Search Dental Tribune

Artykuły

Filtr

Dentyści z Czech leczą niepełnosprawnych w znieczuleniu ogólnym

Bez narkozy niemożliwe jest leczenie większości osób niepełnosprawnych, zwłaszcza pacjentów z zespołem Downa, padaczką czy porażeniem mózgowym. ...

zapisz

Ważne decyzje na pierwszym spotkaniu ZG Polskiego Towarzystwa Stomatologicznego

10 stycznia br. we Wrocławiu odbyły się pierwsze obrady nowego Prezydium Polskiego Towarzystwa Stomatologicznego. W wyniku głosowań zdecydowano o ...

zapisz

Implantacja z wykorzystaniem szablonu nawigacyjnego 3D – opis przypadku

Najnowszym osiągnięciem w implantologii jest możliwość precyzyjnego pozycjonowania implantów w trójwymiarowej rekonstrukcji tkanki kostnej pacjenta ...

zapisz

Natychmiastowa implantacja i zaopatrzenie protetyczne pacjentów z zaawansowaną chorobą przyzębia

Choroby przyzębia spędzają sen z oczu pacjenta i lekarza, a zwłaszcza zaawansowana ich postać, kiedy ruchomość zębów osiąga 3. stopień i wymusza ...

zapisz

Kobiety po menopauzie częściej tracą zęby, jeśli palą papierosy

Kobiety po menopauzie, które intensywnie paliły lub palą papierosy znacznie częściej tracą zęby z powodu paradontozy niż rówieśniczki nigdy ...

zapisz

Regularne picie kawy zmniejsza ryzyko wielu chorób

Kawa nie zwiększa ryzyka niektórych chorób, np. nadciśnienia tętniczego, jak do niedawna sądzono, ale ma korzystny wpływ na nasze zdrowie i chroni ...

zapisz
advertisement

Analiza mikrobiologiczna tkanek zębów w procedurze mielenia, procesowania i autotransplantacji GBR

Zabiegi chirurgiczne związane z augmentacją czy sterowaną regeneracją kości są coraz częściej wykonywane przez lekarzy dentystów. Pomimo znacznego ...

zapisz

Lek. dent. Kamil Stefański pierwszym oficjalnym wykładowcą Invisalign w Polsce

Lekarz dentysta Kamil Stefański z katowickiego Dentim Clinic został pierwszym oficjalnym wykładowcą marki Invisalign w Polsce. Będzie on przekazywał ...

zapisz

Meet The Master 3 i 1. Global MOI Alumni Congress

Na początku grudnia 2017 r., już po raz 3. z kolei, stowarzyszenie Implant Masters Poland zorganizowało wyjątkowe spotkanie, zapraszając ...

zapisz

Holistyczne podejście i nowoczesne technologie rozwijają współczesną stomatologię

Wpływ na stan zębów ma nie tylko działanie bakterii, higiena czy dieta pacjenta, ale również choroby istniejące w jego organizmie czy nawyki ...

zapisz

Zmiany we władzach Polskiego Towarzystwa Stomatologicznego (PTS)

Kilka dni temu poznaliśmy nowy skład Zarządu Głównego Polskiego Towarzystwa Stomatologicznego (PTS). O kierunkach rozwoju oraz realizacji zadań ...

zapisz

Kampania na rzecz poprawy jakości żywności w Polsce

Co czwarty Polak jest otyły, a ponad połowa ma nadwagę. Wg badań z 2016 r. Polacy są już w pierwszej piątce najbardziej otyłych narodów w Europie, ...

zapisz
advertisement

Nowe białko może być pomocne w stworzeniu szczepionki przeciw próchnicy

Naukowcy z Wuhan Institute of Virology w Chińskiej Akademii Nauk stworzyli białko fuzyjne (powstałe dzięki połączeniu genów kodowanych początkowo ...

zapisz

Węgiel drzewny do higieny jamy ustnej?

Wraz z obietnicami bielszych i czystszych zębów, wyroby do higieny jamy ustnej wykorzystujące węgiel drzewny zyskały w ostatnich czasach na ...

zapisz

Stomatologia bionaśladowcza lepsza niż implanty?

„Najkorzystniejsze jest zachowanie naturalnych zębów, a nie ich usunięcie. Implanty stomatologiczne oraz leczenie kanałowe i protetyczne ...

zapisz

Międzynarodowy Podyplomowy Program „Aesthetics & Occlusion Continuum Education NYU CD”

„Aesthetics & Occlusion Continuum Education NYU CD” to zaawansowany program dla lekarzy implantoprotetyków, periodontologów i ...

zapisz
advertisement

Tatuaże mogą być niebezpieczne z powodu toksycznych barwników

 Tatuaż może być niebezpieczny dla zdrowia nie tylko ze względu na potencjalne zakażenia, ale i toksyczne składniki farb, które wprowadza ...

zapisz

Nanostomatologia

W niniejszej pracy przedstawiono przeglad literatury na temat zastosowań nanotechnologii w różnych dziedzinach stomatologii, w ...

zapisz

Wegetarianizm – hit czy mit?

Wegetarianizm z roku na rok zdobywa coraz więcej zwolenników. Przez niektórych traktowany jest jako moda, dla innych to sposób na ...

zapisz

Wykorzystanie możliwości technologii CAD/CAM na etapie planowania i leczenia – aspekty techniczne

W codziennej praktyce stosowanie cyfrowej analizy leczenia staje się coraz popularniejsze nie tylko na poziomie pojedynczych badań, lecz również w...

zapisz
advertisement

CEDE 2017 i Kongres Unii Stomatologii Polskiej

CEDE 2017 to nie tylko wystawa w 4 pawilonach, ale także 3-dniowy kongres naukowy i wiele nowości, m.in. internetowy konkurs na najlepsze produkty na ...

zapisz

Zjadamy cukier, nie wiedząc o tym

Cukier spożywamy, nie tylko słodząc herbatę czy kawę. Jest on ukryty w wielu produktach. Dosładzane są soki, jogurty, serki, sosy, nawet żywność ...

zapisz
advertisement

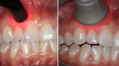
Odsłonięcie implantów przy użyciu lasera Er:YAG

Odsłonięcie implantów w technice dwuetapowej przy użyciu lasera Er:YAG jest metodą szybszą i lepiej tolerowaną przez pacjentów w ...

zapisz

Korony pełnokonturowe – prosty i szybki sposób wykonywania estetycznych prac ceramicznych

Autor przedstawia nowe trendy w cyfrowej stomatologii w odniesieniu do wykonywania koron ceramicznych bez napalania ceramiki licującej. Artykuł w ...

zapisz

Amalgamat wciąż obecny

Amalgamat jest jednym ze sposobów zabezpieczenia ubytków próchnicowych. Wypełnienia amalgamatowe mają ostatecznie zniknąć z ...

zapisz

Implanty żyletkowe – relikt przeszłości czy pełnoprawna metoda terapii?

Dostępne piśmiennictwo wskazuje, że implanty żyletkowe mogą stanowić alternatywę dla implantów śrubowych w przypadkach, gdzie pożądane jest...

zapisz
advertisement

„Od osteointegracji do periointegracji” – implanty szorstkie czy maszynowe?

Głównymi zagadnieniami prezentowanych podczas kongresów OSIS (Ogólnopolskiego Stowarzyszenia Implantologii Stomatologicznej) ...

zapisz

Polscy naukowcy odkryli nowe właściwości oleaceiny

Naukowcy z Warszawskiego Uniwersytetu Medycznego odkryli nowe właściwości oleaceiny – występującej w oliwie z oliwek substancji, która ...

zapisz

Periimplantitis i mucositis – od diagnozy do leczenia; opisy przypadków

Wraz ze wzrostem liczby wprowadzanych implantów, zwiększa się liczba zapalnych komplikacji, jak np. zapalenie błony śluzowej wokół ...

zapisz

Unikatowa technologia modyfikacji implantów kostnych

Naukowcy z Politechniki Łódzkiej, wspólnie z firmą Medgal z Białegostoku, jako pierwsi na świecie opracowali na skalę przemysłową ...

zapisz
advertisement
advertisement