali 5 najlepszych usmiechów: należą one do ...

zapisz

„Co nowego w stomatologii?”

XI Międzynarodowa Konferencja Naukowo-Szkoleniowa pt.: „Co nowego w stomatologii?” odbędzie się w ramach 11. Dolnośląskich Targów ...

zapisz

Międzynarodowe Sympozjum Implant Concilium 2012

Minimalnie inwazyjna implantologia i optymalna implantoprotetyka – możliwości i ograniczenia kliniczne to hasło sympozjum Implant Concilium 2012, ...

zapisz
advertisement

Interdyscyplinarne sympozjum dla lekarzy i techników

„Technologia v/s sztuka” to interdyscyplinarne sympozjum dla lekarzy dentystów i techników dentystycznych pokazujące ...

zapisz

Uzdrawiająca siła uśmiechu

Uśmiech uwalnia od stresu – to najnowsze odkrycie naukowców z Uniwersytetu w Kansas, którzy badali, jak mimika twarzy wpływa na ...

zapisz
advertisement

Amann Girrbach współpracuje z VITA Zahnfabrik

Amann Girrbach zostaje partnerem firmy VITA Zahnfabrik H. Rauter GmbH & Co. KG z Bad Säckingen. W ramach współpracy firma Amann Girrbach ...

zapisz

Dentamed już za miesiąc!

Targi Dentamed® to trzecia pod względem wielkości stomatologiczna impreza targowa w Polsce. W tym roku odbędzie się w dn. 9-10. listopada we ...

zapisz

„Jama ustna w zdrowiu i chorobie” – Polańczyk 2012

W najbliższy piątek (12-13.10.2012 r.) w Polańczyku odbędzie się Międzynarodowa Konferencja Naukowo-Szkoleniowa, której tematem przewodnim ...

zapisz

Lekarze muszą być przygotowani na zwiększającą się roszczeniowość pacjentów!

Regulacje dotyczące zagadnień wyrażenia zgody pacjenta na zabieg medyczny, a także kwestii dokumentowania wykonywanych procedur zawarte są w kilku ...

zapisz
advertisement

CEDE 2012 – sukces Dental Tribune Study Club!

13. 492 zwiedzających, 7.650 m kw. stoisk wystawowych, 260 zarejestrowanych wystawców z całego świata (Niemcy, Austria, Belgia, Chiny, Estonia, ...

zapisz

8. sympozjum CEIA – spotkanie z nowoczesną implantologią

26 i 27 października w Teatrze im. J. Słowackiego w Krakowie odbędzie się Sympozjum Central European Implant Academy (CEIA) – jedno z ...

zapisz

Dom Małego Księcia w Lublinie to odpowiedź dorosłych na potrzeby dzieci

Już po raz trzeci Targi CEDE wspierały niezwykłe dzieło pomocy niepełnosprawnym i najciężej chorym dzieciom, jakie prowadzi NZOZ Stomatologia ...

zapisz

Nowy horyzont w stomatologii estetycznej?

Zmienia się funkcja usług stomatologicznych – większość dentystów w Polsce i na świecie obserwuje wzrastającą grupę pacjentów ...

zapisz
advertisement
advertisement