Search Dental Tribune

Artykuły

Filtr

Dental World - Rosnące możliwości na rynku stomatologicznym w Europie Środkowo-Wschodniej

Dental World to od ponad dwóch dekad największa międzynarodowa wystawa stomatologiczna w regionie Europy Środkowo-Wschodniej. Wydarzenie zostanie ...

zapisz

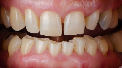
Obiecujące przezroczyste nakładki 4D

BONN, Niemcy: Badanie przeprowadzone przez naukowców ze Szpitala Uniwersyteckiego w Bonn wykazało, że drukowane w 4D ortodontyczne przezroczyste alignery...

zapisz

Spadek liczby prowadzonych badań w stomatologii

AMSTERDAM, Holandia: Skupienie się na doskonałości akademickiej zaowocowało systemem naukowym, który zachęca naukowców do publikowania w czasopismach...

zapisz

Gigant powraca – Targi KRAKDENT

Po dwóch latach przerwy spowodowanej pandemią powracają Międzynarodowe Targi Stomatologiczne KRAKDENT – najważniejsze spotkanie w branży nie tylko w...

zapisz

Polscy dentyści solidarni z Ukrainą! Dołącz do akcji

W poniedziałek (28.02) ruszyła strona internetowa z bazą gabinetów oferujących bezpłatną pomoc stomatologiczną ofiarom agresji rosyjskiej, które ...

zapisz

Badanie zdrowia jamy ustnej studentów stomatologii wskazuje na szersze problemy demograficzne

TOKIO, Japonia: W ciągu ostatnich kilku dekad Japonia włożyła ogromny wysiłek w poprawę zdrowia jamy ustnej populacji. Jednak w niedawnym badaniu ...

zapisz
advertisement

Raport o stanie zdrowia jamy ustnej w Ameryce zwraca uwagę na długotrwałe problemy i zawiera pewne rozwiązania

GRAND RAPIDS, Michigan, USA: Problemy powodujące znaczne różnice w standardach opieki i ogólnym zdrowiu jamy ustnej wśród populacji amerykańskiej są...

zapisz

Ceramill DRS: Rozwiązania cyfrowe wkraczają do gabinetu dentystycznego

Dzięki nowemu Ceramill Direct Restoration Solution (DRS), Amann Girrbach rozszerza swój zintegrowany cyfrowy cykl pracy o stomatologa, zamykając w ten ...

zapisz

Nieregularne wizyty u dentysty i pogarszający się stan zdrowia przyzębia w Danii

COPENHAGEN, Dania: W niedawnym badaniu naukowcy mieli na celu zbadanie zachowań związanych z pielęgnacją przyzębia wśród pacjentów dentystycznych w ...

zapisz

Czy utrata smaku jest przeszacowana wśród pacjentów z COVID-19?

TRIESTE, Włochy: Większość pacjentów z COVID-19 zgłasza samodzielnie zaburzenia węchowe i smakowe, co czyni je jednymi z najczęstszych objawów ...

zapisz

Oral Reconstruction Foundation zaprasza na szkolenie

FREIBURG, Niemcy: Aby zaoferować stomatologom możliwość doskonalenia swoich umiejętności w zakresie stomatologii rekonstrukcyjnej za pomocą ...

zapisz

Nowa osłona twarzy zmniejsza ilość odpadów i zapewnia lepszą ochronę

BRISTOL, Wielka Brytania: Jak już wcześniej informowała firma Dental Tribune International, przemyślane zarządzanie odpadami jest coraz ważniejszym ...

zapisz
advertisement

Zły stan zdrowia jamy ustnej może zwiększać ryzyko ciężkiego COVID-19 u pacjentów kardiologicznych

CAIRO, Egipt: Wcześniejsze badania łączyły słabą higienę jamy ustnej z nadmiernym stanem zapalnym i chorobami układu krążenia. Podobnie ...

zapisz

Stosowanie opioidów: FDA ostrzega przed problemami związanymi z doustnymi lekami z buprenorfiną

SILVER SPRING, Md., USA: Amerykańska Agencja ds. Żywności i Leków (FDA) ogłosiła niedawno, że leki zawierające buprenorfinę, które są ...

zapisz

Linie wzrostu zębów mlecznych mogą pomóc w ocenie ryzyka rozwoju zaburzeń psychicznych

BRISTOL, Wielka Brytania/BOSTON, USA: Według badania przeprowadzonego przez naukowców z Massachusetts General Hospital (MGH) w Bostonie grubość śladów...

zapisz

Guma może zmniejszyć transmisję SARS-CoV-2

PHILADELPHIA, USA: Badanie przeprowadzone przez naukowców z University of Pennsylvania School of Dental Medicine wykazało, że guma do żucia wzbogacona ...

zapisz
advertisement

Badania pokazują, że pasta do zębów z hydroksyapatytem zapewnia obiecujące wyniki

TORONTO, Kanada: Debata na temat fluoru w paście do zębów może przybrać inny obrót. Niedawno naukowcy z University of Toronto wykazali w artykule ...

zapisz

Badania wykazały, że słaba kontrola glikemii prowadzi do utraty zębów w średnim wieku

ŌTSU, Japonia: W największym tego rodzaju badaniu naukowcy z Japonii przeanalizowali kontrolę glikemii i naturalną retencję zębów, aby zbadać ...

zapisz

Ślady niedoboru snu utrzymują się nawet 7 dni

Jeszcze po 7 dniach nielimitowanego snu, po wcześniejszym 10-dniowym okresie niewysypiania się, wiele parametrów organizmu nie wraca do normy – ...

zapisz

Zdalne monitorowanie może zmniejszyć częstotliwość kontroli ortodontycznych

DUBAJ, ZEA / SYDNEY, Australia: Jednym z najbardziej zauważalnych trendów w stomatologii w 2021 r. jest stały wzrost popularności zdalnie monitorowanej ...

zapisz
advertisement

Duńskie Towarzystwo Stomatologiczne wskazuje na nieodwracalne szkody spowodowane używaniem snusu

KOPENHAGA, Dania: Używanie snusu przez młodych ludzi w Danii znacznie wzrosło w ostatnich latach, a Duńskie Towarzystwo Stomatologiczne wyraziło ...

zapisz

Dobry stan zdrowia jamy ustnej może zmniejszyć ryzyko przedwczesnego porodu – wynika z badań

SYDNEY, Australia: U niektórych kobiet zmiany hormonalne związane z ciążą mogą prowadzić do problemów ze zdrowiem jamy ustnej, takich jak próchnica...

zapisz
advertisement

ADA uruchamia stronę internetową zawierającą informacje na temat zdrowia jamy ustnej

SYDNEY, Australia: Zachęcanie do poprawy zdrowia jamy ustnej i ogólnego stanu zdrowia społeczeństwa jest jednym z trzech głównych celów ...

zapisz

Nowe badanie identyfikuje zamożność jako czynnik ryzyka zużycia zębów

GOLD COAST, Australia: Wysoki status społeczno-ekonomiczny jest często łączony z lepszymi wynikami zdrowotnymi. Jednak według globalnych badań 30 ...

zapisz

Konsensus w sprawie ortodoncji DIY

LONDYN, Wielka Brytania: Dążąc do promowania bezpieczeństwa pacjentów w stomatologii, Brytyjskie Towarzystwo Ortodontyczne (BOS) ogłosiło niedawno, ...

zapisz

Badanie pokazuje, w jaki sposób sztuczną inteligencję można wykorzystać do wykrywania próchnicy

BERLIN, Niemcy: Chociaż sztuczna inteligencja (AI) jest w coraz większym stopniu integrowana z różnymi produktami i usługami dentystycznymi, literatura...

zapisz
advertisement

Badania wskazują na związek między pływaniem w zawodach a przebarwieniami zębów

PERTH, Australia: Regularne pływanie może przynieść niezliczone korzyści, które są ważne dla zdrowia układu sercowo-naczyniowego i ...

zapisz

„Klinika Bez Bólu” – programu tworzący możliwości bezbolesnego leczenia

„Klinika Bez Bólu” to program, który ruszył w Polsce w 2019 r. pod honorowym patronatem Polskiego Towarzystwa Stomatologicznego (PTS). Partnerami ...

zapisz

Jakość naszego układu odpornościowego w 75% zależy od nas

„Jakość naszego układu odpornościowego w 75% zależy od nas” – powiedział PAP prof. Wiesław Kozak z UMK w Toruniu, ekspert ds. immunologii i ...

zapisz

Redukcja szkód związanych z tytoniem, kluczowy element terapii periodontologicznej

FRANKFURT NAD MENEM, Niemcy: Eksperci wzywają do włączenia strategii redukcji szkód związanych z paleniem tytoniu (THR) do opieki stomatologicznej. ...

zapisz
advertisement
advertisement